症例詳細
Case detail
前歯のがたつき 部分矯正でコストダウンしながら、かみ合わせも治療
治療症例の内容
- 患者様
- 20代女性
- 矯正装置
- インビザライン
- 治療期間
- 9ヶ月
- 治療回数
- 2-5回
- 治療計画
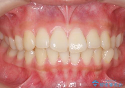
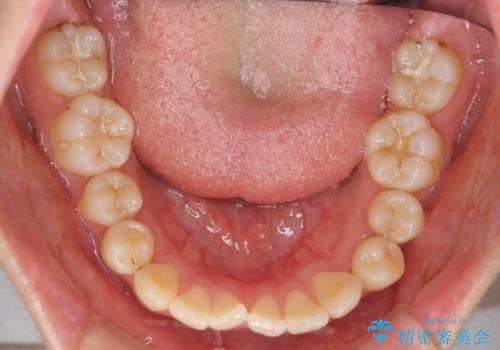
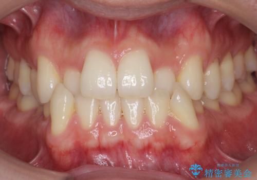
- 前歯のがたつきを気にして来院。
左下の小臼歯が捻転し、反対咬合になっていました。
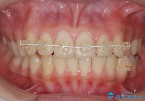
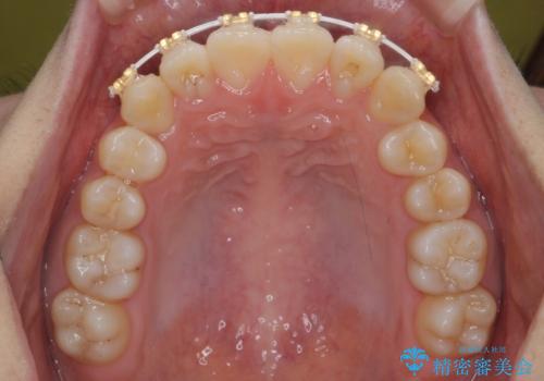
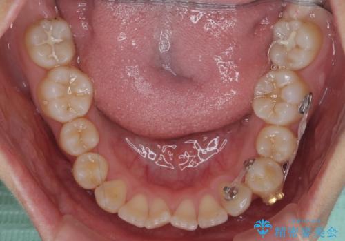
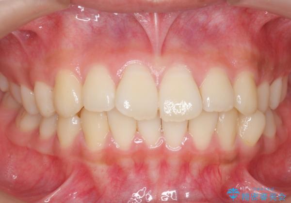
先にワイヤーで部分矯正を行ってから、インビザラインの部分矯正を行いました。
先に難しい部分をワイヤー矯正することで、インビザラインの部分矯正コースで短期間で予算も抑えて確実に治すことができます。
- 費用(概算)
- 60.5万円 (インビザラインライト 49.5万円 部分矯正 11万円)費用は治療当時の料金となります
治療について
専門的な話になりますが、下顎の小臼歯は円柱状の形をしており、インビザライン単独では捻転はほぼ治りません。
今回は左下の小臼歯が捻転が強く、そこが反対咬合になっていたため事前に部分矯正を行いました。
ワイヤー矯正の注意事項(リスク・副作用など)
- 治療中は違和感や痛みが起こることがあります
- 症状により、抜歯が必要な場合があります
- 治療中は歯磨きがしにくくなるため、虫歯や歯周病になりやすくなります
- 矯正治療後の保定が不十分だと後戻り(元の位置に戻ろうとする動き)をします
- 自費診療(保険適用外)となります
マウスピース矯正の注意事項(リスク・副作用など)
- 口腔内・歯並びの状態によっては対応できない場合があります
- マウスピース型矯正装置の長時間装着(1日20時間以上)が必須です
- 治療計画通りに進めるためには、患者様の意志が重要になります
- 矯正治療後の保定が不十分だと後戻り(元の位置に戻ろうとする動き)をします
- 薬機法対象外の矯正歯科装置のため医薬品副作用被害救済制度の対象外となる場合があります
- 自費診療(保険適用外)となります
その他の注意事項(リスク・副作用など)
- 担当歯科医師、歯科衛生士又は医院スタッフから受けた説明・注意事項をよくご確認ください
- 医療を提供するに当たり、適切な説明を行い、患者様の十分な理解を得るよう努めております
当サイトの内容、テキスト、画像等の無断転載、複製、複写、盗用を固く禁じます。




















