症例詳細
Case detail
インビザライン矯正 短期間でがたつきのない歯並びに!
治療症例の内容
- 担当医
- 本間玲奈(ドクタープロフィール)
- 患者様
- 20代女性
- 矯正装置
- インビザライン
- 治療期間
- 7ヶ月
- 治療回数
- 5-10回
- 治療計画
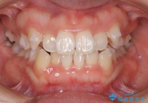
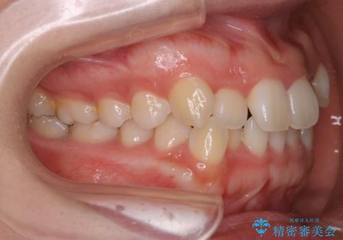
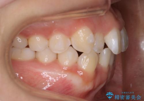
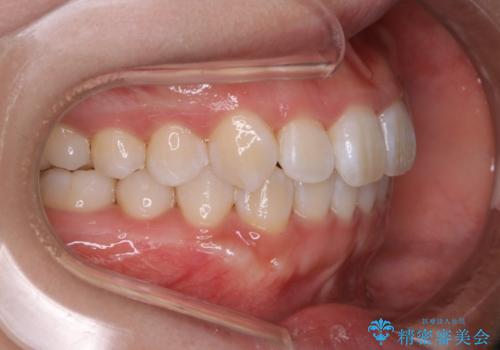
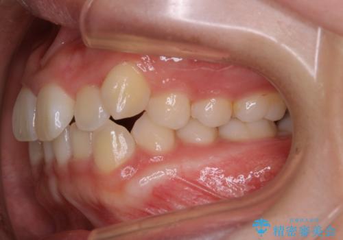
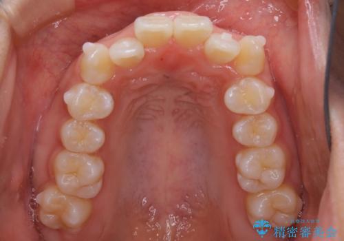
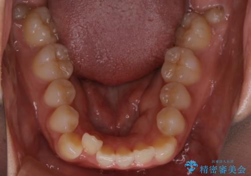
- 前歯のがたつき(特に八重歯)を気にされて来院されました。
歯の軸が舌側にかたむいていることで歯列の幅が狭くなっているため、上下顎ともに、歯の側面を削り、がたつきを改善する治療計画としました。
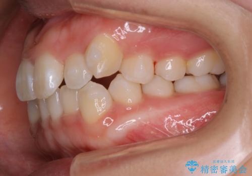
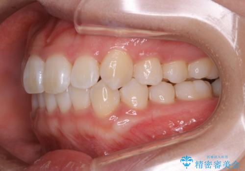
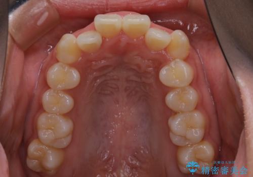
歯の軸の傾きを改善することで幅が広がり、がたつきを治すためのスペースを確保しました。
そうすることで、歯の側面の削る量を最小限に抑えることができました。
- 費用(概算)
- 83.6万円費用は治療当時の料金となります
治療について
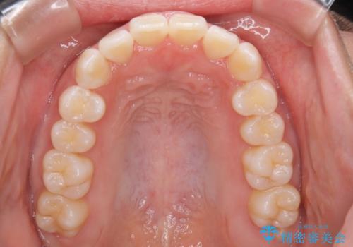
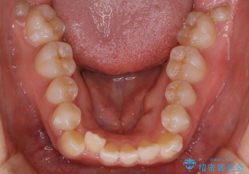
マウスピースを用いた矯正治療は、1日の装着時間がとても重要となります。
マウスピースをしっかりと使用してしていただけたので、治療期間の延長もなく、非常に短期間でがたつきを治すことができました。
マウスピース矯正の注意事項(リスク・副作用など)
- 口腔内・歯並びの状態によっては対応できない場合があります
- マウスピース型矯正装置の長時間装着(1日20時間以上)が必須です
- 治療計画通りに進めるためには、患者様の意志が重要になります
- 矯正治療後の保定が不十分だと後戻り(元の位置に戻ろうとする動き)をします
- 薬機法対象外の矯正歯科装置のため医薬品副作用被害救済制度の対象外となる場合があります
- 自費診療(保険適用外)となります
当サイトの内容、テキスト、画像等の無断転載、複製、複写、盗用を固く禁じます。















