症例詳細
Case detail
【オールセラミッククラウン】ダイレクトボンディングからのやりかえ
治療症例の内容
- 診療科目
- 治療カテゴリ
- 担当医
- 河口智英(ドクタープロフィール)
- 患者様
- 40代女性
- 治療期間
- 1年
- 治療回数
- 2-5回
- 治療計画
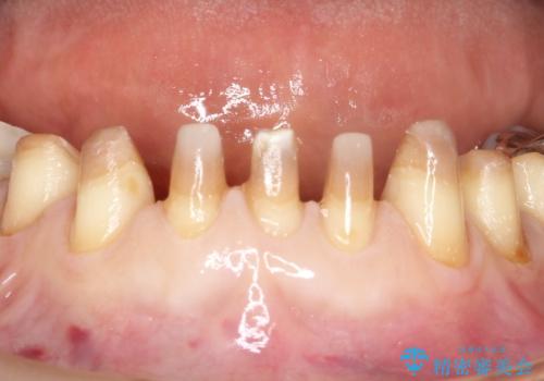
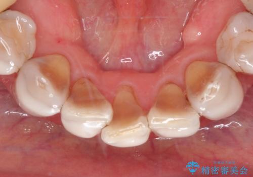
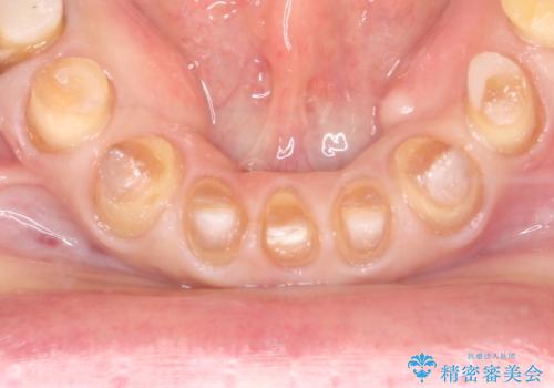
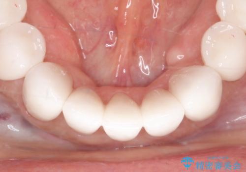
- 昔、他院で治療したダイレクトボンディング(歯の表面にだけ白い材料を盛る治療)のやりかえを主訴に来院されました。叢生の改善も同時に行うためにオールセラミッククラウンにより治療を行いました。
- 費用(概算)
- 35万円費用は治療当時の料金となります
治療について
再治療を避けるため、適合精度にこだわり治療を行なっております。
ダイレクトボンディングでの治療より、天然歯に近い見た目を再現することができます。
セラミック治療の注意事項(リスク・副作用など)
- 天然歯を削ります
- 硬い素材は天然歯を傷つけてしまう場合があります
- かみ合わせや歯ぎしりが強すぎる方はセラミックが割れてしまう可能性があります
- 自費診療(保険適用外治療)となります
当サイトの内容、テキスト、画像等の無断転載、複製、複写、盗用を固く禁じます。








