症例詳細
Case detail
前歯の目立ったすき間 マウスピース矯正で目立たなくします
治療症例の内容
- 担当医
- 井上季実子(ドクタープロフィール)
- 患者様
- 20代男性
- 矯正装置
- インビザライン
- 治療期間
- 8ヶ月
- 治療回数
- 2-5回
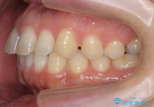
- 治療計画
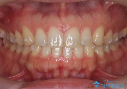
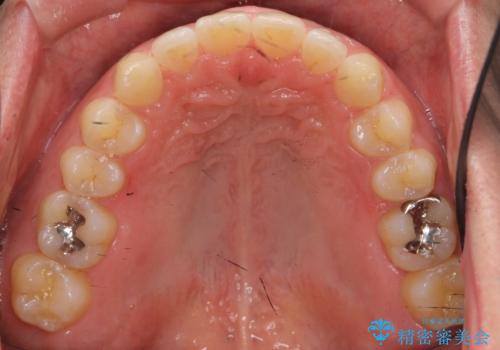
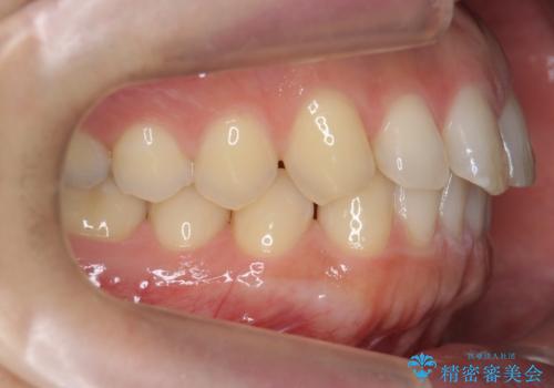
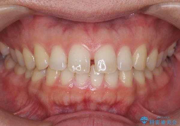
- 前歯のすき間を気にして来院。
マウスピース矯正で治療しました。
前歯が咬みこんでいて、上の方がすき間が大きい場合は、すき間を閉じるのは簡単ではありません。
横に寄せるだけであれば単純ですが、そうすると、すき間が移動するだけになるだけになるためです。
上の歯のすき間を全部閉じきるには、下の歯の位置のコントロールも大変重要です。
そのあたりのご理解を得られにくく、治療は簡単ではない、というのを納得していただくのに苦労しました。
- 費用(概算)
- 93.5万円費用は治療当時の料金となります
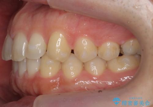
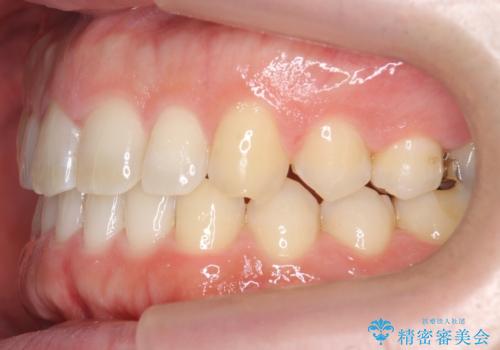
治療について
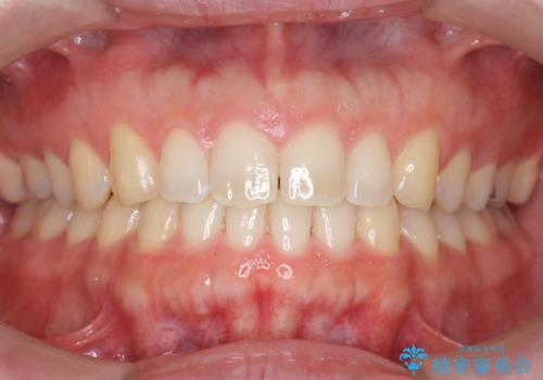
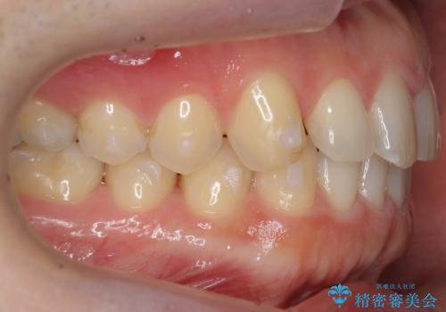
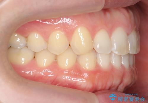
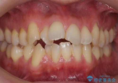
前歯の根本が閉じていて若干尖端の方がすき間がある仕上がりです。
リファインメント(マウスピースの延長)を行うことをお勧めしましたが、もう満足とのことで治療終了となりました。
根本が閉じて接している場合は、接しているところを削らないともっと寄せることは難しいです。
マウスピース矯正の注意事項(リスク・副作用など)
- 口腔内・歯並びの状態によっては対応できない場合があります
- マウスピース型矯正装置の長時間装着(1日20時間以上)が必須です
- 治療計画通りに進めるためには、患者様の意志が重要になります
- 矯正治療後の保定が不十分だと後戻り(元の位置に戻ろうとする動き)をします
- 薬機法対象外の矯正歯科装置のため医薬品副作用被害救済制度の対象外となる場合があります
- 自費診療(保険適用外)となります
当サイトの内容、テキスト、画像等の無断転載、複製、複写、盗用を固く禁じます。
















