症例詳細
Case detail
前歯2本の着色が気になる、、、セラミック治療
治療症例の内容
- 診療科目
- 治療カテゴリ
- 担当医
- 菊地俊介(ドクタープロフィール)
- 患者様
- 30代女性
- 治療期間
- 2ヶ月
- 治療回数
- 2-5回
- 治療計画
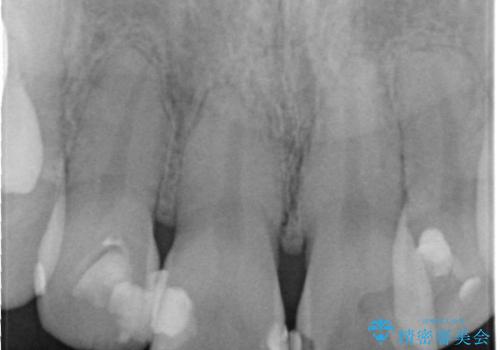
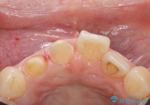
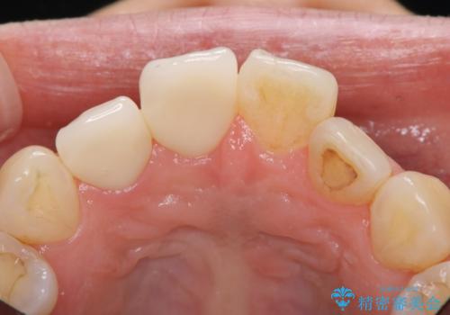
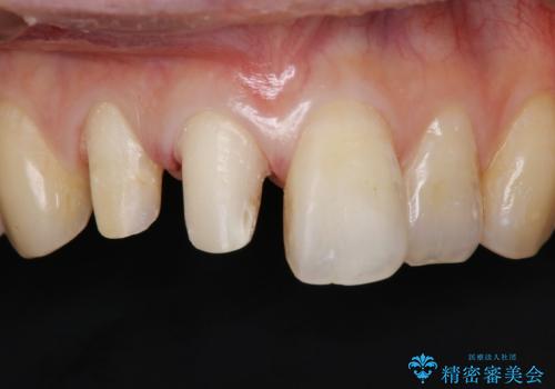
- 昔治療したプラスチックの材料が目立つから、セラミックで被せたいということを主訴で来院された患者様です。
虫歯治療をし、仮歯を制作し、オールセラミック(スタンダード)にて治療させていただきました。
- 費用(概算)
- 24.2万円費用は治療当時の料金となります
治療について
虫歯治療
仮歯 2本 2万円 税別
オールセラミッククラウン(スタンダード)2本 20万円 税別
セラミック治療の注意事項(リスク・副作用など)
- 天然歯を削ります
- 硬い素材は天然歯を傷つけてしまう場合があります
- かみ合わせや歯ぎしりが強すぎる方はセラミックが割れてしまう可能性があります
- 自費診療(保険適用外治療)となります
当サイトの内容、テキスト、画像等の無断転載、複製、複写、盗用を固く禁じます。









