症例詳細
Case detail
放置した虫歯 精密な治療の希望
治療症例の内容
- 診療科目
- 担当医
- 大元洋佑(ドクタープロフィール)
- 患者様
- 40代女性
- 治療期間
- 1ヶ月
- 治療回数
- 2-5回
- 治療計画
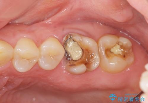
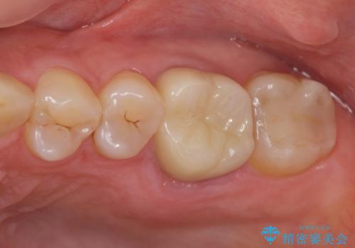
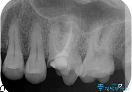
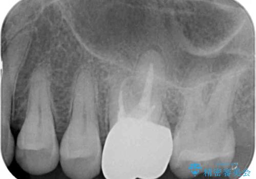
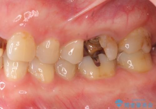
- 銀歯が取れたのち放置してしまいセラミック治療を希望され来院されました。
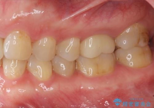
虫歯の再発も見られたので、丁寧に虫歯を取り除いたのち根管治療を行いジルコニアクラウン・セラミックインレーにより修復処置を行いました。
- 費用(概算)
- 19.8万円(仮歯・ジルコニアクラウン・セラミックインレー)費用は治療当時の料金となります
治療について
詰め物が取れたのち放置すると、食べ物が挟まりやすくなったりプラークが溜まりやすくなるので虫歯の再発リスクが高まります。
早期の治療が肝要です。
セラミック治療の注意事項(リスク・副作用など)
- 天然歯を削ります
- 硬い素材は天然歯を傷つけてしまう場合があります
- かみ合わせや歯ぎしりが強すぎる方はセラミックが割れてしまう可能性があります
- 自費診療(保険適用外治療)となります
当サイトの内容、テキスト、画像等の無断転載、複製、複写、盗用を固く禁じます。







