症例詳細
Case detail
前歯の虫歯 オールセラミック治療
治療症例の内容
- 診療科目
- 治療カテゴリ
- 担当医
- 大元洋佑(ドクタープロフィール)
- 患者様
- 20代女性
- 治療期間
- 1ヶ月
- 治療回数
- 2-5回
- 治療計画
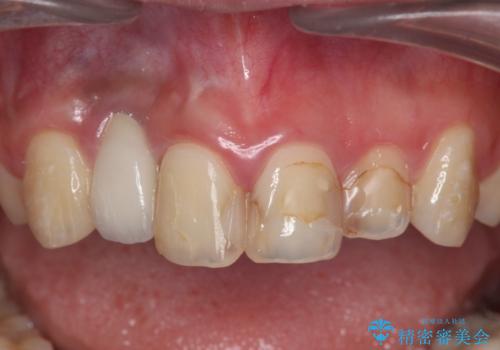
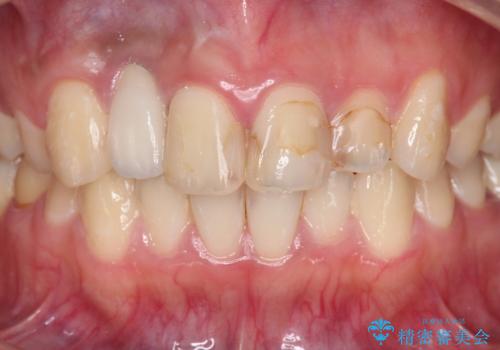
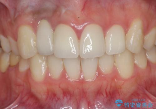
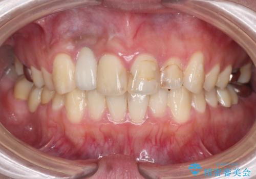
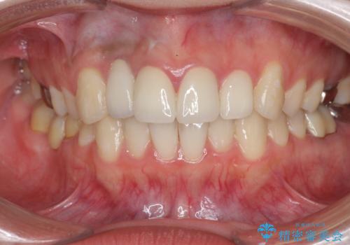
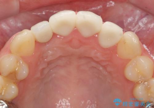
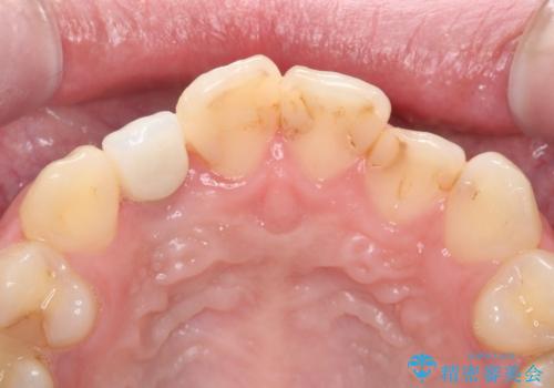
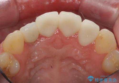
- 虫歯の治療を繰り返した前歯の見た目の改善を求めて来院されました。
大きく詰められたコンポジットレジンと虫歯の再発が見られ、経年劣化により審美性も損なわれていました。
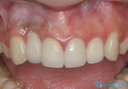
充填されたコンポジットレジン・再発した虫歯を神経に影響が出ないよう丁寧に除去し再充填をしたのちオールセラミッククラウンで前歯の審美性を回復します。
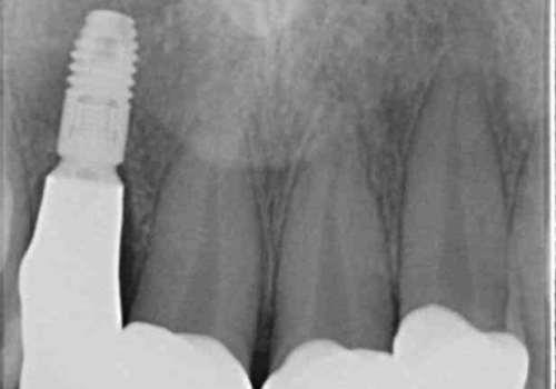
※右上2のインプラント治療は他院のものです。
- 費用(概算)
- 33万円(仮歯・ジルコニアクラウン×3)費用は治療当時の料金となります
治療について
前歯のコンポジットレジン修復は、経年劣化し虫歯の再発しやすい素材なので定期的なX線検査が推奨されます。
セラミック治療の注意事項(リスク・副作用など)
- 天然歯を削ります
- 硬い素材は天然歯を傷つけてしまう場合があります
- かみ合わせや歯ぎしりが強すぎる方はセラミックが割れてしまう可能性があります
- 自費診療(保険適用外治療)となります
当サイトの内容、テキスト、画像等の無断転載、複製、複写、盗用を固く禁じます。

















