症例詳細
Case detail
【インビザライン】前歯の凸凹をIPRで改善
治療症例の内容
- 診療科目
- 治療カテゴリ
- 担当医
- 河口智英(ドクタープロフィール)
- 患者様
- 20代女性
- 治療期間
- 2年
- 治療回数
- 10-30回
- 治療計画
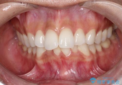
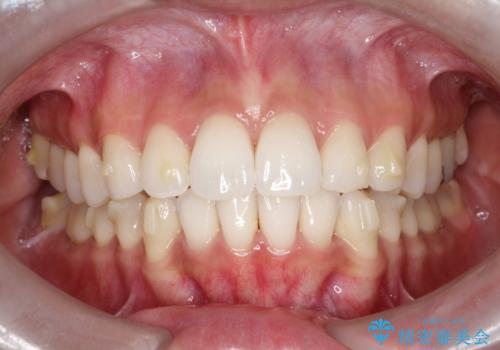
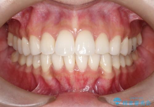
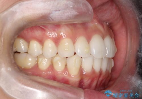
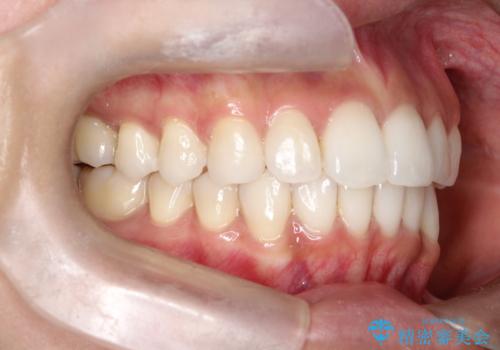
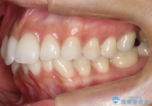
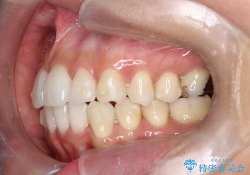
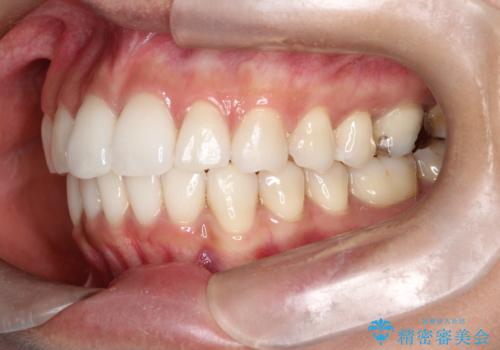
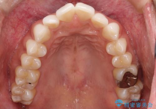
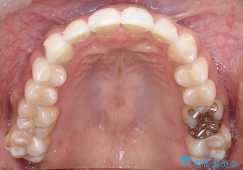
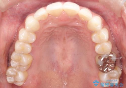
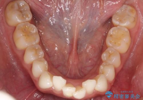
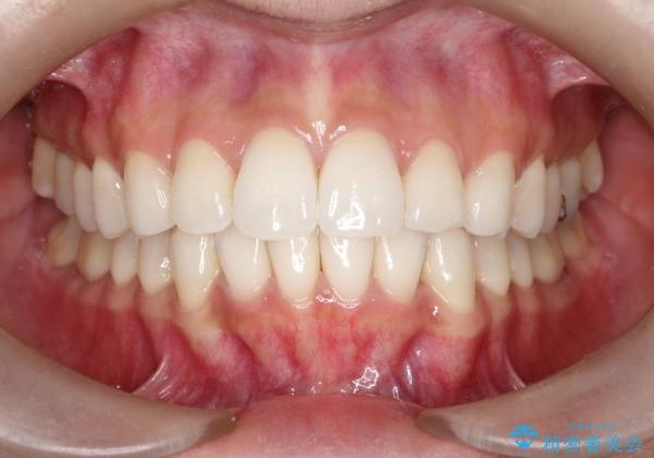
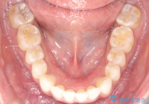
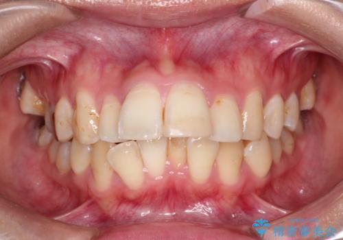
- 前歯の凸凹を主訴に来院されました。
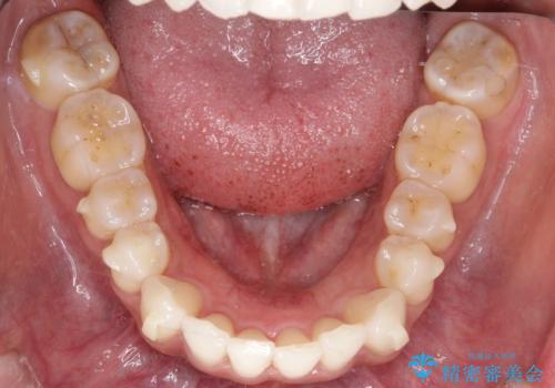
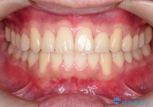
前歯を並べるために歯と歯の間にヤスリを入れてわずかに歯を削ることでスペースを確保しています。
- 費用(概算)
- 85万円費用は治療当時の料金となります
治療について
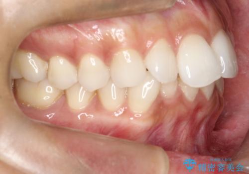
歯と歯の間にヤスリを入れてわずかに歯を削ることでスペースを確保する処置をIPRと呼びます。
当院では拡大鏡を用いて丁寧に処置することで歯冠形態を損なわずに行うことができます。
マウスピース矯正の注意事項(リスク・副作用など)
- 口腔内・歯並びの状態によっては対応できない場合があります
- マウスピース型矯正装置の長時間装着(1日20時間以上)が必須です
- 治療計画通りに進めるためには、患者様の意志が重要になります
- 矯正治療後の保定が不十分だと後戻り(元の位置に戻ろうとする動き)をします
- 薬機法対象外の矯正歯科装置のため医薬品副作用被害救済制度の対象外となる場合があります
- 自費診療(保険適用外)となります
当サイトの内容、テキスト、画像等の無断転載、複製、複写、盗用を固く禁じます。















