症例詳細
Case detail
【モニター】気になる八重歯を素早く改善 ワイヤー装置での抜歯矯正
治療症例の内容
- 診療科目
- 担当医
- 藤巻太一朗(ドクタープロフィール)
- 患者様
- 20代女性
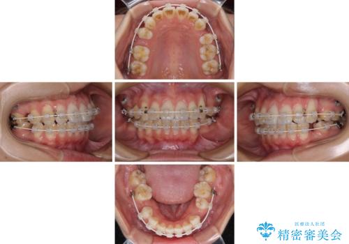
- 矯正装置
- 審美装置
- 治療期間
- 1年11ヶ月
- 治療回数
- 10-30回
- 治療計画
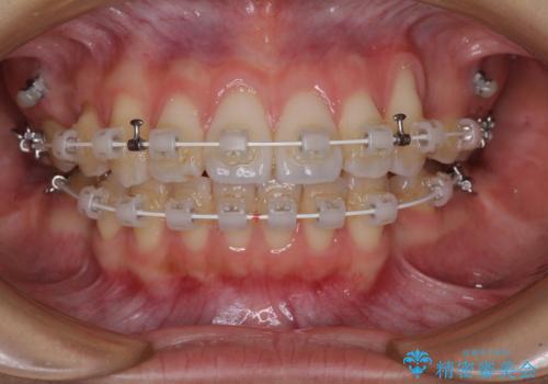
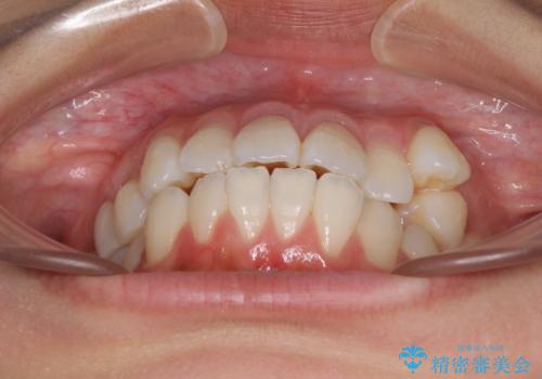
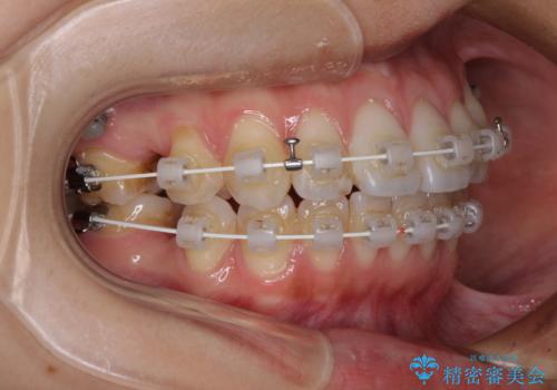
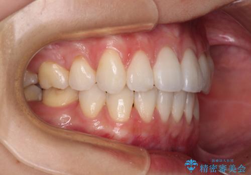
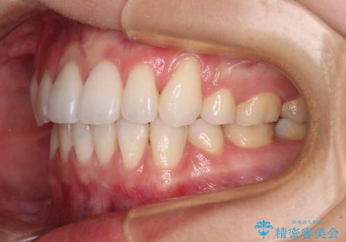
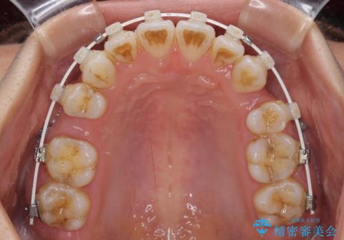
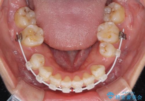
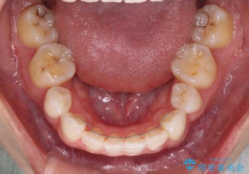
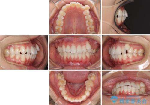
- 八重歯と口元の突出感を気にして来院された患者様です。
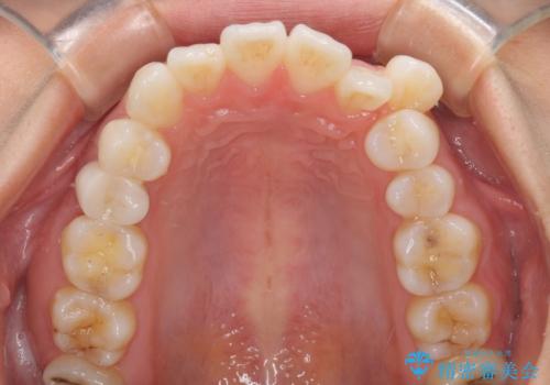
歯列が前方に突出しており、上下の正中がズレていたため、左側は上下第一小臼歯を、右側は上下第二小臼歯を抜去し、ワイヤー装置による矯正治療を行うこととしました。
- 費用(概算)
- 治療費の目安: 105万円(税込)費用は治療当時の料金となります
※顔写真掲載にあたり、患者様の了解を得ております
治療について
当初はインビザラインによる矯正治療をご希望でしたが、正中を合わせたいことや、口元の突出感を改善したいことから、ワイヤー矯正を強く推奨しました。
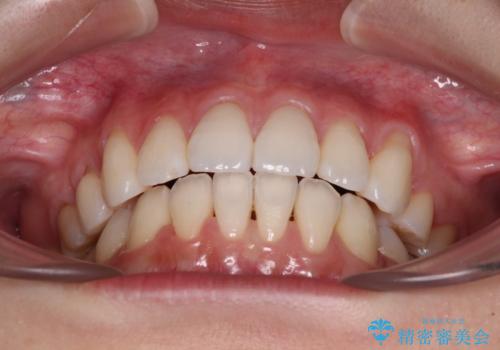
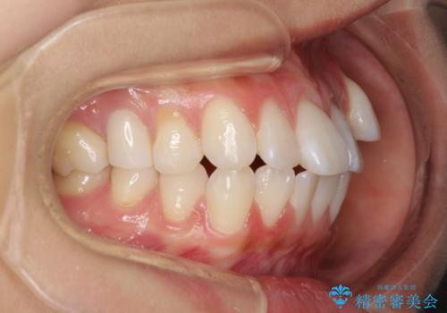
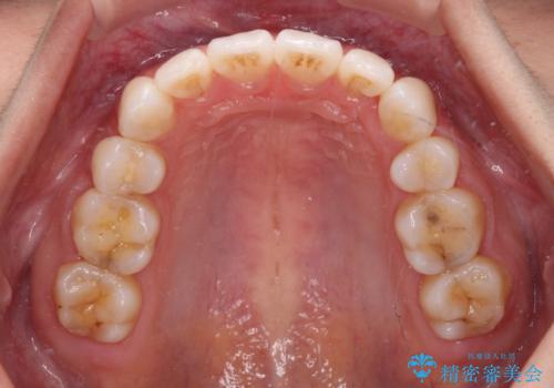
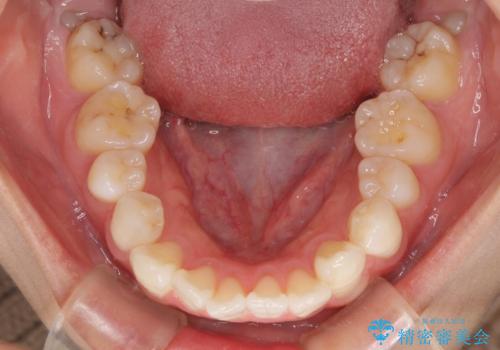
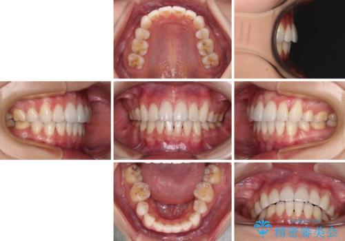
治療期間は2年に満たず、スッキリとした口元に仕上がりました。
ワイヤー矯正の注意事項(リスク・副作用など)
- 治療中は違和感や痛みが起こることがあります
- 症状により、抜歯が必要な場合があります
- 治療中は歯磨きがしにくくなるため、虫歯や歯周病になりやすくなります
- 矯正治療後の保定が不十分だと後戻り(元の位置に戻ろうとする動き)をします
- 自費診療(保険適用外)となります
当サイトの内容、テキスト、画像等の無断転載、複製、複写、盗用を固く禁じます。


























