症例詳細
Case detail
【ワイヤー矯正】前歯の凸凹を治したい。
治療症例の内容
- 担当医
- 河口智英(ドクタープロフィール)
- 患者様
- 20代男性
- 矯正装置
- 審美装置
- 治療期間
- 1年6ヶ月
- 治療回数
- 10-30回
- 治療計画
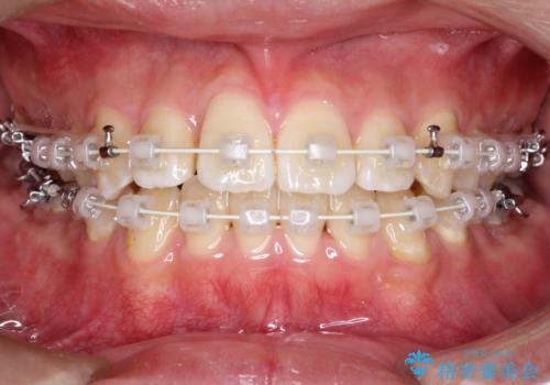
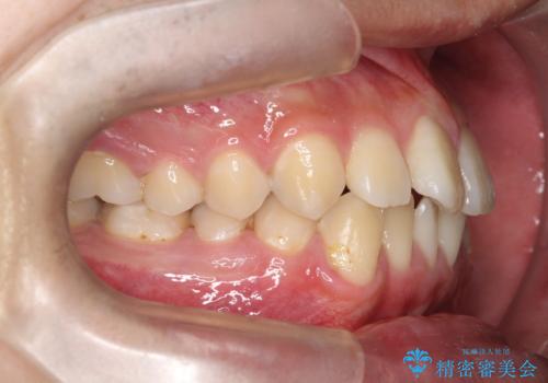
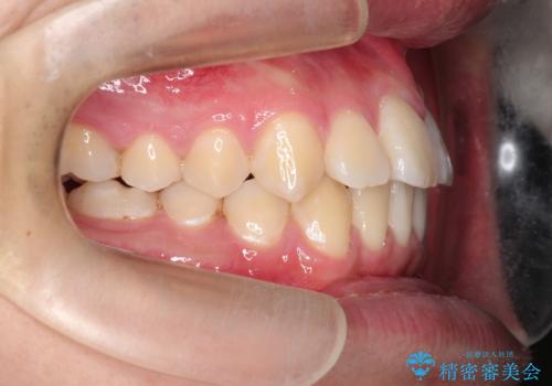
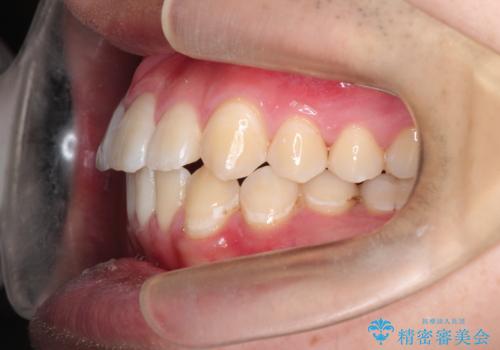
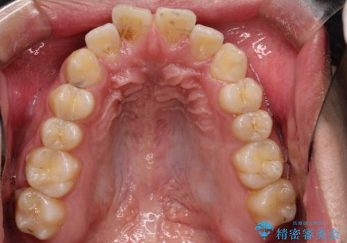
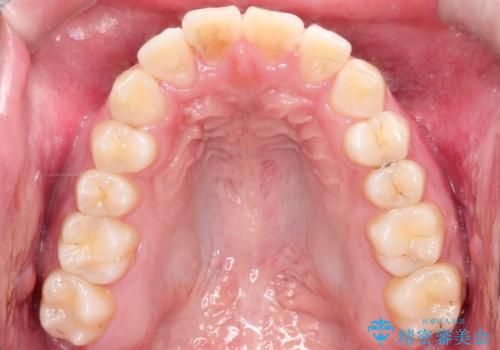
- 前歯の凸凹を主訴に来院されました。
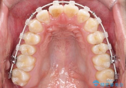
患者様がマウスピース矯正の使用時間に不安があるため、ワイヤー矯正にて治療を行なっております。
- 費用(概算)
- 85万円費用は治療当時の料金となります
治療について
ワイヤー矯正は使用時間の制約がないため、マウスピースの装着管理が苦手な人には向いています。
ワイヤー矯正の注意事項(リスク・副作用など)
- 治療中は違和感や痛みが起こることがあります
- 症状により、抜歯が必要な場合があります
- 治療中は歯磨きがしにくくなるため、虫歯や歯周病になりやすくなります
- 矯正治療後の保定が不十分だと後戻り(元の位置に戻ろうとする動き)をします
- 自費診療(保険適用外)となります
当サイトの内容、テキスト、画像等の無断転載、複製、複写、盗用を固く禁じます。















