症例詳細
Case detail
奥歯が欠けてしまった オールセラミッククラウンによる補綴治療
治療症例の内容
- 診療科目
 
- 治療カテゴリ
 
- 担当医
 - 齋藤佑磨(ドクタープロフィール)
 
- 患者様
 - 30代女性
 
- 治療期間
 - 1ヶ月
 
- 治療回数
 - 2-5回
 
- 治療計画
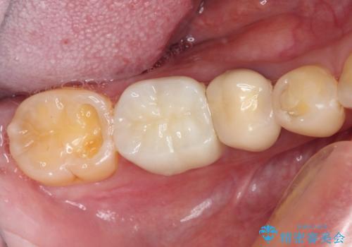
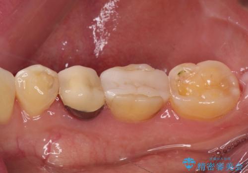
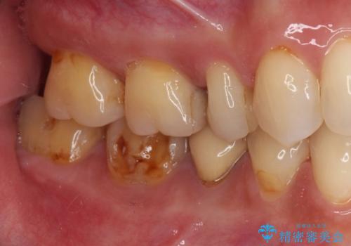
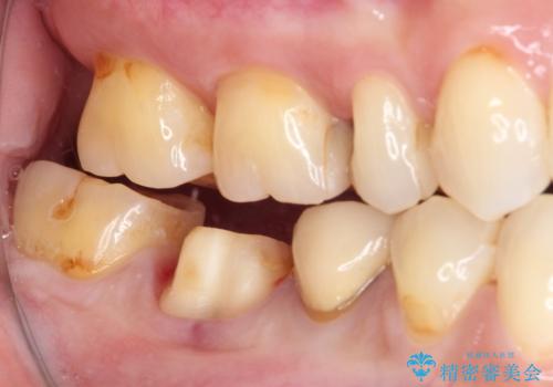
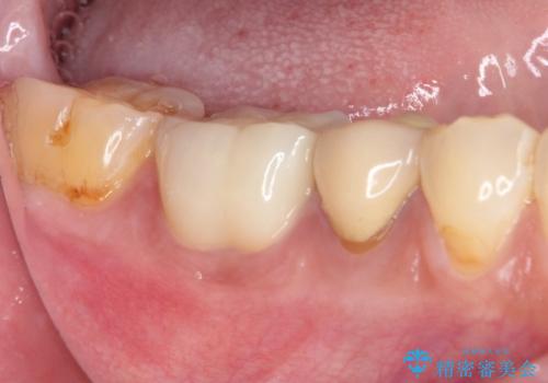
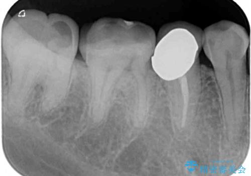
 - 奥歯が欠けてしまった事を主訴として来院した患者様です。
頬側の欠けている範囲が大きく、以前治療した詰め物も大きいため、詰め物を外してむし歯を除去し、
形を整えて一度仮歯に置き換え、フルジルコニアクラウンにて補綴しました。 
- 費用(概算)
 - 9万円(税込)費用は治療当時の料金となります
 
治療について
高強度のフルジルコニアクラウンは、強いかみ合わせでも壊れにくいです。
また審美的にも満足していただけました。
セラミック治療の注意事項(リスク・副作用など)
- 天然歯を削ります
 - 硬い素材は天然歯を傷つけてしまう場合があります
 - かみ合わせや歯ぎしりが強すぎる方はセラミックが割れてしまう可能性があります
 - 自費診療(保険適用外治療)となります
 
当サイトの内容、テキスト、画像等の無断転載、複製、複写、盗用を固く禁じます。

                      
                                                          












