症例詳細
Case detail
転んで前歯が折れた 前歯のジルコニアブリッジ治療
治療症例の内容
- 診療科目
- 治療カテゴリ
- 担当医
- 大元洋佑(ドクタープロフィール)
- 患者様
- 60代女性
- 治療期間
- 5ヶ月
- 治療回数
- 2-5回
- 治療計画
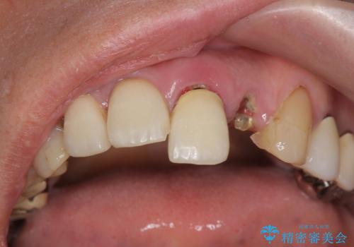
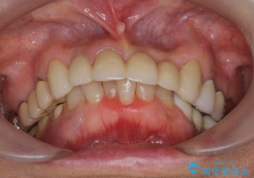
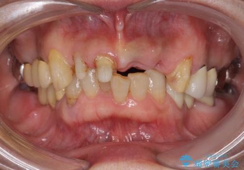
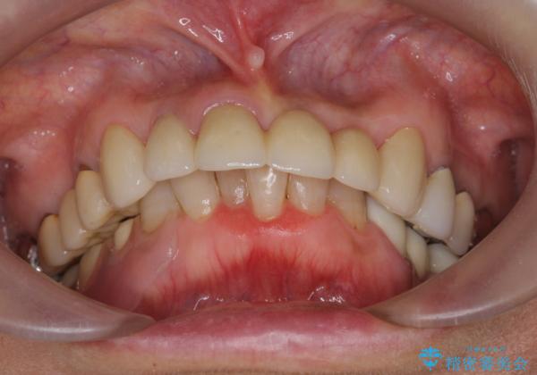
- 歩行中に躓いて転倒し、前歯2本がグラグラになってしまい痛み・審美性の改善を求めて来院されました。
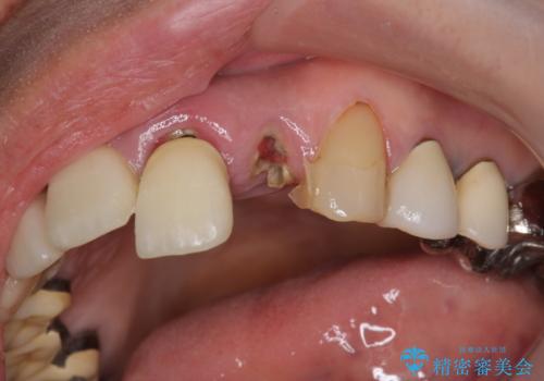
X線検査・視診より強くぶつけた前歯は折れてしまい、抜歯が必要な状況です。
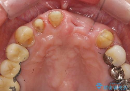
抜歯後の見た目改善として深い咬合関係であることからインプラントは避け、ブリッジで補綴治療を行っていくこととしました。
- 費用(概算)
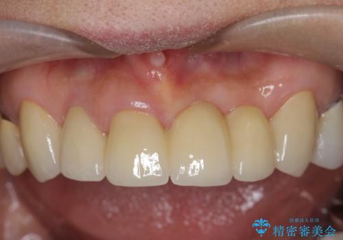
- 72.6万円(仮歯・ジルコニアクラウン×6)費用は治療当時の料金となります
治療について
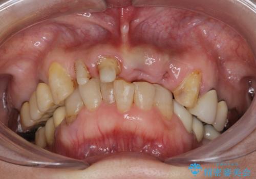
元々の噛み合わせが深く(ディープバイト)、転んで顎を強打したことで上顎前歯2本が根元から折れてしまい抜歯をしなければいけない状況となってしまいました。
今後前歯への負担を減らすためにナイトガードマウスピースを使用していただき歯の保存に努めていきます。
セラミック治療の注意事項(リスク・副作用など)
- 天然歯を削ります
- 硬い素材は天然歯を傷つけてしまう場合があります
- かみ合わせや歯ぎしりが強すぎる方はセラミックが割れてしまう可能性があります
- 自費診療(保険適用外治療)となります
当サイトの内容、テキスト、画像等の無断転載、複製、複写、盗用を固く禁じます。












