症例詳細
Case detail
気になる八重歯を目立たない装置で改善 ハーフリンガル矯正
治療症例の内容
- 診療科目
- 担当医
- 藤巻太一朗(ドクタープロフィール)
- 患者様
- 20代女性
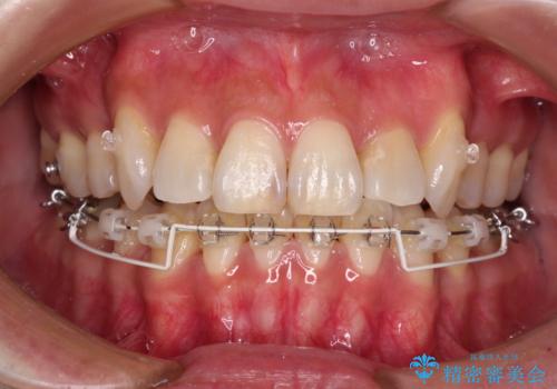
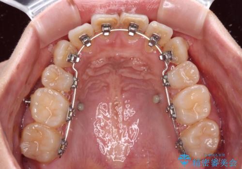
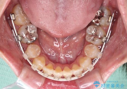
- 矯正装置
- ハーフリンガル
- 治療期間
- 1年11ヶ月
- 治療回数
- 10-30回
- 治療計画
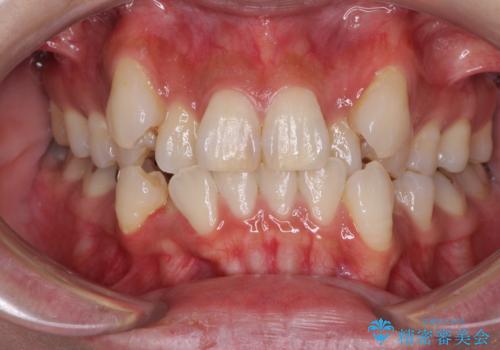
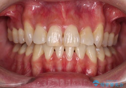
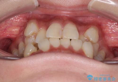
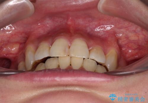
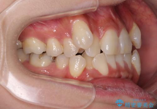
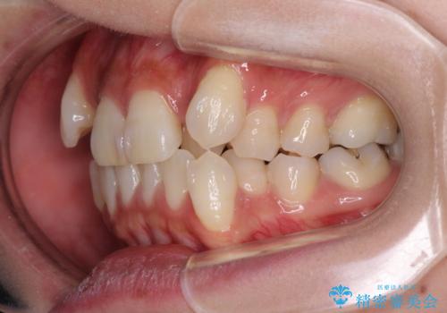
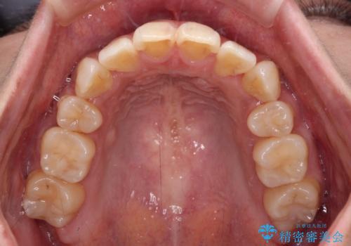
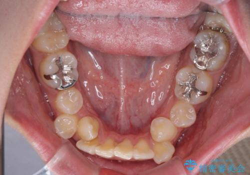
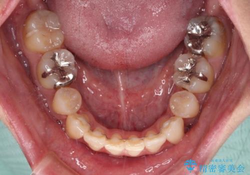
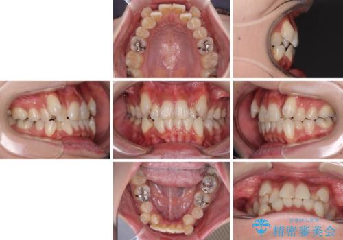
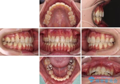
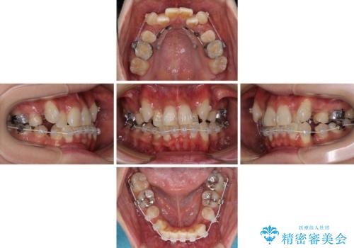
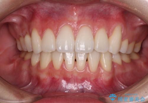
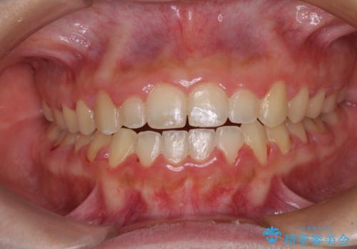
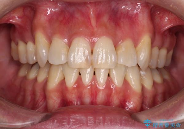
- 八重歯や前歯のデコボコを気にして来院された患者様です。
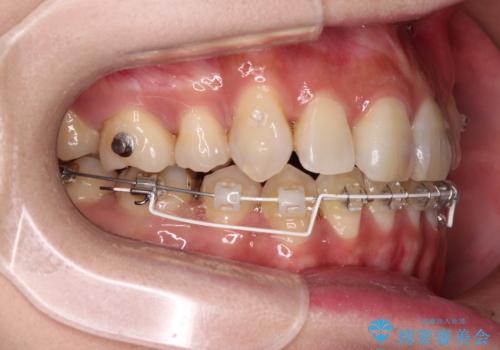
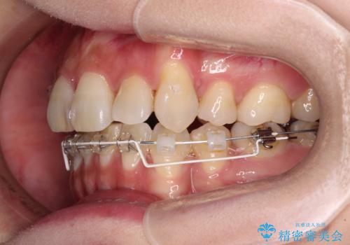
目立たない装置を希望されたので、上顎が裏側装置のハーフリンガルを選択し、上下左右の小臼歯(計4歯)を抜歯して矯正治療を行うこととしました。
補助装置を併用することで、八重歯を速やかに改善し、治療期間の短縮を図ることとしました。
- 費用(概算)
- 治療費の目安: 130万円(税込)費用は治療当時の料金となります
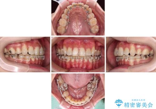
治療について
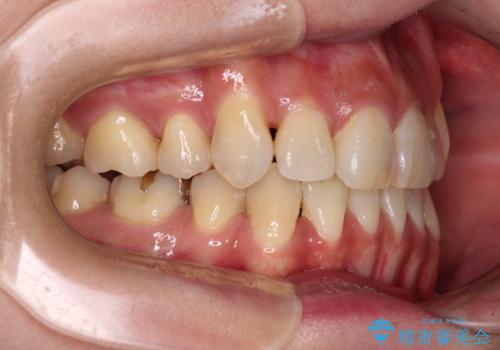
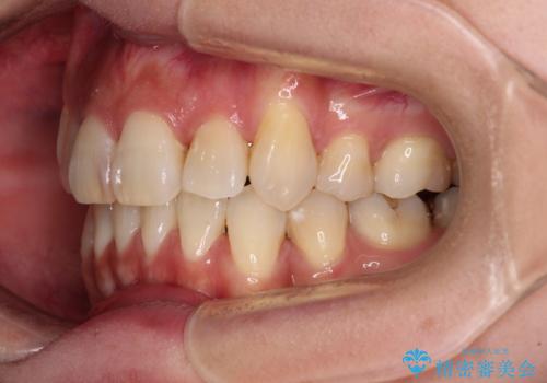
ハーフリンガルでの矯正治療は、表側矯正よりも期間がかかることが多く、抜歯矯正では3年以上かかることも珍しくありません。
デコボコが強い一方で出っ歯ではなかったため、抜歯したスペースを容易に閉じることができ、短期間での治療となりました。
ワイヤー矯正の注意事項(リスク・副作用など)
- 治療中は違和感や痛みが起こることがあります
- 症状により、抜歯が必要な場合があります
- 治療中は歯磨きがしにくくなるため、虫歯や歯周病になりやすくなります
- 矯正治療後の保定が不十分だと後戻り(元の位置に戻ろうとする動き)をします
- 自費診療(保険適用外)となります
当サイトの内容、テキスト、画像等の無断転載、複製、複写、盗用を固く禁じます。



























