症例詳細
Case detail
歯が欠けてしみる オールセラミッククラウンによる虫歯治療
治療症例の内容
- 診療科目
- 治療カテゴリ
- 担当医
- 藤巻太一朗(ドクタープロフィール)
- 患者様
- 30代女性
- 治療期間
- 1ヶ月
- 治療回数
- 2-5回
- 治療計画
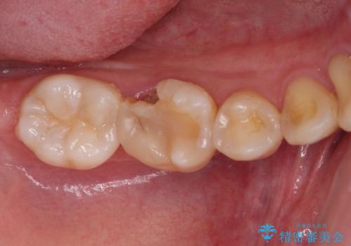
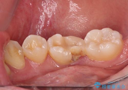
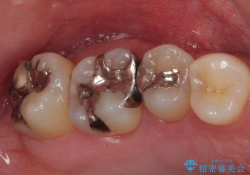
- 奥歯が食事中に歯が欠けて、しみて痛いとのことで来院された患者様です。
レントゲン写真からも、舌側に大きな虫歯があることが分かりました。
症状から神経を取り除く可能性も考慮し、オールセラミッククラウンにて補綴治療することとしました。
- 費用(概算)
- 治療費の目安: 10万円(税込)費用は治療当時の料金となります
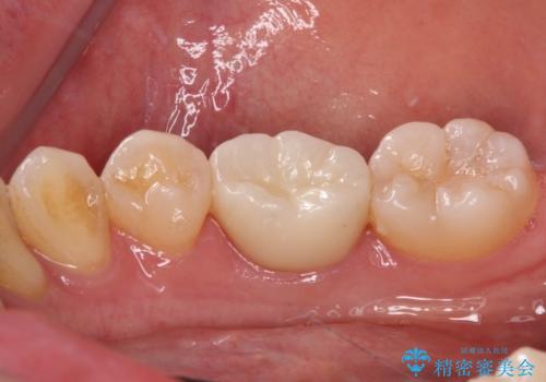
治療について
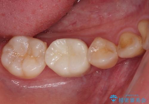
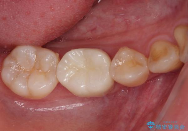
速やかに処置を進めたことで症状は落ち着き、治療後しばらくの状態では神経を取り除く可能性は低くなりました。
セラミック治療の注意事項(リスク・副作用など)
- 天然歯を削ります
- 硬い素材は天然歯を傷つけてしまう場合があります
- かみ合わせや歯ぎしりが強すぎる方はセラミックが割れてしまう可能性があります
- 自費診療(保険適用外治療)となります
当サイトの内容、テキスト、画像等の無断転載、複製、複写、盗用を固く禁じます。










