症例詳細
Case detail
被せものが入れられない 外科処置を行ったセラミック治療
治療症例の内容
- 診療科目
- 治療カテゴリ
- 担当医
- 藤巻太一朗(ドクタープロフィール)
- 患者様
- 30代女性
- 治療期間
- 9ヶ月
- 治療回数
- 5-10回
- 治療計画
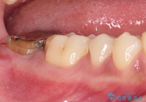
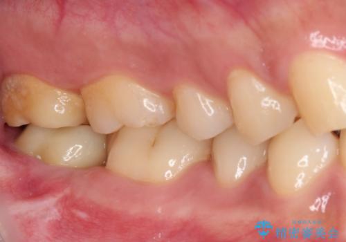
- 奥歯の虫歯治療を希望したものの、歯の高さが足りなくて治療ができないと言われ、来院された患者様です。
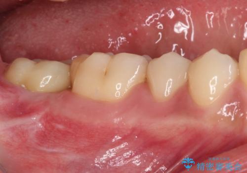
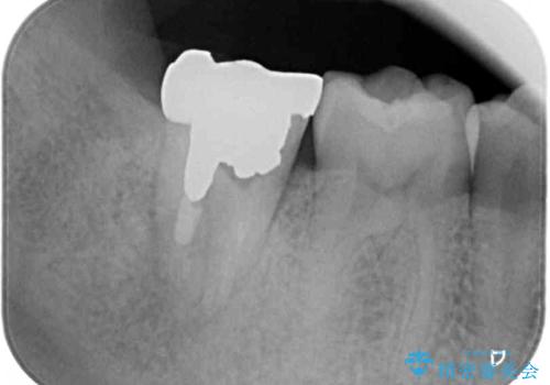
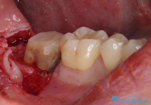
レントゲン撮影より、根尖部に病変が認められたため、根管治療を行った後に、歯冠長延長術を行うこととしました。
- 費用(概算)
- 治療費の目安: 30万円(税込)費用は治療当時の料金となります
治療について
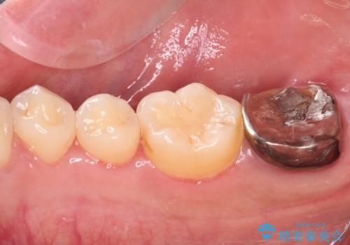
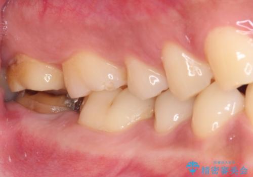
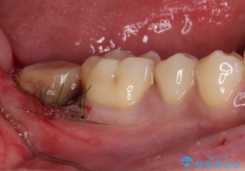
銀歯の頃は頻繁に外れていたため、不快感が強かったようですが、歯冠長を延長したことで外れにくいクラウンを装着することができ、不快感が改善されました。
セラミック治療の注意事項(リスク・副作用など)
- 天然歯を削ります
- 硬い素材は天然歯を傷つけてしまう場合があります
- かみ合わせや歯ぎしりが強すぎる方はセラミックが割れてしまう可能性があります
- 自費診療(保険適用外治療)となります
根管治療の注意事項(リスク・副作用など)
- 根管治療により類似の全ての症例の問題が解決するわけではなく、症例はあくまでも一例です
- 根管治療により痛みや腫れがひかない事や、術後に痛みや腫れが生じる事、治療によるファイル破折やパーフォレーションなどの偶発症、術後の歯根破折を生じる可能性もあります
- 自費診療(保険適用外)となります
外科処置の注意事項(リスク・副作用など)
- 外科手術のため、術後に出血、痛みや腫れ、違和感を伴います
- 口腔内の状態によっては適応できないことがあります
当サイトの内容、テキスト、画像等の無断転載、複製、複写、盗用を固く禁じます。












