症例詳細
Case detail
咬み合わせを治したい インビザラインによる矯正治療
治療症例の内容
- 診療科目
- 治療カテゴリ
- 担当医
- 藤巻太一朗(ドクタープロフィール)
- 患者様
- 40代女性
- 矯正装置
- インビザライン
- 治療期間
- 4年1ヶ月
- 治療回数
- 10-30回
- 治療計画
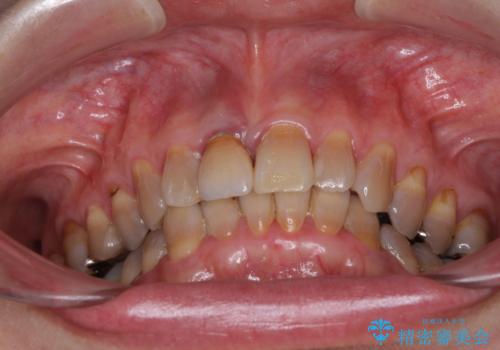
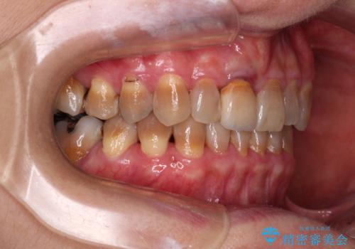
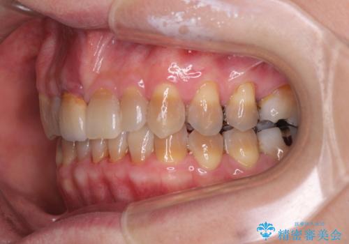
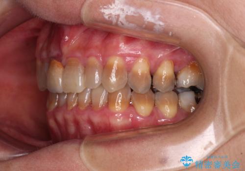
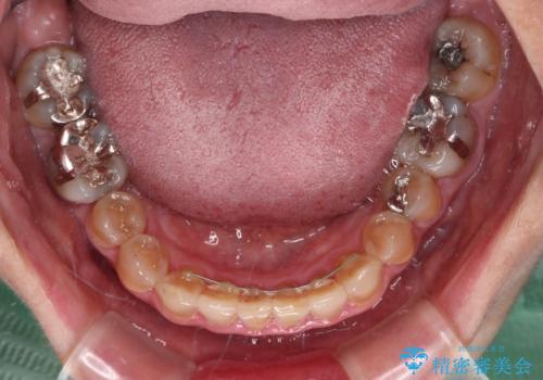
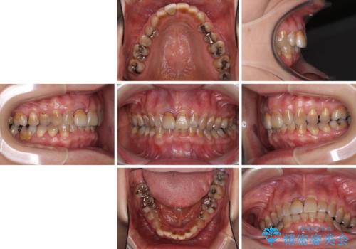
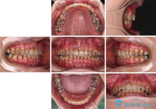
- 前歯のデコボコと、顎に負担のかかる歯並びを改善したいとのことで来院された患者様です。
うまく歯ぎしりができず、強く食いしばりをしてしまう咬み合わせであったため、奥歯に非常に負担がかかっていました。
インビザラインを用いて前歯のデコボコを改善するとともに、奥歯の咬み合わせを変えてスムーズに歯ぎしりできるように排列していくこととしました。
- 費用(概算)
- 治療費の目安: 85万円(税込)費用は治療当時の料金となります
治療について
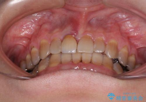
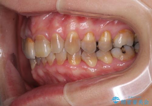
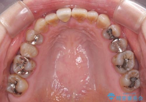
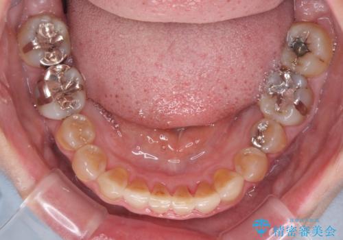
可能であれば上下正中を合わせ、左右の咬み合わせも改善したかったのですが、骨格的な左右差が大きかった上に、インビザラインでは限界があり、達成できませんでした。
それでも奥歯の負担を改善することができました。
マウスピース矯正の注意事項(リスク・副作用など)
- 口腔内・歯並びの状態によっては対応できない場合があります
- マウスピース型矯正装置の長時間装着(1日20時間以上)が必須です
- 治療計画通りに進めるためには、患者様の意志が重要になります
- 矯正治療後の保定が不十分だと後戻り(元の位置に戻ろうとする動き)をします
- 薬機法対象外の矯正歯科装置のため医薬品副作用被害救済制度の対象外となる場合があります
- 自費診療(保険適用外)となります
当サイトの内容、テキスト、画像等の無断転載、複製、複写、盗用を固く禁じます。



























