症例詳細
Case detail
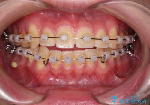
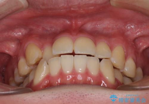
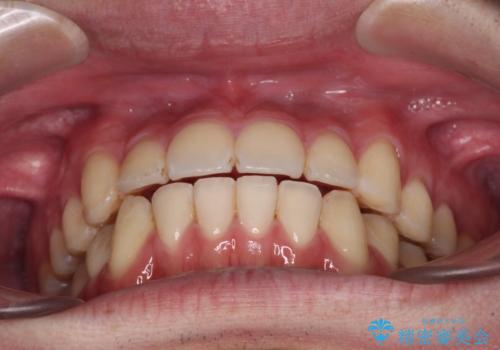
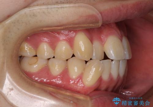
八重歯と前歯のクロスバイト ワイヤー装置で短期間矯正
治療症例の内容
- 診療科目
- 担当医
- 藤巻太一朗(ドクタープロフィール)
- 患者様
- 20代男性
- 矯正装置
- クリアブラケット
- 治療期間
- 1年4ヶ月
- 治療回数
- 10-30回
- 治療計画
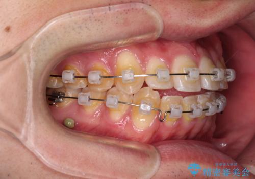
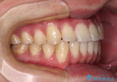
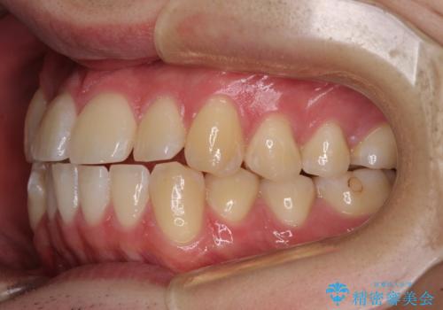
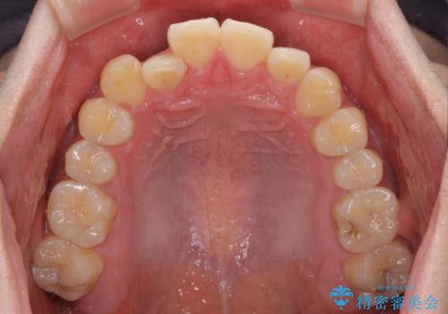
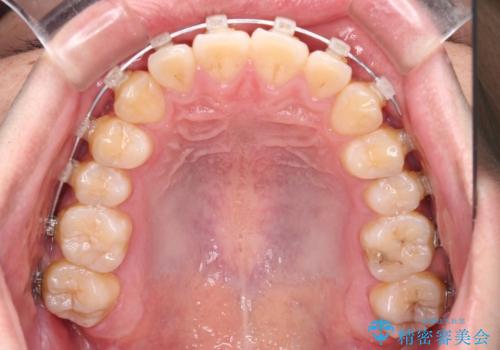
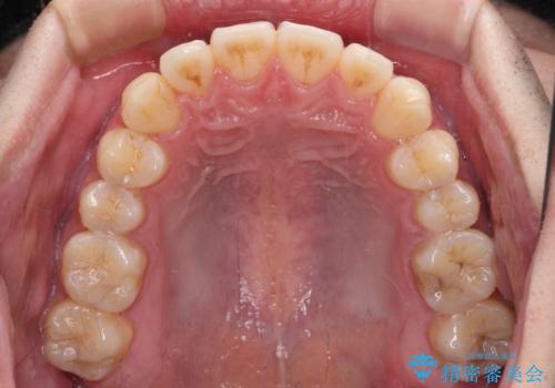
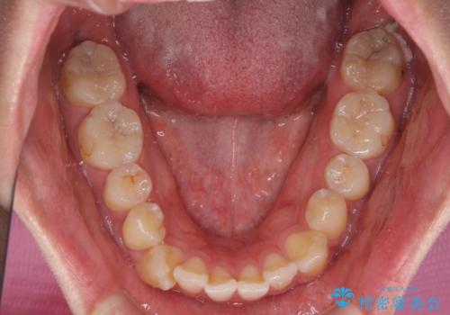
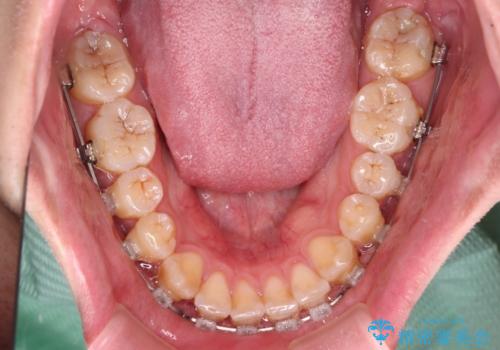
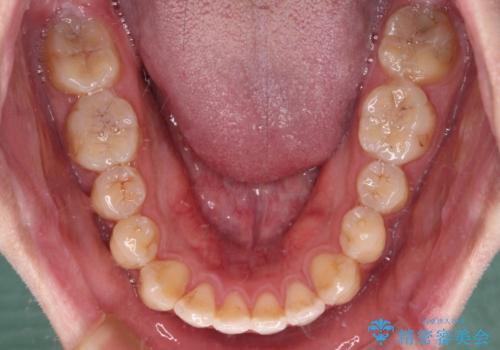
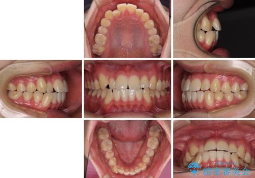
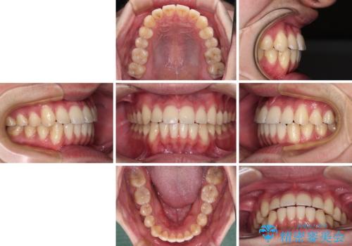
- 八重歯を気にして来院された患者様です。
上顎側切歯(前から2番目の歯)が内側に転位している歯列は、インビザラインでは排列が困難であることが多いため、期間を短く、より良い仕上がりとするため、ワイヤー装置にて矯正治療を行うこととしました。
- 費用(概算)
- 治療費の目安: 95万円(税込)費用は治療当時の料金となります
治療について
治療開始の頃は、食事や歯磨きが慣れず、装置が頻繁に脱落しましたが、2,3ヶ月ほどで慣れ、その後は1年ほどで治療を終えることができました。
ワイヤー矯正の注意事項(リスク・副作用など)
- 治療中は違和感や痛みが起こることがあります
- 症状により、抜歯が必要な場合があります
- 治療中は歯磨きがしにくくなるため、虫歯や歯周病になりやすくなります
- 矯正治療後の保定が不十分だと後戻り(元の位置に戻ろうとする動き)をします
- 自費診療(保険適用外)となります
当サイトの内容、テキスト、画像等の無断転載、複製、複写、盗用を固く禁じます。


























