症例詳細
Case detail
[ 臼歯部インプラント治療 ] 抜けた歯を治療したい
治療症例の内容
- 担当医
- 大元洋佑(ドクタープロフィール)
- 患者様
- 50代女性
- 治療期間
- 1年
- 治療回数
- 5-10回
- 治療計画
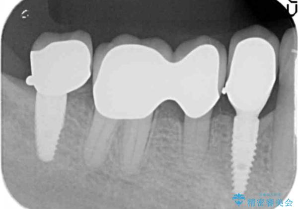
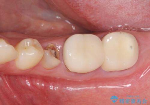
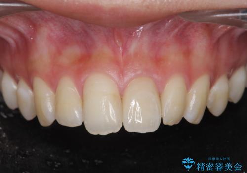
- 抜け落ちた歯と、残った歯の揺れの治療を希望され来院されました。
インプラントを埋入するために
① 不十分な顎骨量 → インプラント埋入と同時に骨の造成
② 角化歯肉の不足 → 遊離歯肉移植術
③ 歯の揺れ → 残存歯の連結補綴
を行う治療計画を立案します。
- 費用(概算)
- 110万円費用は治療当時の料金となります
治療について
ただ歯のないところにインプラントを入れて、終わり。と言った治療ではなく、長期的に安定した咬合状態を保てるような噛み合わせの整備や清掃しやすいような歯周環境を整えることで良好な治療結果を得ることができました。
インプラント治療の注意事項(リスク・副作用など)
- 外科手術のため、術後に痛みや腫れ、違和感を伴います
- メンテナンスを怠ったり喫煙により、お口の中に大きな悪影響を及ぼすインプラント周囲炎等にかかる可能性があります
- 糖尿病、肝硬変、心臓病等の場合、インプラント治療ができない可能性があります
- 高血圧、貧血・不整脈等の場合、インプラント治療後に治癒不全を招く可能性があります
- 自費診療(保険適用外治療)となります
セラミック治療の注意事項(リスク・副作用など)
- 天然歯を削ります
- 硬い素材は天然歯を傷つけてしまう場合があります
- かみ合わせや歯ぎしりが強すぎる方はセラミックが割れてしまう可能性があります
- 自費診療(保険適用外治療)となります
当サイトの内容、テキスト、画像等の無断転載、複製、複写、盗用を固く禁じます。

![[ 臼歯部インプラント治療 ] 抜けた歯を治療したいの治療前](https://seimitsushinbi.jp/wp/wp-content/uploads/2022/06/b20681531f81bbbcb107d489675c3fe3-500x350.jpg?v=1655969039)
![[ 臼歯部インプラント治療 ] 抜けた歯を治療したいの治療中](https://seimitsushinbi.jp/wp/wp-content/uploads/2022/06/0699e094317390ac20da71e57abd4037-1-500x350.jpg?v=1655972389)
![[ 臼歯部インプラント治療 ] 抜けた歯を治療したいの治療後](https://seimitsushinbi.jp/wp/wp-content/uploads/2022/06/3d94cd3d2c3bb38c4cb75b95fbdde67e-500x350.jpg?v=1655972093)
![[ 臼歯部インプラント治療 ] 抜けた歯を治療したいの治療前](https://seimitsushinbi.jp/wp/wp-content/uploads/2022/06/CI10-2-500x350.jpg?v=1655972042)
![[ 臼歯部インプラント治療 ] 抜けた歯を治療したいの治療中](https://seimitsushinbi.jp/wp/wp-content/uploads/2022/06/CI12-1-500x350.jpg?v=1655972043)
![[ 臼歯部インプラント治療 ] 抜けた歯を治療したいの治療後](https://seimitsushinbi.jp/wp/wp-content/uploads/2022/06/CI38-500x350.jpg?v=1655972045)
![[ 臼歯部インプラント治療 ] 抜けた歯を治療したいの治療前](https://seimitsushinbi.jp/wp/wp-content/uploads/2022/06/b80a71d6132dd3e26bcad81aaa348245-500x350.jpg?v=1655969033)
![[ 臼歯部インプラント治療 ] 抜けた歯を治療したいの治療中](https://seimitsushinbi.jp/wp/wp-content/uploads/2022/06/71399053ff45ab4d30e25e212f30f4da-500x350.jpg?v=1655969072)
![[ 臼歯部インプラント治療 ] 抜けた歯を治療したいの治療後](https://seimitsushinbi.jp/wp/wp-content/uploads/2022/06/09997dbc56a3637c4b6f1e4504f46f43-500x350.jpg?v=1655972098)
![[ 臼歯部インプラント治療 ] 抜けた歯を治療したいの治療前](https://seimitsushinbi.jp/wp/wp-content/uploads/2022/06/28c6e0fe3223e1e250f14281d4424cd6-500x350.jpg?v=1655969036)
![[ 臼歯部インプラント治療 ] 抜けた歯を治療したいの治療中](https://seimitsushinbi.jp/wp/wp-content/uploads/2022/06/CI18-1-500x350.jpg?v=1655972044)
![[ 臼歯部インプラント治療 ] 抜けた歯を治療したいの治療後](https://seimitsushinbi.jp/wp/wp-content/uploads/2022/06/4e9902b92f3c10759e8db7d7efcfd47a-500x350.jpg?v=1655972109)
![[ 臼歯部インプラント治療 ] 抜けた歯を治療したいの治療前](https://seimitsushinbi.jp/wp/wp-content/uploads/2022/06/5bb351600b3b7a6de66f4d45cb88cd9a-500x350.jpg?v=1655969042)
![[ 臼歯部インプラント治療 ] 抜けた歯を治療したいの治療前](https://seimitsushinbi.jp/wp/wp-content/uploads/2022/06/d34eed1b6b65e24ac9727a00cada6aa7-500x350.jpg?v=1655969045)
![[ 臼歯部インプラント治療 ] 抜けた歯を治療したいの治療前](https://seimitsushinbi.jp/wp/wp-content/uploads/2022/06/e8095b01932b4f0128abd06838e195bf-500x350.jpg?v=1655969048)
![[ 臼歯部インプラント治療 ] 抜けた歯を治療したいの治療前](https://seimitsushinbi.jp/wp/wp-content/uploads/2022/06/008b29a4fe305c64cad573454fcf61eb-500x350.jpg?v=1655969051)
![[ 臼歯部インプラント治療 ] 抜けた歯を治療したいの治療前](https://seimitsushinbi.jp/wp/wp-content/uploads/2022/06/a7dda7639e8d43659a140c3bd2aa4013-500x350.jpg?v=1655969054)
![[ 臼歯部インプラント治療 ] 抜けた歯を治療したいの治療前](https://seimitsushinbi.jp/wp/wp-content/uploads/2022/06/7b8b93194b1ba089db529f32e1f45f05-500x350.jpg?v=1655969057)