症例詳細
Case detail
口がしっかりと閉じられない ワイヤー装置での抜歯矯正で出っ歯を改善
治療症例の内容
- 診療科目
- 治療カテゴリ
- 担当医
- 藤巻太一朗(ドクタープロフィール)
- 患者様
- 20代女性
- 矯正装置
- 審美装置
- 治療期間
- 4年5ヶ月
- 治療回数
- 10-30回
- 治療計画
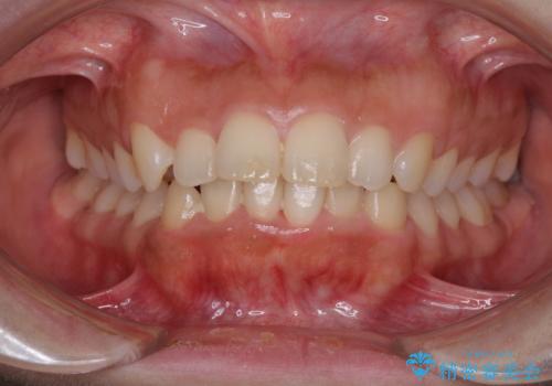
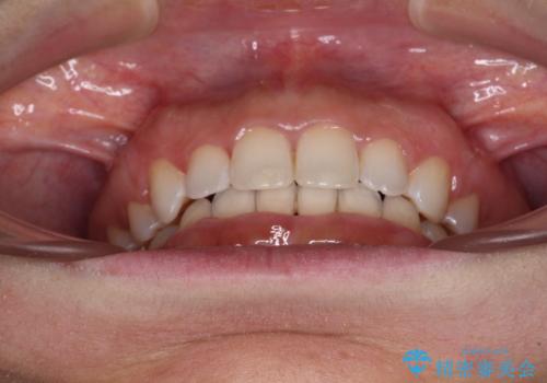
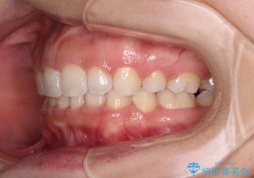
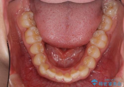
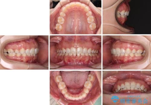
- 口元の突出感と口の閉じにくさを気にして来院された患者様です。
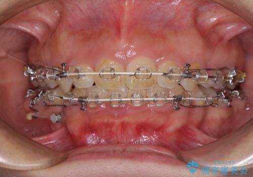
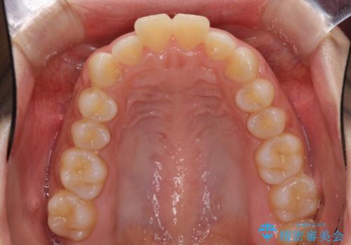
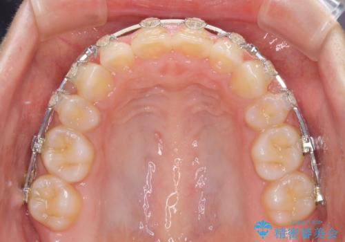
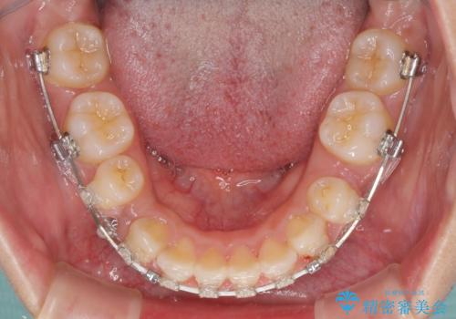
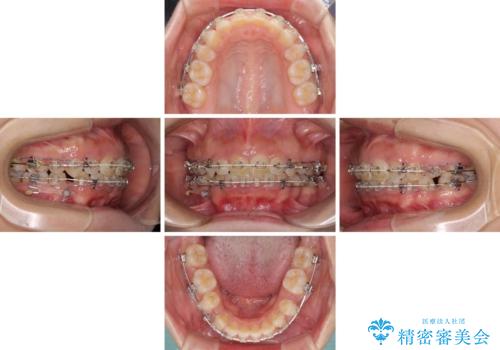
上下左右の小臼歯4本を抜歯し、ワイヤー装置にて口元を引っ込めるよう矯正治療を行うこととしました。
- 費用(概算)
- 治療費の目安: 105万円(税込)費用は治療当時の料金となります
治療について
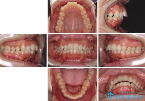
上下顎ともに前突しており、特に上顎は著しい突出感でした。
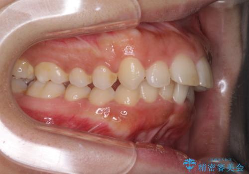
また、下顎歯列には左右差があり、非対称な抜歯が必要と判断されたため、治療は困難なものとなりました。
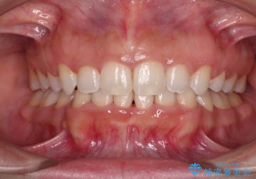
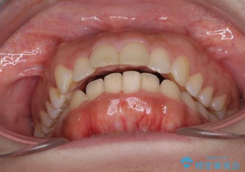
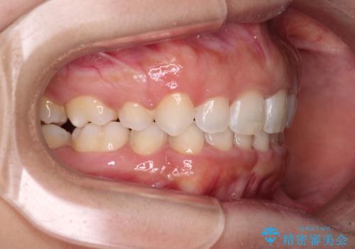
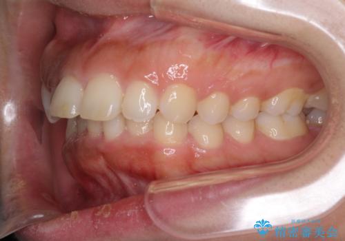
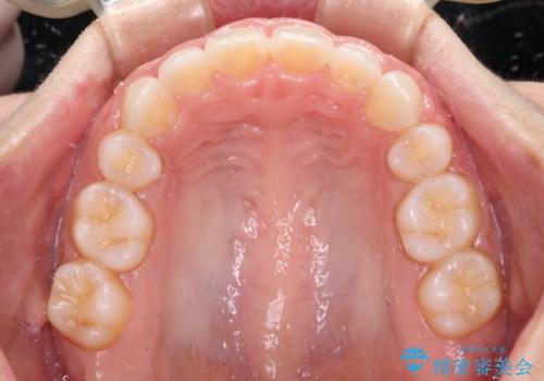
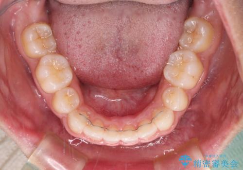
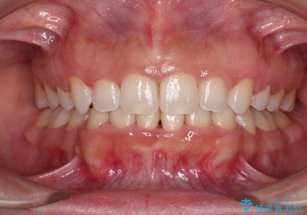
それでも根気強く通院してくださり、横からの顔貌の印象が大きく改善され、スムーズに口が閉じられるようになりました。
ワイヤー矯正の注意事項(リスク・副作用など)
- 治療中は違和感や痛みが起こることがあります
- 症状により、抜歯が必要な場合があります
- 治療中は歯磨きがしにくくなるため、虫歯や歯周病になりやすくなります
- 矯正治療後の保定が不十分だと後戻り(元の位置に戻ろうとする動き)をします
- 自費診療(保険適用外)となります
当サイトの内容、テキスト、画像等の無断転載、複製、複写、盗用を固く禁じます。


























