症例詳細
Case detail
他院で仮歯までしたが、放置していたためセラミック入れたい セラミック治療
治療症例の内容
- 診療科目
- 治療カテゴリ
- 担当医
- 菊地俊介(ドクタープロフィール)
- 患者様
- 40代女性
- 治療期間
- 1ヶ月
- 治療回数
- 2-5回
- 治療計画
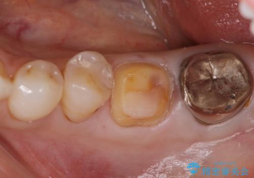
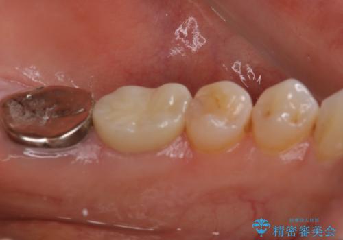
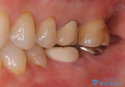
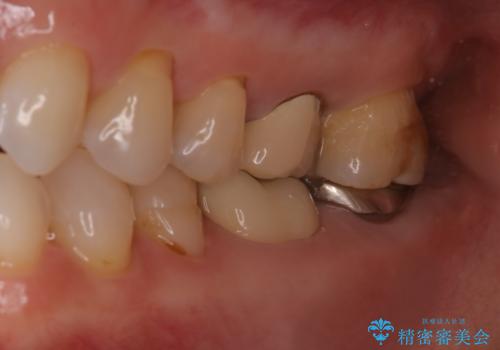
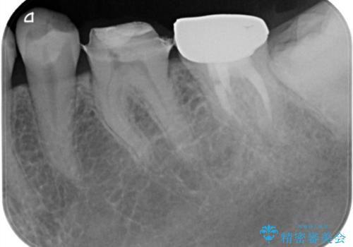
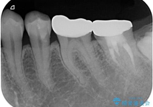
- 他院で、仮歯にしたがセラミックの値段が高すぎると思ったため治療相談も含めて来院された患者様です。
仮歯を新調させていただき、再度虫歯治療を行なって、歯の形を作りセラミックを入れさせていただきました。
- 費用(概算)
- 8.8万円費用は治療当時の料金となります
治療について
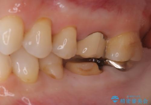
フルジルコニアクラウン 7万円(税抜)
仮歯 1万円
にて治療させていただきました。色に関しても喜んでいただき満足されていました。
セラミック治療の注意事項(リスク・副作用など)
- 天然歯を削ります
- 硬い素材は天然歯を傷つけてしまう場合があります
- かみ合わせや歯ぎしりが強すぎる方はセラミックが割れてしまう可能性があります
- 自費診療(保険適用外治療)となります
当サイトの内容、テキスト、画像等の無断転載、複製、複写、盗用を固く禁じます。











