症例詳細
Case detail
目立つ銀歯を白くしたい
治療症例の内容
- 診療科目
- 治療カテゴリ
- 担当医
- 大元洋佑(ドクタープロフィール)
- 患者様
- 20代女性
- 治療期間
- 1ヶ月
- 治療回数
- 2-5回
- 治療計画
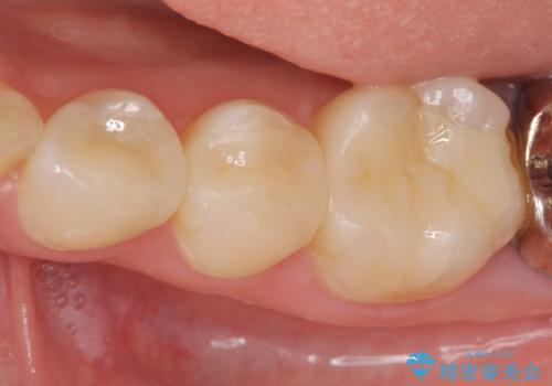
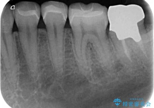
- 銀歯を装着してから時間が経っているので一度外して審美的な修復治療を受けたい、と希望され来院されました。
銀歯周囲の天然歯を削らないよう、拡大鏡下で丁寧に銀歯を除去したのちに審美性・精密性に優れるセラミックインレーを用いた修復治療を行っていきます。
- 費用(概算)
- 23.1万円 セラミックインレー×3費用は治療当時の料金となります
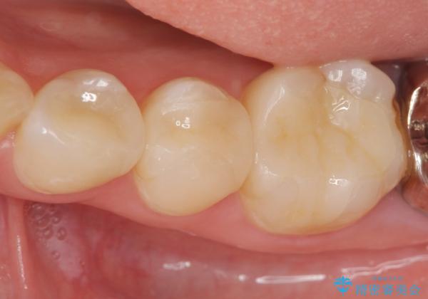
治療について
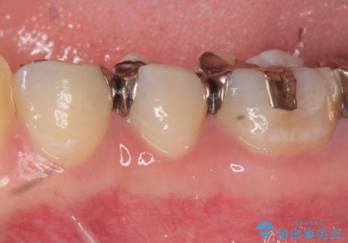
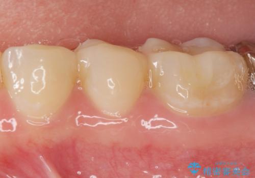
天然の歯のような色調を再現したセラミック修復処置を行ったことで口腔内の目立つ銀歯がなくなり満足いただくことができました。
セラミック治療の注意事項(リスク・副作用など)
- 天然歯を削ります
- 硬い素材は天然歯を傷つけてしまう場合があります
- かみ合わせや歯ぎしりが強すぎる方はセラミックが割れてしまう可能性があります
- 自費診療(保険適用外治療)となります
当サイトの内容、テキスト、画像等の無断転載、複製、複写、盗用を固く禁じます。






