症例詳細
Case detail
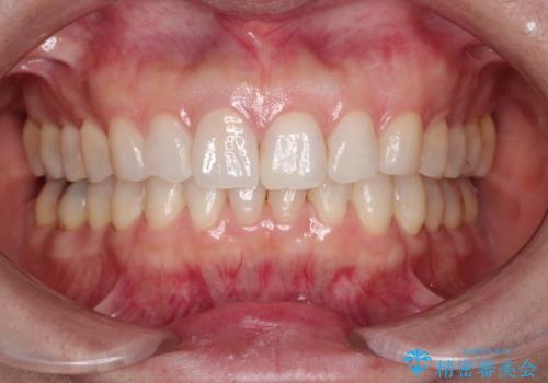
【オールセラミッククラウン】他院で入れた被せものがすぐとれる
治療症例の内容
- 担当医
- 河野豊嘉(ドクタープロフィール)
- 患者様
- 40代女性
- 治療期間
- 4ヶ月
- 治療回数
- 2-5回
- 治療計画
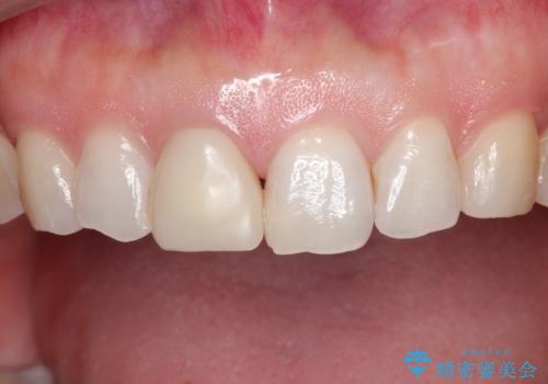
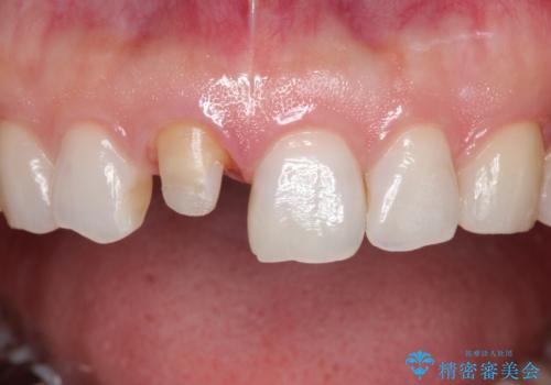
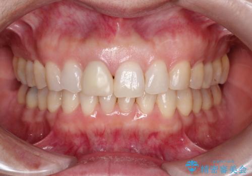
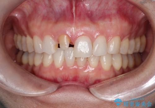
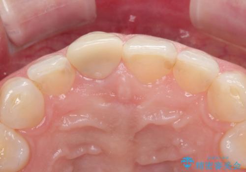
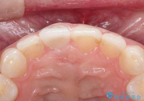
- 「他院で治療した前歯の被せものが一か月の間に2回外れたのでやり変えたい」を主訴に来院されました。
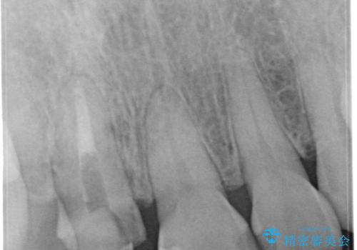
10年前に根管治療を他院で行っており、根尖性歯周炎の予防のため根管治療から行いました。被せものはオールセラミッククラウンで治療を行いました。
ホワイトニングもご希望されたのでホームホワイトニングも行いました。
- 費用(概算)
- 30.8万円(税込) 内訳:根管治療 12.1万円 ファイバーコア 2.2万円 仮歯 1.1万円 オールセラミッククラウン(スペシャル) 14.3万円 ホームホワイトニング 1.1万円 費用は治療当時の料金となります
治療について
10年前にラバーダムシート無しに根管治療を行っており、現在、症状は出ていませんが、根尖性歯周炎の予防のため根管治療から行いました。ホームホワイトニングを2週間行って頂き、その後、オールセラミッククラウンで治療を行っています。
※根管治療は河口先生に行って頂きました。
※根尖性歯周炎は根管内の細菌が原因となり発症します。唾液の中には数千億個もの細菌が存在します。したがって、ラバーダムシートを使用し、歯を唾液から守ってあげることが大切になります。当院では、ラバーダムシートの使用に加え、マイクロスコープ(歯科用顕微鏡)、P-MAX(超音波洗浄の機械)を使用して治療を行っています。
※ファイバーコアとは、根管治療後、歯に立てる土台の事です。金属の土台と比べ歯根破折のリスクが低く、白いのが特徴です。
※被せものでは歯と被せものの適合がとても大切になります。適合が悪い被せもの(歯と被せものの間に隙間がある)を入れるとそこに汚れが溜り虫歯の原因となります。当院では精度が高い被せものを追求するため、サージテル(拡大鏡)や型取りの材料にシリコン材を使用しています。
セラミック治療の注意事項(リスク・副作用など)
- 天然歯を削ります
- 硬い素材は天然歯を傷つけてしまう場合があります
- かみ合わせや歯ぎしりが強すぎる方はセラミックが割れてしまう可能性があります
- 自費診療(保険適用外治療)となります
根管治療の注意事項(リスク・副作用など)
- 根管治療により類似の全ての症例の問題が解決するわけではなく、症例はあくまでも一例です
- 根管治療により痛みや腫れがひかない事や、術後に痛みや腫れが生じる事、治療によるファイル破折やパーフォレーションなどの偶発症、術後の歯根破折を生じる可能性もあります
- 自費診療(保険適用外)となります
ホワイトニングの注意事項(リスク・副作用など)
- 知覚過敏が出ることがあります
- ホワイトバンドや白い斑点が出ることがあります
- クラウンやインレー等の補綴物には効果がありません
- ホワイトニングによる効果や持続期間には個人差があります
- 歯牙の状態によっては適応できないことがあります
- 保険適用外となります
当サイトの内容、テキスト、画像等の無断転載、複製、複写、盗用を固く禁じます。













