症例詳細
Case detail
内側にある歯が干渉する 上顎前歯の部分矯正
治療症例の内容
- 担当医
- 藤巻太一朗(ドクタープロフィール)
- 患者様
- 50代男性
- 矯正装置
- 審美装置
- 治療期間
- 11ヶ月
- 治療回数
- 10-30回
- 治療計画
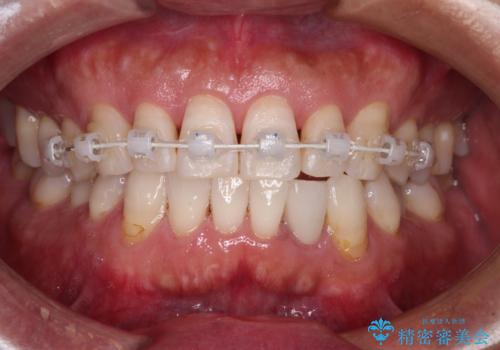
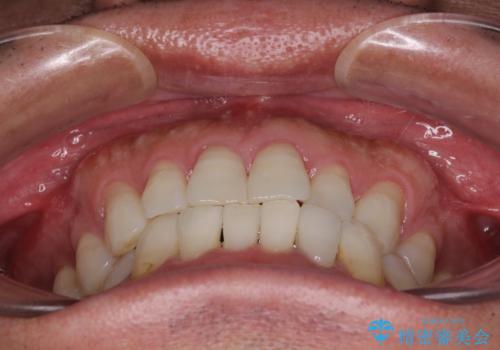
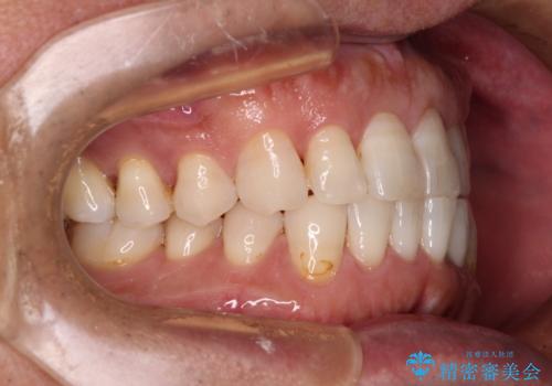
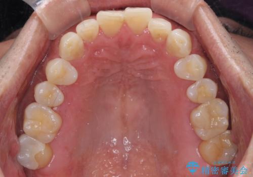
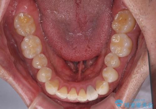
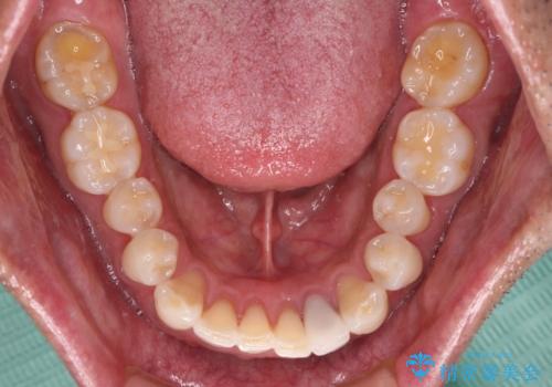
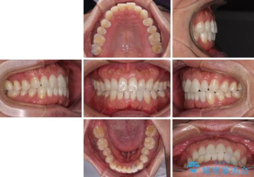
- 上顎の前歯が内側にあり、下顎のセラミッククラウンと干渉することが気になるとのことで来院された患者様です。
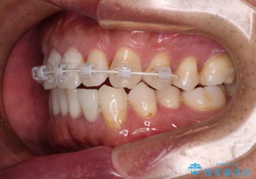
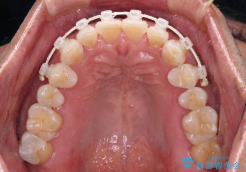
上顎前歯にワイヤー装置を装着し、セラミッククラウンとは干渉しないようにしながら歯列を整えることとしました。
- 費用(概算)
- 治療費の目安: 35万円(税込)費用は治療当時の料金となります
治療について
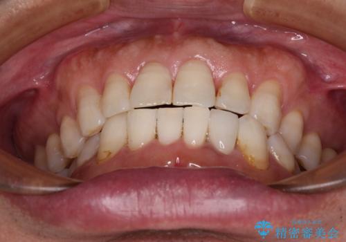
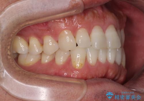
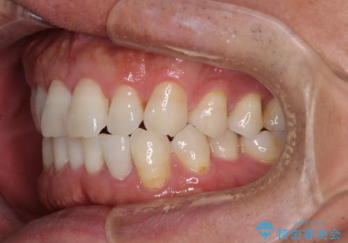
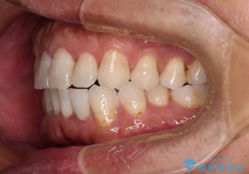
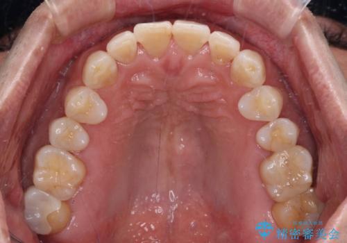
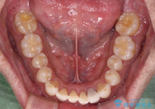
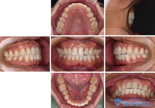
セラミッククラウンとの干渉はすぐに改善され、歯列も整いましたが、一方で、前歯で食事が噛みにくくなり、1年近い治療期間となりました。
ワイヤー矯正の注意事項(リスク・副作用など)
- 治療中は違和感や痛みが起こることがあります
- 症状により、抜歯が必要な場合があります
- 治療中は歯磨きがしにくくなるため、虫歯や歯周病になりやすくなります
- 矯正治療後の保定が不十分だと後戻り(元の位置に戻ろうとする動き)をします
- 自費診療(保険適用外)となります
当サイトの内容、テキスト、画像等の無断転載、複製、複写、盗用を固く禁じます。
























