症例詳細
Case detail
前歯が反対に咬んでいる インビザラインによる矯正治療
治療症例の内容
- 患者様
- 20代男性
- 矯正装置
- インビザライン
- 治療期間
- 2年
- 治療回数
- 10-30回
- 治療計画
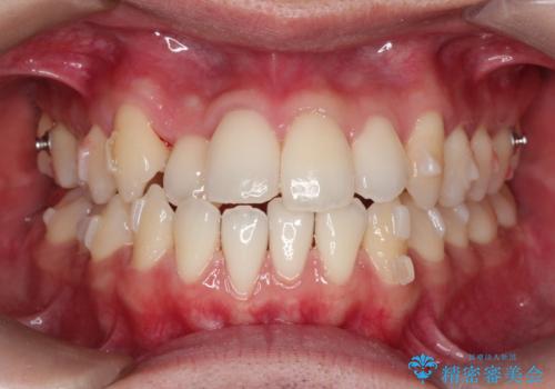
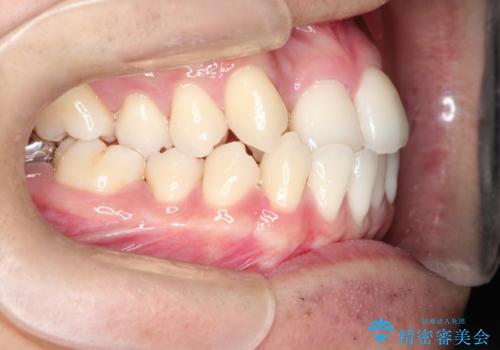
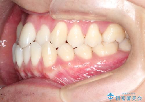
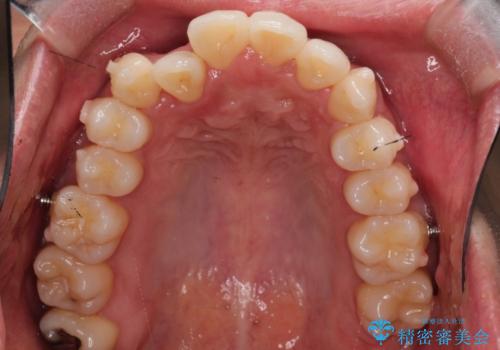
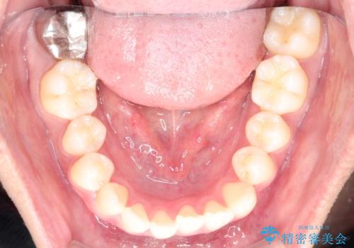
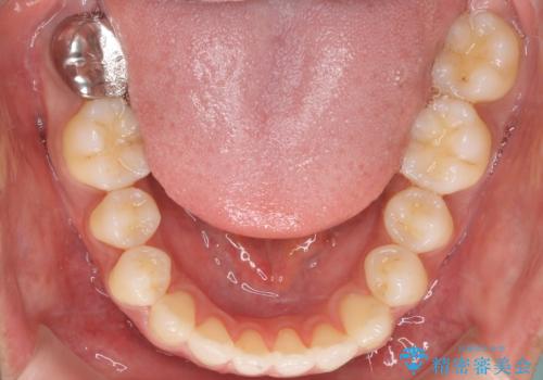
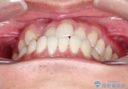
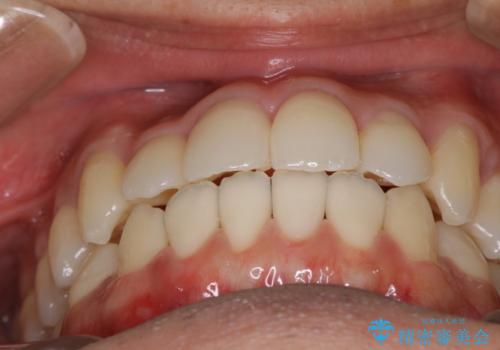
- 前歯が上下の歯が反対に咬んでいるとのことで来院されました。
上顎の前歯が内側に引っ込み、反対咬合となっていました。
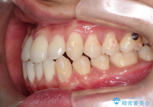
引っ込んでいる前歯を前方にだして、下の歯は後方に動かしかみ合わせを改善する計画としました。
- 費用(概算)
- 約90万円費用は治療当時の料金となります
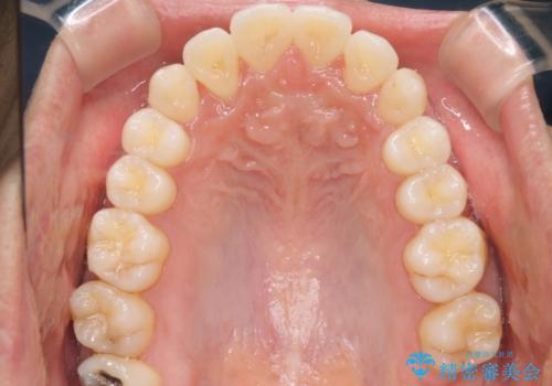
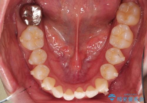
治療について
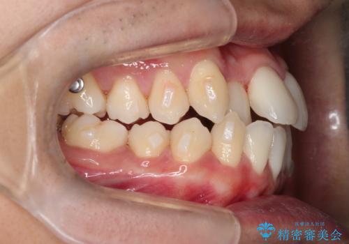
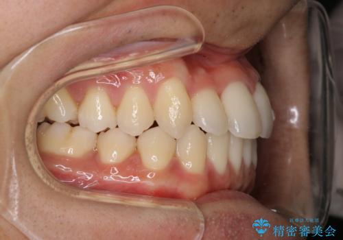
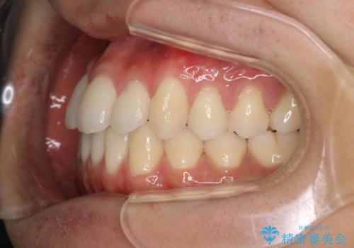
矯正前の写真と比べると、全然違って、きれいになってうれしいですとのお言葉をいただきました。
マウスピース矯正の注意事項(リスク・副作用など)
- 口腔内・歯並びの状態によっては対応できない場合があります
- マウスピース型矯正装置の長時間装着(1日20時間以上)が必須です
- 治療計画通りに進めるためには、患者様の意志が重要になります
- 矯正治療後の保定が不十分だと後戻り(元の位置に戻ろうとする動き)をします
- 薬機法対象外の矯正歯科装置のため医薬品副作用被害救済制度の対象外となる場合があります
- 自費診療(保険適用外)となります
当サイトの内容、テキスト、画像等の無断転載、複製、複写、盗用を固く禁じます。



















