症例詳細
Case detail
出っ歯で口が閉じずらい ワイヤーによる抜歯矯正
治療症例の内容
- 担当医
- 患者様
- 30代女性
- 矯正装置
- 審美装置
- 治療期間
- 2年
- 治療回数
- 10-30回
- 治療計画
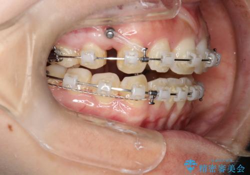
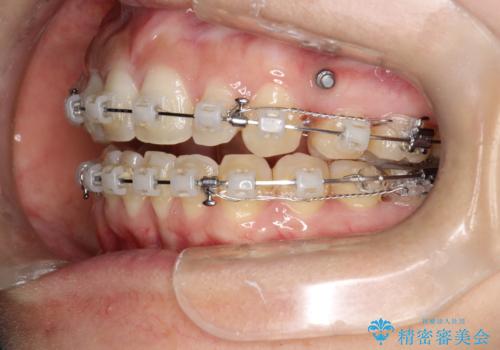
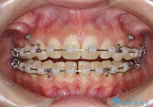
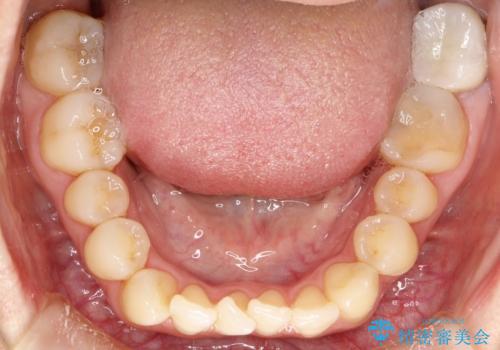
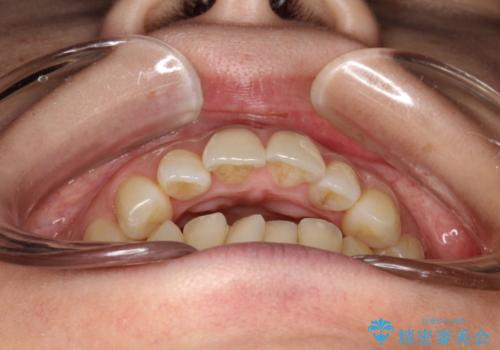
- 出っ歯で口が閉じずらくて、前歯でものかが噛み切れないとのことで来院されました。
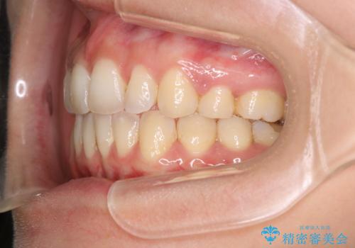
上顎の前歯が前方に傾斜して、下顎の前歯と接触していない状態でした。
上顎の前から4番目の歯を両側抜歯して前歯を後方に移動させる計画としました。
- 費用(概算)
- 約95万円費用は治療当時の料金となります
治療について
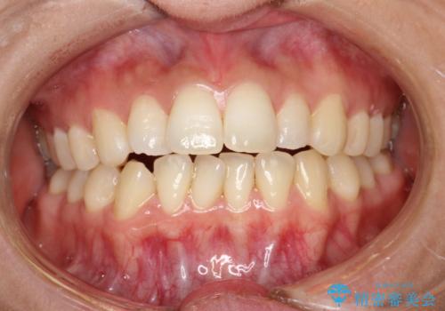
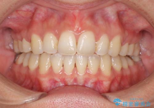
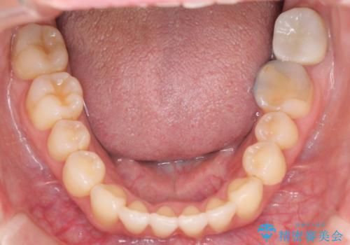
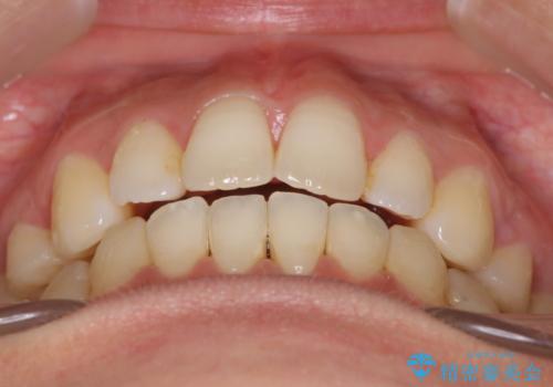
前歯がしっかり下がることで、上下の前歯があわさり食事もしやすくなったと言っていただきました。
ワイヤー矯正の注意事項(リスク・副作用など)
- 治療中は違和感や痛みが起こることがあります
- 症状により、抜歯が必要な場合があります
- 治療中は歯磨きがしにくくなるため、虫歯や歯周病になりやすくなります
- 矯正治療後の保定が不十分だと後戻り(元の位置に戻ろうとする動き)をします
- 自費診療(保険適用外)となります
当サイトの内容、テキスト、画像等の無断転載、複製、複写、盗用を固く禁じます。

















