症例詳細
Case detail
八重歯を抜歯矯正でスッキリと メタルブラケットでの矯正治療
治療症例の内容
- 診療科目
- 治療カテゴリ
- 担当医
- 藤巻太一朗(ドクタープロフィール)
- 患者様
- 20代女性
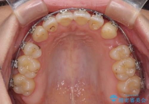
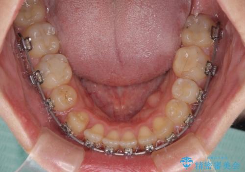
- 矯正装置
- メタルブラケット
- 治療期間
- 1年7ヶ月
- 治療回数
- 10-30回
- 治療計画
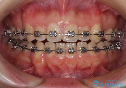
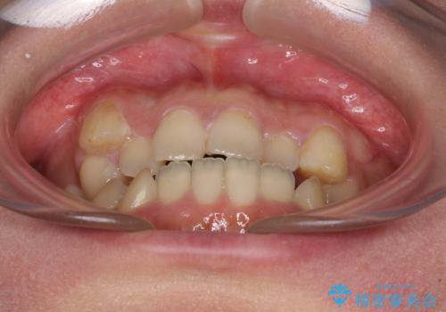
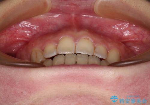
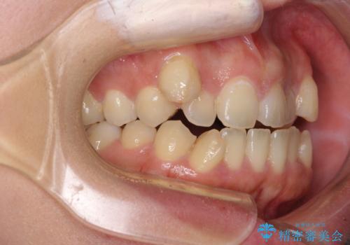
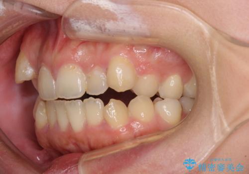
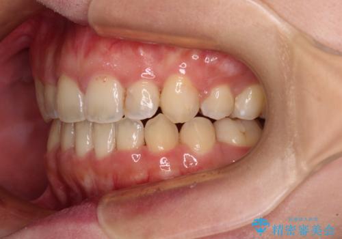
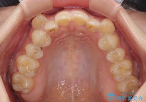
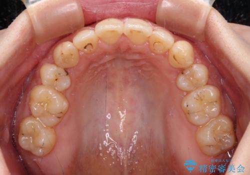
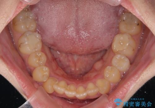
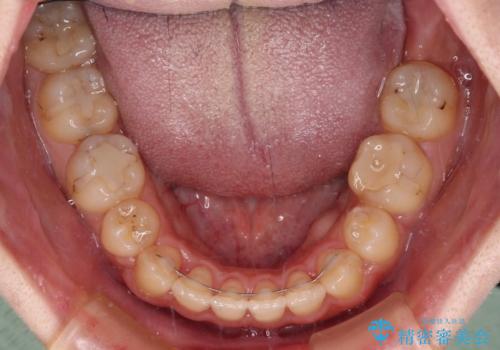
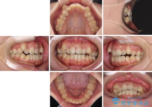
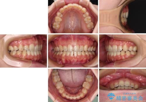
- 八重歯と上下前歯のでこぼこを気にして来院された患者様です。
上下前歯部叢生のスペース獲得のため、上下顎左右小臼歯各1歯(計4本)と全ての親知らずを抜歯して、矯正治療を行うこととしました。
- 費用(概算)
- 治療費の目安: 90万円(税込)費用は治療当時の料金となります
治療について
八重歯とは別に上下前歯の隙間という問題もありました。こちらは舌突出癖によるものと考えられたため、舌のトレーニングをしっかりと行っていただきました。
ワイヤー矯正の注意事項(リスク・副作用など)
- 治療中は違和感や痛みが起こることがあります
- 症状により、抜歯が必要な場合があります
- 治療中は歯磨きがしにくくなるため、虫歯や歯周病になりやすくなります
- 矯正治療後の保定が不十分だと後戻り(元の位置に戻ろうとする動き)をします
- 自費診療(保険適用外)となります
当サイトの内容、テキスト、画像等の無断転載、複製、複写、盗用を固く禁じます。


























