症例詳細
Case detail
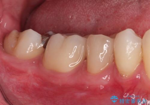
【オールセラミッククラウン】被せ物の治療
治療症例の内容
- 診療科目
- 治療カテゴリ
- 担当医
- 河口智英(ドクタープロフィール)
- 患者様
- 20代女性
- 治療期間
- 4ヶ月
- 治療回数
- 2-5回
- 治療計画
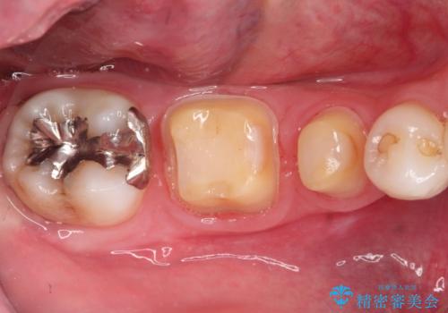
- 虫歯の治療を主訴に来院されました。
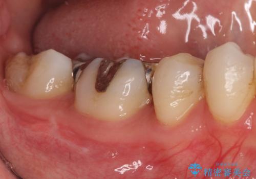
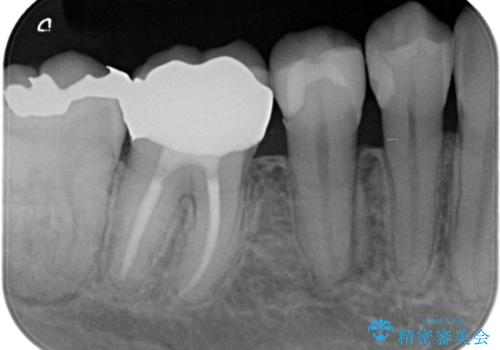
奥歯は不可逆性歯髄炎の診断のもと、根管治療を行なった後、被せ物の治療を行なっております。
- 費用(概算)
- 44万円費用は治療当時の料金となります
治療について
根管治療を行なった歯は被せ物を使用することで、破折しづらくなります。
セラミック治療の注意事項(リスク・副作用など)
- 天然歯を削ります
- 硬い素材は天然歯を傷つけてしまう場合があります
- かみ合わせや歯ぎしりが強すぎる方はセラミックが割れてしまう可能性があります
- 自費診療(保険適用外治療)となります
当サイトの内容、テキスト、画像等の無断転載、複製、複写、盗用を固く禁じます。







