症例詳細
Case detail
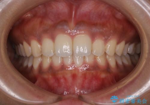
タバコのステインを徹底的に除去
治療症例の内容
- 診療科目
 
- 治療カテゴリ
 
- 患者様
 - 20代女性
 
- 治療期間
 - 1日
 
- 治療回数
 - 1回
 
- 治療計画
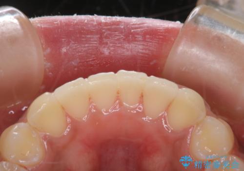
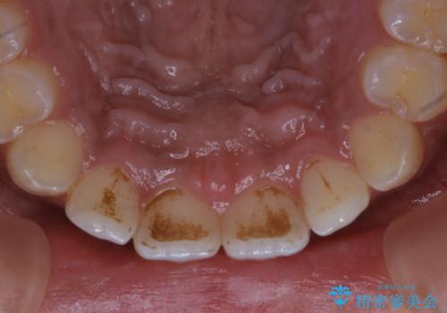
 - タバコによるステインを綺麗にしたいとのことでした。
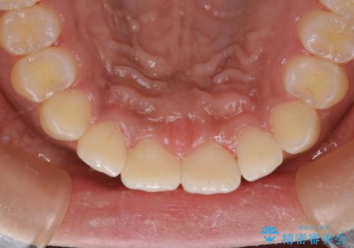
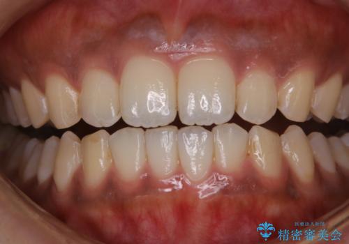
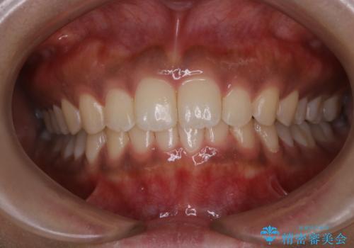
PMTC60分コースを行いました。 
- 費用(概算)
 - ¥11000費用は治療当時の料金となります
 
治療について
タバコに含まれているものの中で、タールというものが歯の黄ばみの原因です。その黄ばみなどを、無理に落とそうとしたりすると歯の表面に傷がついてしまったり余計に汚れがつきやすい状態になることがあります。
PMTCでは、歯の表面の凸凹にミネラルを補給して、ツルツルの表面に仕上げます。定期的にPMTCを行うことにより、歯質の強化になり着色がつきにくい状態になります。
普段の飲食物・歯磨き・生活習慣・喫煙の有無などにより着色の付き具合には個人差があります。どれくらいの頻度で行うことがベストかは、その都度担当の歯科衛生士とご相談します。
担当
表参道しらゆり歯科 DH西澤
PMTCの注意事項(リスク・副作用など)
- 歯を白くする目的の施術ではありません
 - 保険適用外となります
 
当サイトの内容、テキスト、画像等の無断転載、複製、複写、盗用を固く禁じます。

                      
                                                          






