症例詳細
Case detail
目立つ銀歯を白くしたい セラミック治療
治療症例の内容
- 診療科目
- 担当医
- 齋藤佑磨(ドクタープロフィール)
- 患者様
- 20代男性
- 治療期間
- 2ヶ月
- 治療回数
- 2-5回
- 治療計画
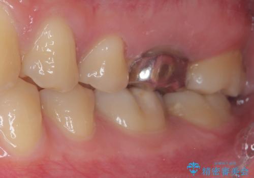
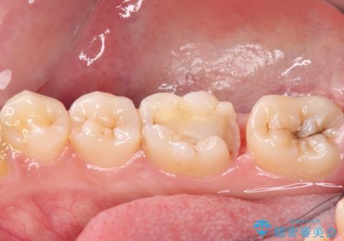
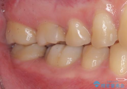
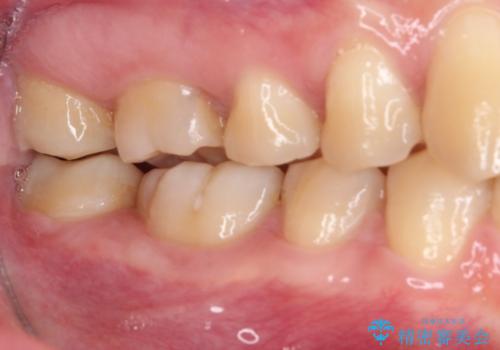
- 矯正治療後に目立つ銀歯を白くしたいとのことで来院された患者様です。
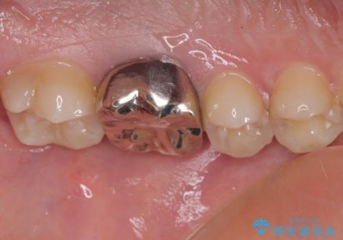
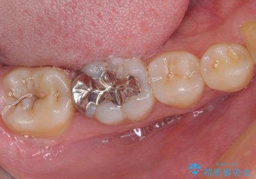
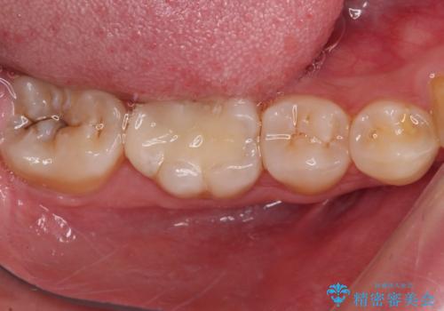
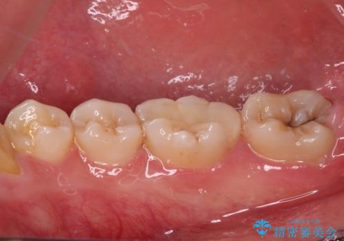
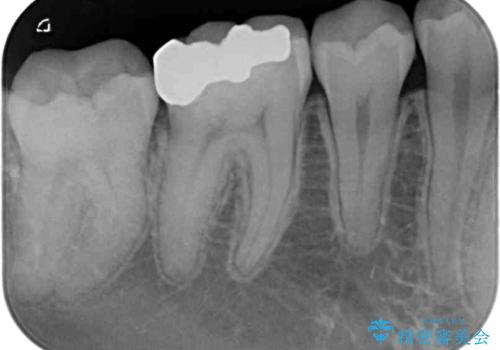
右下の銀の詰め物は、外してむし歯を除去した後、セラミックインレーにて修復することとしました。
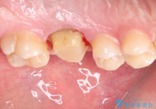
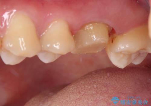
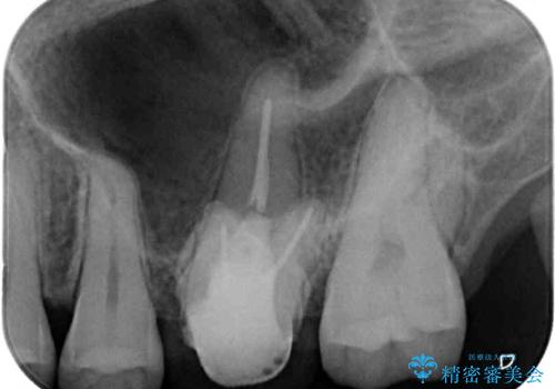
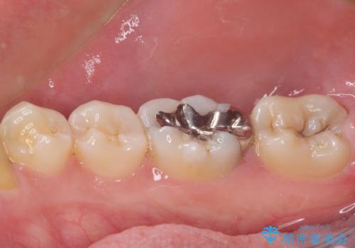
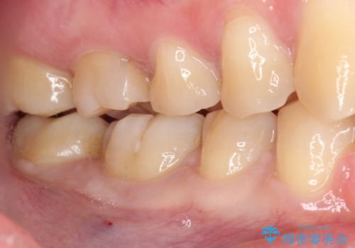
左上の銀歯は、銀歯の下に金属の土台が入っているため、その土台を除去し、ファイバーコアにやり替えて、オールセラミッククラウンにて補綴することとしました。
- 費用(概算)
- 19万円(税込)費用は治療当時の料金となります
治療について
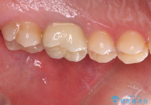
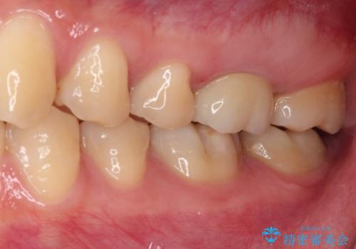
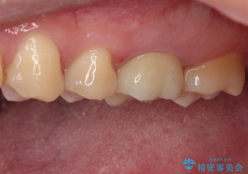
適合の良いセラミック治療は、むし歯再発のリスクが低いです。
目立つ銀歯がなくなり、患者様は大変満足されました。
セラミック治療の注意事項(リスク・副作用など)
- 天然歯を削ります
- 硬い素材は天然歯を傷つけてしまう場合があります
- かみ合わせや歯ぎしりが強すぎる方はセラミックが割れてしまう可能性があります
- 自費診療(保険適用外治療)となります
当サイトの内容、テキスト、画像等の無断転載、複製、複写、盗用を固く禁じます。


























