症例詳細
Case detail
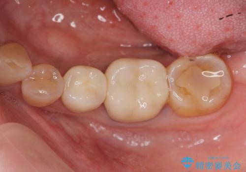
古くなった銀歯をやりかえたい
治療症例の内容
- 診療科目
- 担当医
- 大元洋佑(ドクタープロフィール)
- 患者様
- 50代女性
- 治療期間
- 3ヶ月
- 治療回数
- 2-5回
- 治療計画
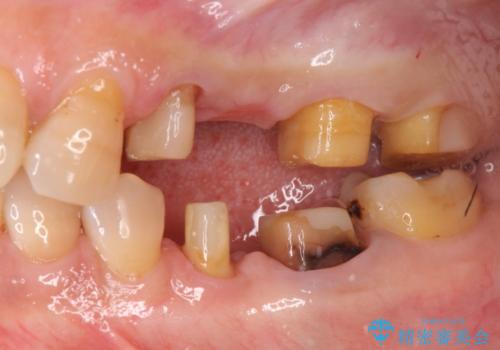
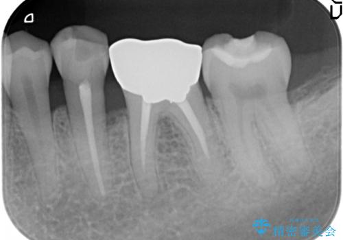
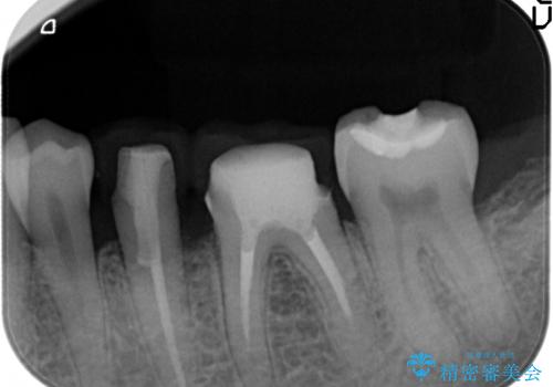
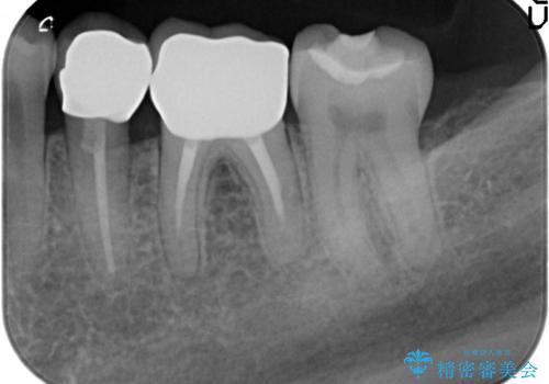
- 「老朽化し古くなった銀歯を白いものにやりかえたい。」と希望され来院されました。
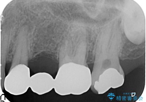
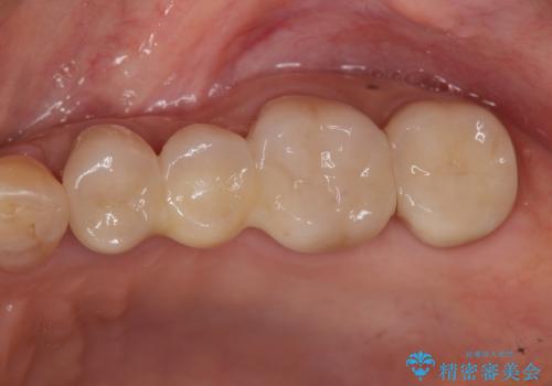
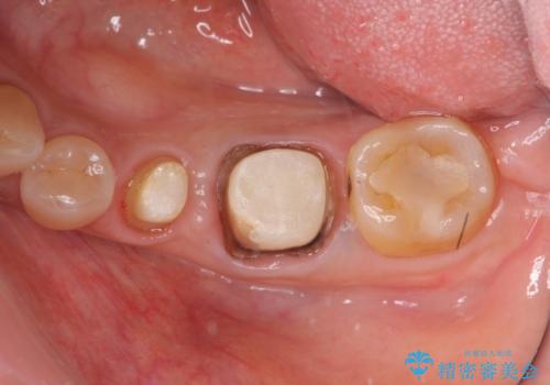
銀歯の下には再発した虫歯やセメントの漏出が見られ、丁寧に除去したのちセラミックによるクラウン・ブリッジ補綴を行います。
- 費用(概算)
- 66万円 仮歯 ジルコニアクラウン×6費用は治療当時の料金となります
治療について
適合や精度の悪い銀歯は、時間の経過とともに虫歯の再発リスクが高まります。
セラミック治療の注意事項(リスク・副作用など)
- 天然歯を削ります
- 硬い素材は天然歯を傷つけてしまう場合があります
- かみ合わせや歯ぎしりが強すぎる方はセラミックが割れてしまう可能性があります
- 自費診療(保険適用外治療)となります
当サイトの内容、テキスト、画像等の無断転載、複製、複写、盗用を固く禁じます。















