症例詳細
Case detail
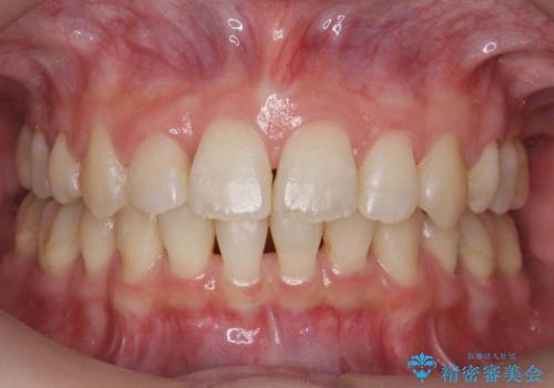
【難症例】歯並びが悪く、虫歯の治療ができない 矯正治療からスタート
治療症例の内容
- 担当医
- 井上季実子(ドクタープロフィール)
- 患者様
- 20代女性
- 治療期間
- 3年10ヶ月
- 治療回数
- 10-30回
- 治療計画
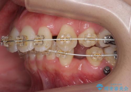
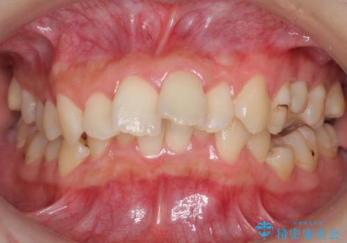
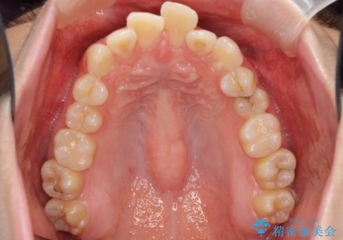
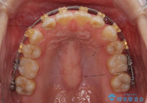
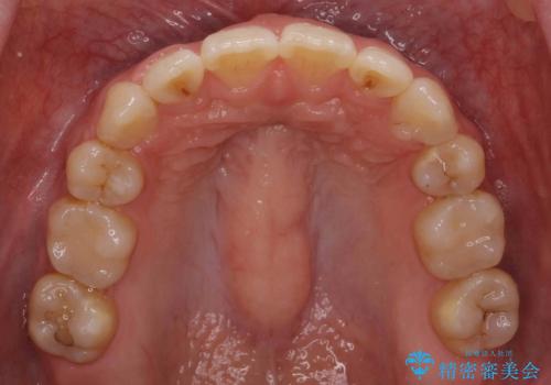
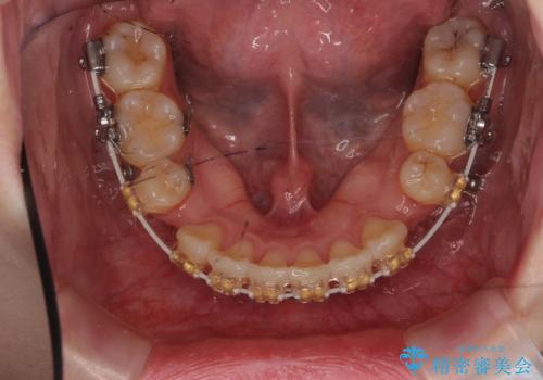
- 虫歯治療を担当した先生からの紹介。
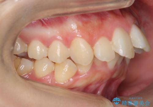
左上の小臼歯が込み合っており、虫歯治療が厳しい状態でした。
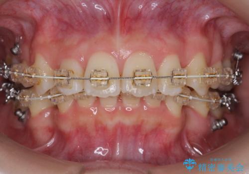
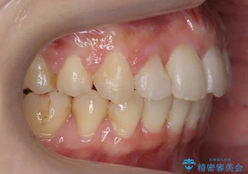
矯正治療をおすすめし、ちょうど虫歯がひどい歯は抜歯して前歯を下げました。
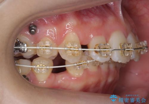
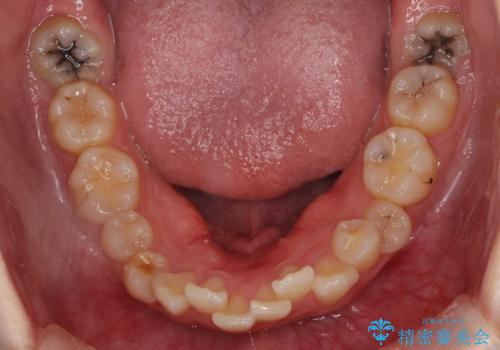
下顎の大臼歯が前に倒れこんでいたため、矯正用ミニスクリューで後ろに起こしています。
- 費用(概算)
- 131万円費用は治療当時の料金となります
治療について
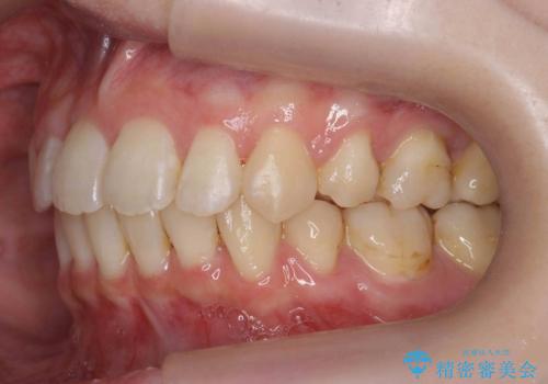
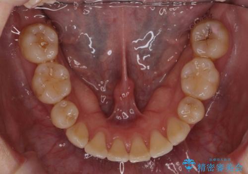
治療の難易度としてはかなり高めでしたが、無事終了することができました。
ワイヤー矯正の注意事項(リスク・副作用など)
- 治療中は違和感や痛みが起こることがあります
- 症状により、抜歯が必要な場合があります
- 治療中は歯磨きがしにくくなるため、虫歯や歯周病になりやすくなります
- 矯正治療後の保定が不十分だと後戻り(元の位置に戻ろうとする動き)をします
- 自費診療(保険適用外)となります
当サイトの内容、テキスト、画像等の無断転載、複製、複写、盗用を固く禁じます。





















