症例詳細
Case detail
詰め物が欠けた オールセラミッククラウンによる虫歯治療
治療症例の内容
- 診療科目
- 治療カテゴリ
- 担当医
- 齋藤佑磨(ドクタープロフィール)
- 患者様
- 50代女性
- 治療期間
- 1ヶ月
- 治療回数
- 2-5回
- 治療計画
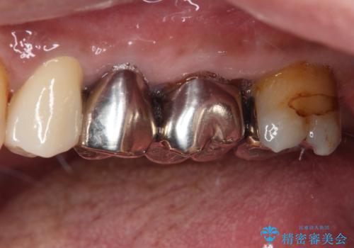
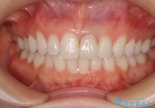
- 詰め物が欠けてしまい、虫歯かもしれないから診てほしいとのことで来院された患者様です。
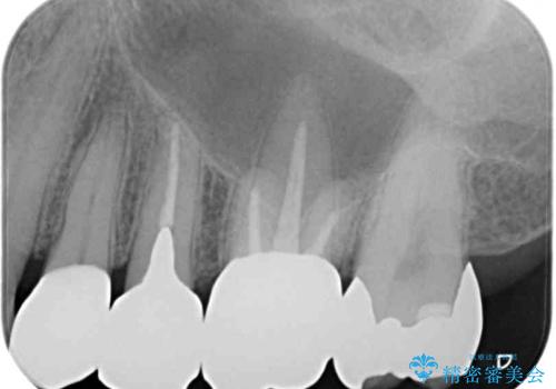
精査の結果、詰め物の下に虫歯が大きく広がっているのがわかりました。
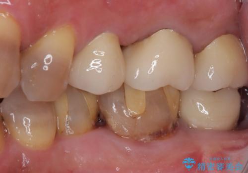
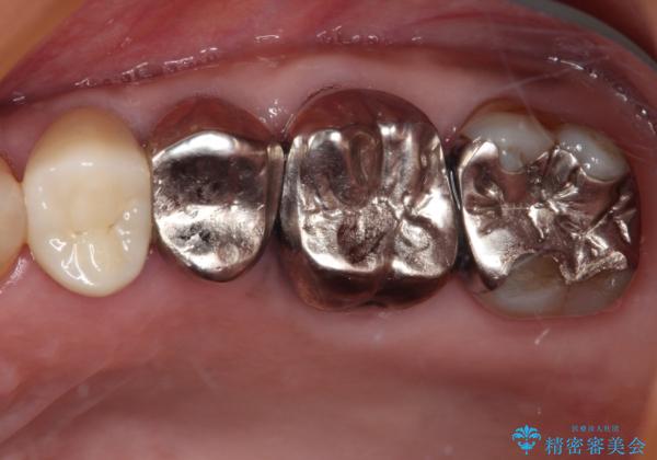
虫歯の範囲が大きく、部分的な詰め物では対応が難しいため、オールセラミッククラウンにて補綴することとしました。
また虫歯除去の際に、万一根管と交通してしまっても根管に感染を起こさないために、ラバーダム防湿をして虫歯除去しました。
- 費用(概算)
- 9万円(税込)費用は治療当時の料金となります
治療について
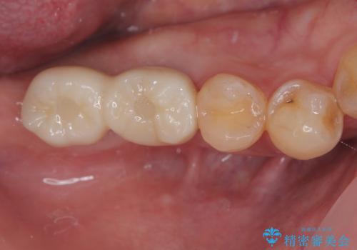
外見からはあまり大きな虫歯があるようには見えなくても、X線検査をすることで、詰め物の下に虫歯が広がっていることは多々あります。
定期的に歯科医院を受診し、早期発見・早期治療をすることで、歯の神経を残す治療が可能になります。
セラミック治療の注意事項(リスク・副作用など)
- 天然歯を削ります
- 硬い素材は天然歯を傷つけてしまう場合があります
- かみ合わせや歯ぎしりが強すぎる方はセラミックが割れてしまう可能性があります
- 自費診療(保険適用外治療)となります
当サイトの内容、テキスト、画像等の無断転載、複製、複写、盗用を固く禁じます。














