症例詳細
Case detail
抜歯が必要と言われた前歯 根管治療とオールセラミッククラウン
治療症例の内容
- 診療科目
- 担当医
- 藤巻太一朗(ドクタープロフィール)
- 患者様
- 40代女性
- 治療期間
- 6ヶ月
- 治療回数
- 2-5回
- 治療計画
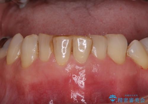
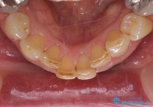
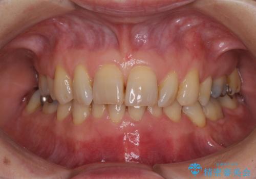
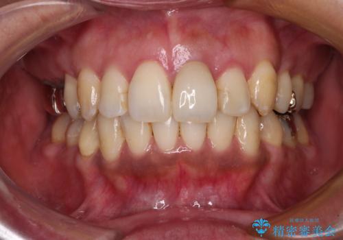
- 下顎前歯が痛んで近医を受診したところ、下顎前歯2本を抜歯してインプラント治療が必要と診断されたとのことで来院された患者様です。
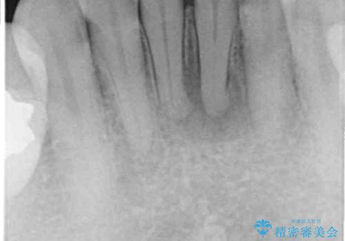
診査の結果、下顎左側中切歯の神経が失活していることが痛みの原因であり、根管治療を行う必要があると診断されました。
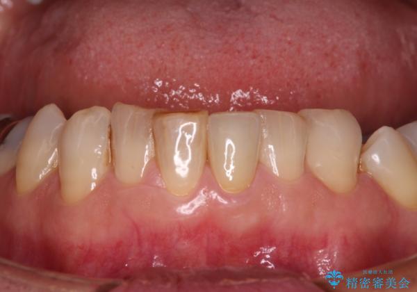
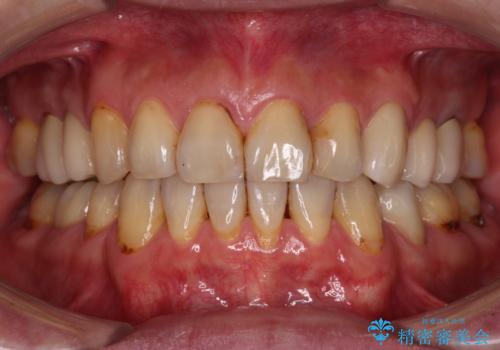
根管治療を行った後にオールセラミッククラウンにて補綴することとしました。
- 費用(概算)
- 治療費の目安: 22万円(税込)費用は治療当時の料金となります
治療について
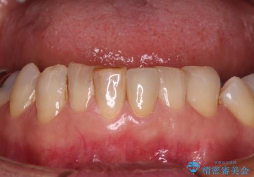
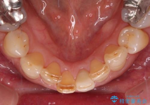
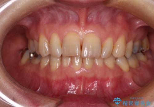
隣在歯にも根尖部の炎症が及んでいるように見えましたが、術前診査では神経が失活している様子がなかったため、まずは原因歯から処置を行うこととしました。
初回の根管治療後には痛みが速やかに改善し、6か月後のレントゲン写真では根尖の病変が消失していることが確認できました。
根管治療の注意事項(リスク・副作用など)
- 根管治療により類似の全ての症例の問題が解決するわけではなく、症例はあくまでも一例です
- 根管治療により痛みや腫れがひかない事や、術後に痛みや腫れが生じる事、治療によるファイル破折やパーフォレーションなどの偶発症、術後の歯根破折を生じる可能性もあります
- 自費診療(保険適用外)となります
セラミック治療の注意事項(リスク・副作用など)
- 天然歯を削ります
- 硬い素材は天然歯を傷つけてしまう場合があります
- かみ合わせや歯ぎしりが強すぎる方はセラミックが割れてしまう可能性があります
- 自費診療(保険適用外治療)となります
当サイトの内容、テキスト、画像等の無断転載、複製、複写、盗用を固く禁じます。












