症例詳細
Case detail
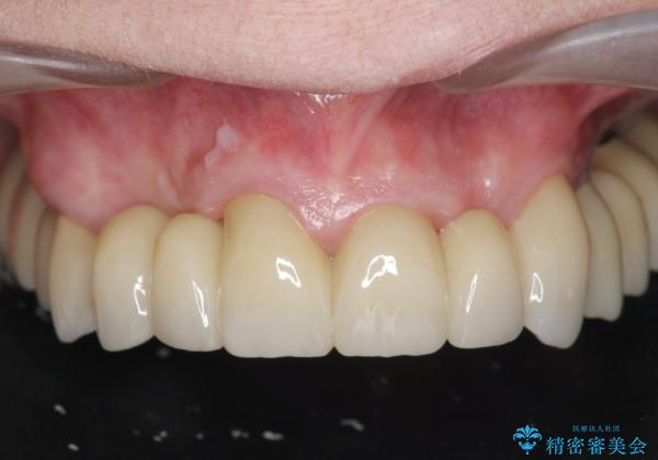
[ 前歯のオールセラミックブリッジ ] 前歯の腫れ・痛み・ニオイ・出血が気になる
治療症例の内容
- 診療科目
- 治療カテゴリ
- 担当医
- 大元洋佑(ドクタープロフィール)
- 患者様
- 50代女性
- 治療期間
- 1年
- 治療回数
- 5-10回
- 治療計画
- 前歯がぐらぐらする、臭いがすごい、歯を磨くと出血する、噛むと痛い、と複合的な問題の改善を希望され来院されました。
 グラつきの激しい前歯を除去すると、支えている歯の破折・虫歯・根管の感染等複数の問題が認められました。
 破折した歯の抜去、感染根管治療、仮歯を用いた清掃の改善を行い最終的なオールセラミックブリッジを製作し審美性の改善を計画します。
- 費用(概算)
- 84.7万円 (仮歯 ジルコニアクラウン×7 )費用は治療当時の料金となります
治療について
複合的な問題も丁寧に一つづつ解決することで、治療期間はかかりますが良好な結果を得ることができます。
セラミック治療の注意事項(リスク・副作用など)
- 天然歯を削ります
- 硬い素材は天然歯を傷つけてしまう場合があります
- かみ合わせや歯ぎしりが強すぎる方はセラミックが割れてしまう可能性があります
- 自費診療(保険適用外治療)となります
当サイトの内容、テキスト、画像等の無断転載、複製、複写、盗用を固く禁じます。








 
                       
                                                          ![[ 前歯のオールセラミックブリッジ ]  前歯の腫れ・痛み・ニオイ・出血が気になるの治療前](https://seimitsushinbi.jp/wp/wp-content/uploads/2022/06/ccd2044576fc22903102228d1200b171-500x350.jpg?v=1655973788)
![[ 前歯のオールセラミックブリッジ ]  前歯の腫れ・痛み・ニオイ・出血が気になるの治療中](https://seimitsushinbi.jp/wp/wp-content/uploads/2022/06/5d58383f162fdcc03c787d1dd636a371-500x350.jpg?v=1655973816)
![[ 前歯のオールセラミックブリッジ ]  前歯の腫れ・痛み・ニオイ・出血が気になるの治療後](https://seimitsushinbi.jp/wp/wp-content/uploads/2022/06/47130413fab91972fae52ec510652010-500x350.jpg?v=1655973830)
![[ 前歯のオールセラミックブリッジ ]  前歯の腫れ・痛み・ニオイ・出血が気になるの治療前](https://seimitsushinbi.jp/wp/wp-content/uploads/2022/06/CI2-side-500x350.jpg?v=1655973938)
![[ 前歯のオールセラミックブリッジ ]  前歯の腫れ・痛み・ニオイ・出血が気になるの治療中](https://seimitsushinbi.jp/wp/wp-content/uploads/2022/06/CI51-side-500x350.jpg?v=1655973939)
![[ 前歯のオールセラミックブリッジ ]  前歯の腫れ・痛み・ニオイ・出血が気になるの治療後](https://seimitsushinbi.jp/wp/wp-content/uploads/2022/06/CI63-side-500x350.jpg?v=1655973939)
![[ 前歯のオールセラミックブリッジ ]  前歯の腫れ・痛み・ニオイ・出血が気になるの治療前](https://seimitsushinbi.jp/wp/wp-content/uploads/2022/06/1f1a3a526c2c9c62003d1e47aca896a5-500x350.jpg?v=1655973791)
![[ 前歯のオールセラミックブリッジ ]  前歯の腫れ・痛み・ニオイ・出血が気になるの治療中](https://seimitsushinbi.jp/wp/wp-content/uploads/2022/06/46825d0f465cc478a4d90a33f5b3c70f-500x350.jpg?v=1655973814)
![[ 前歯のオールセラミックブリッジ ]  前歯の腫れ・痛み・ニオイ・出血が気になるの治療後](https://seimitsushinbi.jp/wp/wp-content/uploads/2022/06/30fa05ce228361d3950c0849ce51b0d1-500x350.jpg?v=1655973828)
![[ 前歯のオールセラミックブリッジ ]  前歯の腫れ・痛み・ニオイ・出血が気になるの治療前](https://seimitsushinbi.jp/wp/wp-content/uploads/2022/06/07762e5c56726fc96a6b313e20688e4e-500x350.jpg?v=1655973793)
![[ 前歯のオールセラミックブリッジ ]  前歯の腫れ・痛み・ニオイ・出血が気になるの治療中](https://seimitsushinbi.jp/wp/wp-content/uploads/2022/06/9c953faab1458ab410348a0f93e34421-500x350.jpg?v=1655974114)
![[ 前歯のオールセラミックブリッジ ]  前歯の腫れ・痛み・ニオイ・出血が気になるの治療後](https://seimitsushinbi.jp/wp/wp-content/uploads/2022/06/8c3c107a731878ac28d24607a2e99a27-500x350.jpg?v=1655973833)
![[ 前歯のオールセラミックブリッジ ]  前歯の腫れ・痛み・ニオイ・出血が気になるの治療前](https://seimitsushinbi.jp/wp/wp-content/uploads/2022/06/1646f42efb7f4e66917dae28226cd3f1-500x350.jpg?v=1655973795)
![[ 前歯のオールセラミックブリッジ ]  前歯の腫れ・痛み・ニオイ・出血が気になるの治療中](https://seimitsushinbi.jp/wp/wp-content/uploads/2022/06/25fbe4de4025658f8b26786d210ae745-500x350.jpg?v=1655974112)
![[ 前歯のオールセラミックブリッジ ]  前歯の腫れ・痛み・ニオイ・出血が気になるの治療後](https://seimitsushinbi.jp/wp/wp-content/uploads/2022/06/665f0d65c8910205053f744e2e161323-500x350.jpg?v=1655973835)
![[ 前歯のオールセラミックブリッジ ]  前歯の腫れ・痛み・ニオイ・出血が気になるの治療前](https://seimitsushinbi.jp/wp/wp-content/uploads/2022/06/5a1dd2c8b2e6bb899dff2680c4a09787-500x350.jpg?v=1655973798)
![[ 前歯のオールセラミックブリッジ ]  前歯の腫れ・痛み・ニオイ・出血が気になるの治療中](https://seimitsushinbi.jp/wp/wp-content/uploads/2022/06/e8c8050bcddce388dce1c358bf821985-500x350.jpg?v=1655973821)
![[ 前歯のオールセラミックブリッジ ]  前歯の腫れ・痛み・ニオイ・出血が気になるの治療後](https://seimitsushinbi.jp/wp/wp-content/uploads/2022/06/9233e16fd93576ee5431dfc9f3f781d5-500x350.jpg?v=1655973823)
![[ 前歯のオールセラミックブリッジ ]  前歯の腫れ・痛み・ニオイ・出血が気になるの治療前](https://seimitsushinbi.jp/wp/wp-content/uploads/2022/06/a6ccf8468693c4076031e5826bdc3dfe-500x350.jpg?v=1655973800)
![[ 前歯のオールセラミックブリッジ ]  前歯の腫れ・痛み・ニオイ・出血が気になるの治療中](https://seimitsushinbi.jp/wp/wp-content/uploads/2022/06/049d60e824235099650adc825d7754d7-500x350.jpg?v=1655973818)
![[ 前歯のオールセラミックブリッジ ]  前歯の腫れ・痛み・ニオイ・出血が気になるの治療後](https://seimitsushinbi.jp/wp/wp-content/uploads/2022/06/5c4427f2ade01324ccb2bcd6d30e50d8-500x350.jpg?v=1655973826)
![[ 前歯のオールセラミックブリッジ ]  前歯の腫れ・痛み・ニオイ・出血が気になるの治療前](https://seimitsushinbi.jp/wp/wp-content/uploads/2022/06/e953e8306c64b2c2796883908c563512-500x350.jpg?v=1655973802)
![[ 前歯のオールセラミックブリッジ ]  前歯の腫れ・痛み・ニオイ・出血が気になるの治療前](https://seimitsushinbi.jp/wp/wp-content/uploads/2022/06/a27dec88b010ccf3bfc8d15feb0161b8-500x350.jpg?v=1655973812)
![[ 前歯のオールセラミックブリッジ ]  前歯の腫れ・痛み・ニオイ・出血が気になるの治療前](https://seimitsushinbi.jp/wp/wp-content/uploads/2022/06/80f496aeddd7c643bc765a18e0c0c2fc-500x350.jpg?v=1655973805)
![[ 前歯のオールセラミックブリッジ ]  前歯の腫れ・痛み・ニオイ・出血が気になるの治療前](https://seimitsushinbi.jp/wp/wp-content/uploads/2022/06/d61a7229b17e1a8f657cc136cb039477-500x350.jpg?v=1655973807)
![[ 前歯のオールセラミックブリッジ ]  前歯の腫れ・痛み・ニオイ・出血が気になるの治療前](https://seimitsushinbi.jp/wp/wp-content/uploads/2022/06/f58cf12a895c1d90a25cde29716bb2cc-500x350.jpg?v=1655973809)
 
                  ![[ インプラント治療 ]失った奥歯を回復したい](https://seimitsushinbi.jp/wp/wp-content/uploads/2021/11/CI28-500x350.jpg?v=1637928875) 
                   
                  ![[ セラミック治療 ]目立つ奥歯の銀歯を白くする](https://seimitsushinbi.jp/wp/wp-content/uploads/2021/11/2d1e50d0178f2ec9668274932161b9f7-500x350.jpg?v=1637229912)