症例詳細
Case detail
インビザラインは面倒くさい 目立たないワイヤー装置による矯正治療
治療症例の内容
- 担当医
- 藤巻太一朗(ドクタープロフィール)
- 患者様
- 40代女性
- 矯正装置
- 審美装置
- 治療期間
- 1年10ヶ月
- 治療回数
- 10-30回
- 治療計画
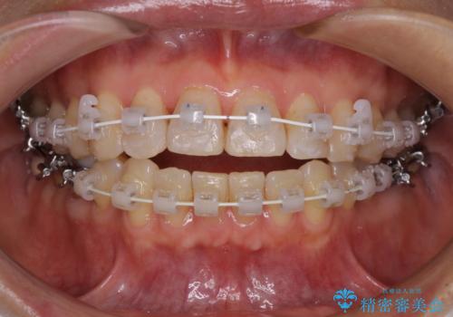
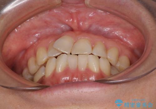
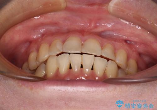
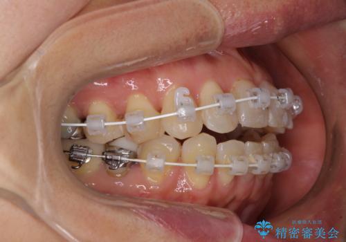
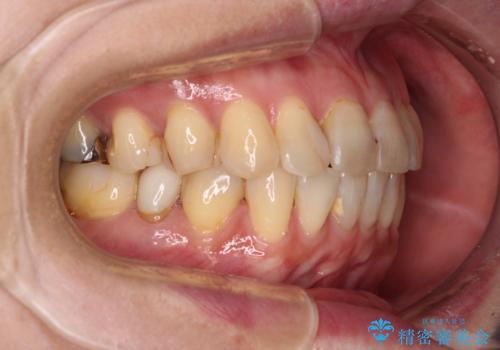
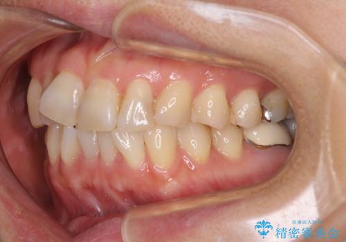
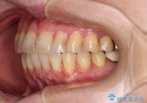
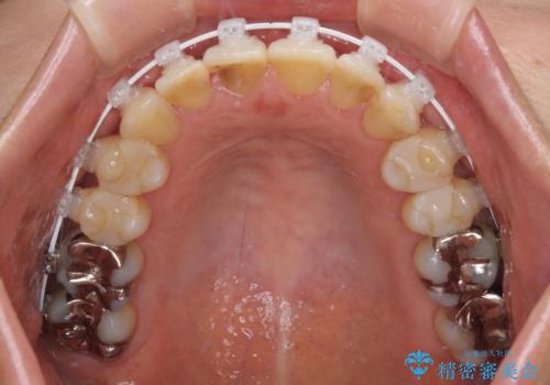
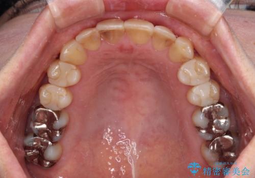
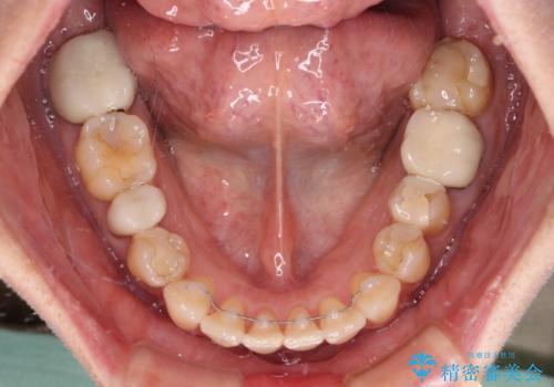
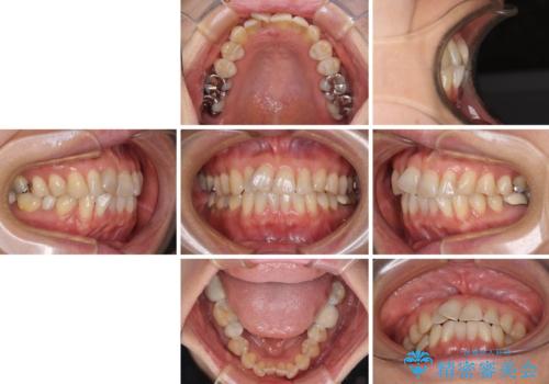
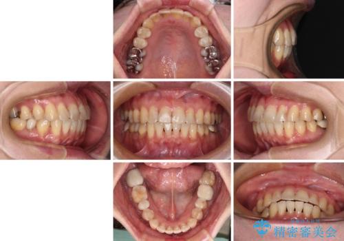
- 前歯のデコボコを気にして来院された患者様です。
インビザラインでもワイヤー装置でも対応可能であったので、両者のデメリットをご説明し、選択していただくことになりました。
マウスピース矯正の装着時間の長さや自己管理の重要性を煩わしいと感じられ、低依存で確実に治療ができるワイヤー矯正を選択されました。
- 費用(概算)
- 治療費の目安: 90万円(税込)費用は治療当時の料金となります
治療について
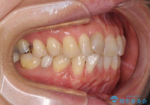
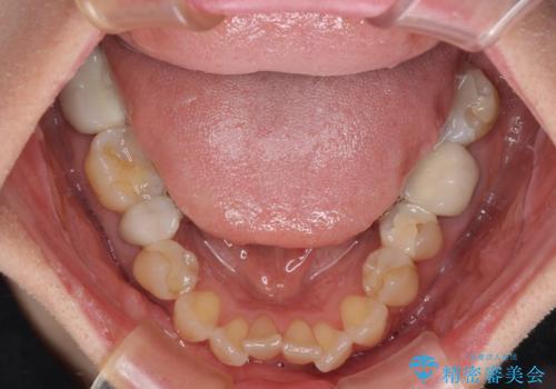
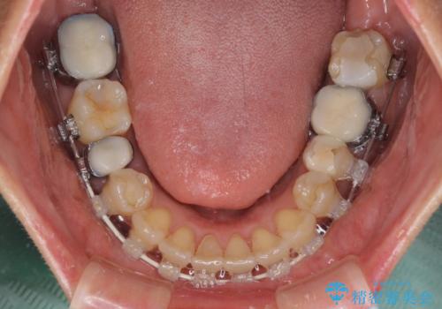
舌突出癖により、上下前歯がなかなか接触せずに治療期間を要しましたが、舌のトレーニングにより無事に治療を終えることができました。
ワイヤー矯正の注意事項(リスク・副作用など)
- 治療中は違和感や痛みが起こることがあります
- 症状により、抜歯が必要な場合があります
- 治療中は歯磨きがしにくくなるため、虫歯や歯周病になりやすくなります
- 矯正治療後の保定が不十分だと後戻り(元の位置に戻ろうとする動き)をします
- 自費診療(保険適用外)となります
当サイトの内容、テキスト、画像等の無断転載、複製、複写、盗用を固く禁じます。
























