症例詳細
Case detail
[ インプラントによる機能回復 ] 強い咬合力 放置した虫歯の治療
治療症例の内容
- 患者様
- 40代男性
- 治療期間
- 1年
- 治療回数
- 5-10回
- 治療計画
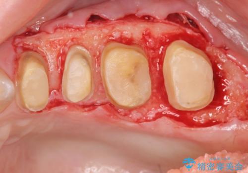
- 右上に装着されたブリッジのぐらつき、放置してしまった虫歯の治療を希望され来院されました。
ブリッジの支台、奥歯は虫歯や過大な咬合力により歯の破折・保存のできない大きな虫歯が認められます。
保存の難しい歯の抜去を行ったのち、咬合力にしっかりと耐えうる補綴設計としてブリッジや入れ歯ではなくインプラント治療を計画します。
- 費用(概算)
- 110万円 (インプラント×3 アバットメント×3 クラウン×4)費用は治療当時の料金となります
治療について
噛む力の強い方は、ブリッジやクラウンが破損するだけでなく支える歯が割れてしまったりすることがよくあります。
今回はインプラントによる機能回復を行いましたが、過大な力から歯やインプラントを守るためにナイトガードの装着が必要です。
インプラント治療の注意事項(リスク・副作用など)
- 外科手術のため、術後に痛みや腫れ、違和感を伴います
- メンテナンスを怠ったり喫煙により、お口の中に大きな悪影響を及ぼすインプラント周囲炎等にかかる可能性があります
- 糖尿病、肝硬変、心臓病等の場合、インプラント治療ができない可能性があります
- 高血圧、貧血・不整脈等の場合、インプラント治療後に治癒不全を招く可能性があります
- 自費診療(保険適用外治療)となります
セラミック治療の注意事項(リスク・副作用など)
- 天然歯を削ります
- 硬い素材は天然歯を傷つけてしまう場合があります
- かみ合わせや歯ぎしりが強すぎる方はセラミックが割れてしまう可能性があります
- 自費診療(保険適用外治療)となります
当サイトの内容、テキスト、画像等の無断転載、複製、複写、盗用を固く禁じます。

![[ インプラントによる機能回復 ] 強い咬合力 放置した虫歯の治療の治療前](https://seimitsushinbi.jp/wp/wp-content/uploads/2022/07/dbc5e5b52dd96aeab54aa69e57a96bd1-500x350.jpg?v=1658988380)
![[ インプラントによる機能回復 ] 強い咬合力 放置した虫歯の治療の治療中](https://seimitsushinbi.jp/wp/wp-content/uploads/2022/07/92083b48231c94edd835f8f2af79b9f8-500x350.jpg?v=1658988409)
![[ インプラントによる機能回復 ] 強い咬合力 放置した虫歯の治療の治療後](https://seimitsushinbi.jp/wp/wp-content/uploads/2022/07/5634e865a3957c7dade18cdc7bf6b192-500x350.jpg?v=1658988421)
![[ インプラントによる機能回復 ] 強い咬合力 放置した虫歯の治療の治療前](https://seimitsushinbi.jp/wp/wp-content/uploads/2022/07/CI1-side-500x350.jpg?v=1658989132)
![[ インプラントによる機能回復 ] 強い咬合力 放置した虫歯の治療の治療中](https://seimitsushinbi.jp/wp/wp-content/uploads/2022/07/CI31-1-500x350.jpg?v=1658989021)
![[ インプラントによる機能回復 ] 強い咬合力 放置した虫歯の治療の治療後](https://seimitsushinbi.jp/wp/wp-content/uploads/2022/07/CI34-500x350.jpg?v=1658989022)
![[ インプラントによる機能回復 ] 強い咬合力 放置した虫歯の治療の治療前](https://seimitsushinbi.jp/wp/wp-content/uploads/2022/07/51040d829b115ce2474a5d770838b32a-500x350.jpg?v=1658988375)
![[ インプラントによる機能回復 ] 強い咬合力 放置した虫歯の治療の治療中](https://seimitsushinbi.jp/wp/wp-content/uploads/2022/07/97f5b6f746ff2dfc571646091d2fde87-500x350.jpg?v=1658988401)
![[ インプラントによる機能回復 ] 強い咬合力 放置した虫歯の治療の治療後](https://seimitsushinbi.jp/wp/wp-content/uploads/2022/07/606d95eac3b55762cffe97d2aded5291-500x350.jpg?v=1658988425)
![[ インプラントによる機能回復 ] 強い咬合力 放置した虫歯の治療の治療中](https://seimitsushinbi.jp/wp/wp-content/uploads/2022/07/e38ec228caae4f389be5adb467941a07-500x350.jpg?v=1658988405)
![[ インプラントによる機能回復 ] 強い咬合力 放置した虫歯の治療の治療後](https://seimitsushinbi.jp/wp/wp-content/uploads/2022/07/052fb2be55a3e7db4bf9e3488631e7fe-500x350.jpg?v=1658988416)
![[ インプラントによる機能回復 ] 強い咬合力 放置した虫歯の治療の治療前](https://seimitsushinbi.jp/wp/wp-content/uploads/2022/07/e338f4eb43b05c32759a8ec5e52e2619-500x350.jpg?v=1658988390)
![[ インプラントによる機能回復 ] 強い咬合力 放置した虫歯の治療の治療前](https://seimitsushinbi.jp/wp/wp-content/uploads/2022/07/e6b8b65ff24aa94f4d87b2e8cac93f45-500x350.jpg?v=1658988384)