症例詳細
Case detail
銀歯や古くなったクラウンをやりかえたい
治療症例の内容
- 患者様
- 50代女性
- 治療期間
- 1年
- 治療回数
- 5-10回
- 治療計画
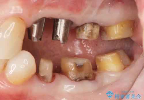
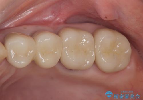
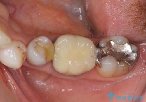
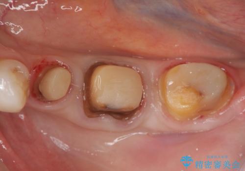
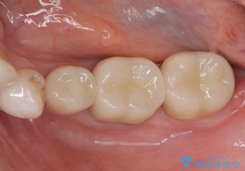
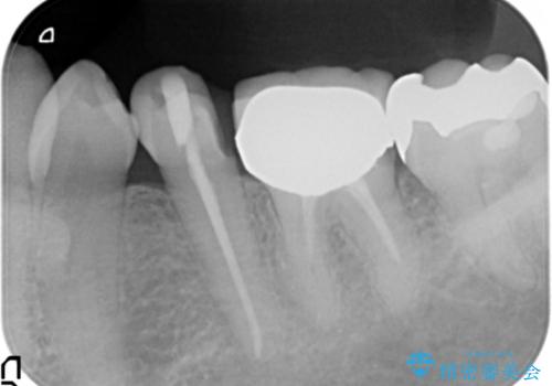
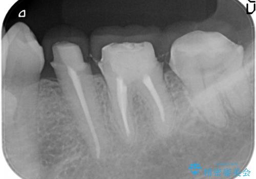
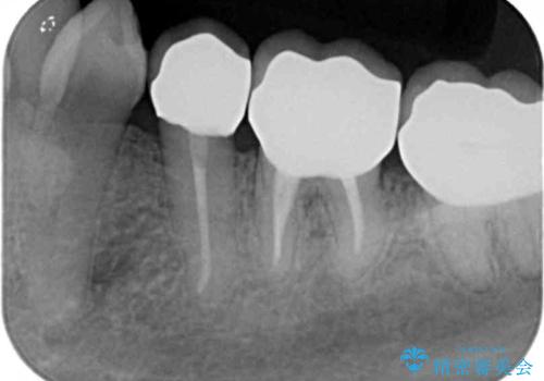
- 違和感や疼きのある左側小臼歯に加え全体的にクラウンや詰め物のやりかえを希望され来院されました。
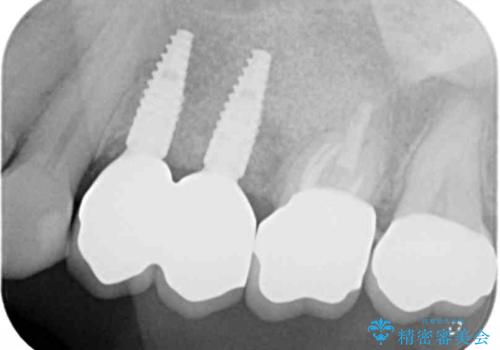
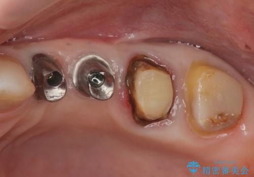
治療後に再発した虫歯や根管再治療に加え、穴の空き症状のある上顎左側小臼歯は抜去を行いインプラントによる機能回復治療を計画します。
- 費用(概算)
- 130万円費用は治療当時の料金となります
治療について
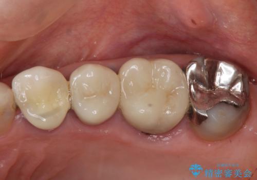
X線写真検査ではわからない虫歯も外してみると再発していることがあります。虫歯を丁寧に取り除き、再発を防ぐべく精密なクラウンの作製を行うことが長期的な予後につながります。
インプラント治療の注意事項(リスク・副作用など)
- 外科手術のため、術後に痛みや腫れ、違和感を伴います
- メンテナンスを怠ったり喫煙により、お口の中に大きな悪影響を及ぼすインプラント周囲炎等にかかる可能性があります
- 糖尿病、肝硬変、心臓病等の場合、インプラント治療ができない可能性があります
- 高血圧、貧血・不整脈等の場合、インプラント治療後に治癒不全を招く可能性があります
- 自費診療(保険適用外治療)となります
セラミック治療の注意事項(リスク・副作用など)
- 天然歯を削ります
- 硬い素材は天然歯を傷つけてしまう場合があります
- かみ合わせや歯ぎしりが強すぎる方はセラミックが割れてしまう可能性があります
- 自費診療(保険適用外治療)となります
当サイトの内容、テキスト、画像等の無断転載、複製、複写、盗用を固く禁じます。















