症例詳細
Case detail
放置した奥歯の虫歯 セラミックブリッジによる補綴治療
治療症例の内容
- 診療科目
- 治療カテゴリ
- 担当医
- 藤巻太一朗(ドクタープロフィール)
- 患者様
- 50代女性
- 治療期間
- 1ヶ月
- 治療回数
- 2-5回
- 治療計画
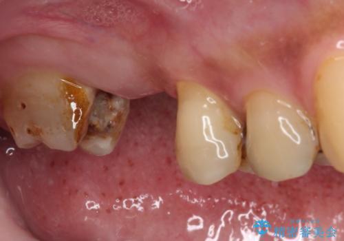
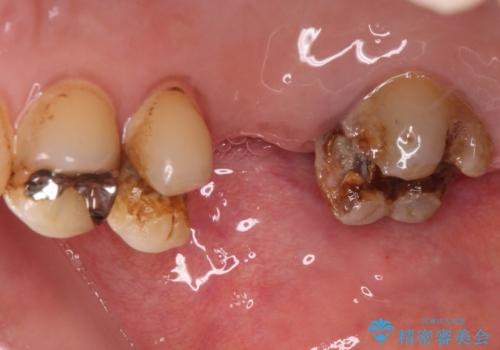
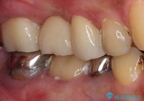
- 詰め物が外れたまま放置してしまったとのことで来院された患者様です。
詰め物が外れた部分は虫歯が進行しており、周辺には歯石が付着している状態でした。
1歯欠損していたため、オールセラミックブリッジによる補綴治療を行うこととしました。
- 費用(概算)
- 治療費の目安: 26万円(税込)費用は治療当時の料金となります
治療について
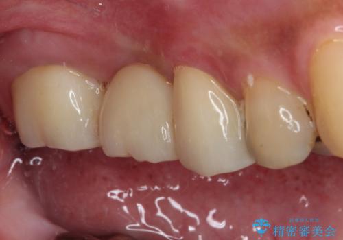
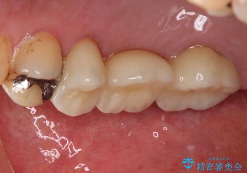
虫歯が大きく進行していましたが、歯髄(神経組織)にまで及ぶものではなかったため、無事に虫歯治療を行うことができました。
歯石もしっかりと除去したことで、周辺の腫れていた歯肉も引き締まり、健全な状態となりました。
セラミック治療の注意事項(リスク・副作用など)
- 天然歯を削ります
- 硬い素材は天然歯を傷つけてしまう場合があります
- かみ合わせや歯ぎしりが強すぎる方はセラミックが割れてしまう可能性があります
- 自費診療(保険適用外治療)となります
当サイトの内容、テキスト、画像等の無断転載、複製、複写、盗用を固く禁じます。










