症例詳細
Case detail
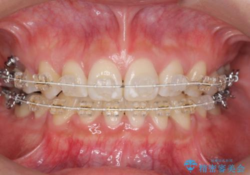
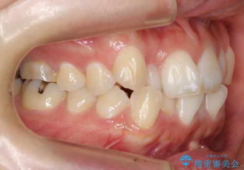
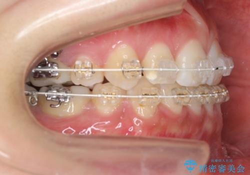
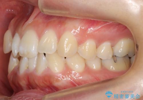
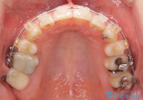
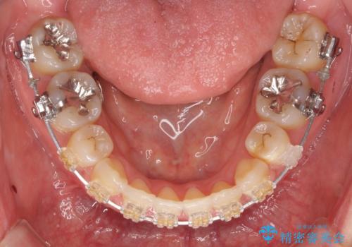
真ん中が右にずれている 前歯のがたつき 治療途中に地方へ引っ越したが、通ってワイヤー矯正
治療症例の内容
- 担当医
- 井上季実子(ドクタープロフィール)
- 患者様
- 30代女性
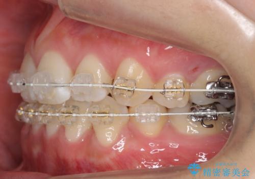
- 矯正装置
- ワイヤー矯正
- 治療期間
- 4年3ヶ月
- 治療回数
- 10-30回
- 治療計画
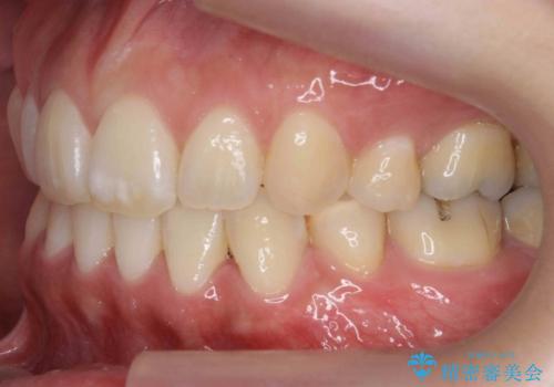
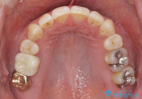
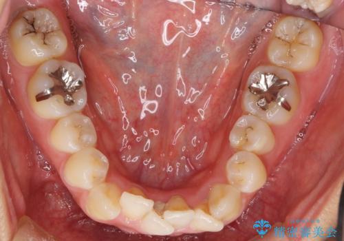
- 前歯のがたつきを主訴に来院。
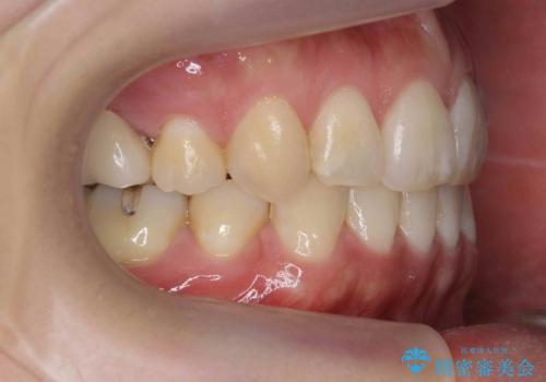
前歯のクロスバイト、上の前歯の正中が右にずれていました。
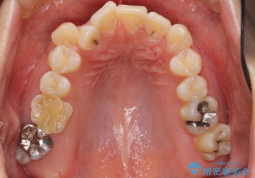
右上の奥歯の高さもない状態でしたが、矯正治療が終わってからしっかりかぶせました。
上下左右の小臼歯を抜歯しています。
- 費用(概算)
- 110万円費用は治療当時の料金となります
治療について
治療の後半に地方に転居され、2か月に一回の調整となり結果、治療期間がかかりました。
通院はしっかりしていただいたため、無事終了することができました。
ワイヤー矯正の注意事項(リスク・副作用など)
- 治療中は違和感や痛みが起こることがあります
- 症状により、抜歯が必要な場合があります
- 治療中は歯磨きがしにくくなるため、虫歯や歯周病になりやすくなります
- 矯正治療後の保定が不十分だと後戻り(元の位置に戻ろうとする動き)をします
- 自費診療(保険適用外)となります
当サイトの内容、テキスト、画像等の無断転載、複製、複写、盗用を固く禁じます。

















