症例詳細
Case detail
矯正中も清潔な口元へ
治療症例の内容
- 診療科目
- 治療カテゴリ
- 患者様
- 30代女性
- 治療期間
- 治療回数
- 1回
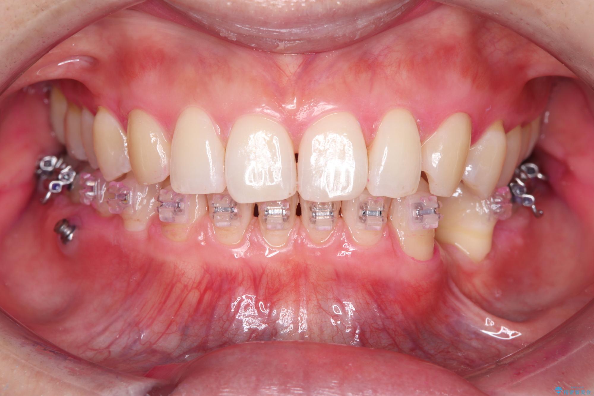
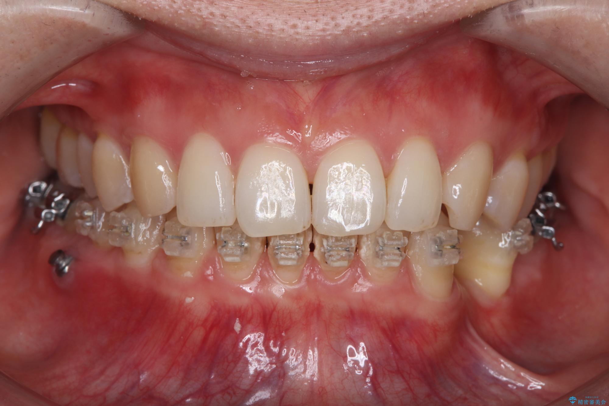
- 治療計画
- ワイヤー矯正中の患者様です.
今回は汚れを染め出しクリーニングをしました。
- 費用(概算)
- 保険診療、約4000円費用は治療当時の料金となります
治療について
ワイヤーの装置周りは歯ブラシが当てにくいので、歯石や歯垢などが残り歯周病・虫歯になりやすいです。そのため定期的なクリーニングをおすすめしております。
PMTCの注意事項(リスク・副作用など)
- 歯を白くする目的の施術ではありません
- 保険適用外となります
当サイトの内容、テキスト、画像等の無断転載、複製、複写、盗用を固く禁じます。



