症例詳細
Case detail
奥歯が痛い セラミッククラウンでの虫歯治療
治療症例の内容
- 診療科目
- 治療カテゴリ
- 担当医
- 藤巻太一朗(ドクタープロフィール)
- 患者様
- 40代男性
- 治療期間
- 6ヶ月
- 治療回数
- 2-5回
- 治療計画
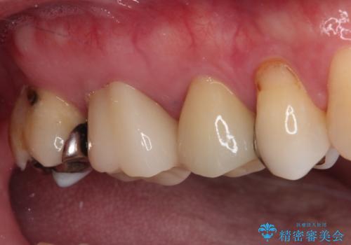
- 奥歯に強い痛みを感じるとのことで来院された患者様です。
診査したところ、既に根管治療されている大臼歯の咬合痛と、神経の残っている手前の小臼歯の強い冷熱痛を認めました。
神経の残っている小臼歯は神経を取り除く必要があったため、速やかに根管治療を行うこととしました。
隣に位置する既に根管治療されている大臼歯は、手前の小臼歯の痛みが波及している可能性も考えられたため、小臼歯の根管治療後に改めて診査をした上で治療方針を定めることとしました。
根管治療を行った後にオールセラミッククラウンにて補綴することとしました。
- 費用(概算)
- 治療費の目安: 45万円(税込)費用は治療当時の料金となります
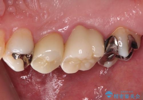
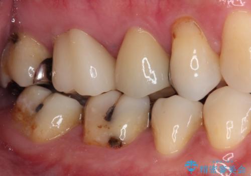
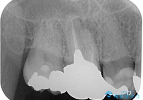
治療について
小臼歯は根管治療後に痛みが引きましたが、隣の大臼歯の痛みは引かなかったため、大臼歯も根管治療を行いました。
根管治療後に痛みは引き、半年後のレントゲン写真では根尖の病変の消失が認められました。
セラミック治療の注意事項(リスク・副作用など)
- 天然歯を削ります
- 硬い素材は天然歯を傷つけてしまう場合があります
- かみ合わせや歯ぎしりが強すぎる方はセラミックが割れてしまう可能性があります
- 自費診療(保険適用外治療)となります
当サイトの内容、テキスト、画像等の無断転載、複製、複写、盗用を固く禁じます。










