症例詳細
Case detail
裏側装置による抜歯矯正
治療症例の内容
- 診療科目
- 治療カテゴリ
- 担当医
- 藤巻太一朗(ドクタープロフィール)
- 患者様
- 20代男性
- 矯正装置
- 裏側装置(フルリンガル)
- 治療期間
- 3年6ヶ月
- 治療回数
- 10-30回
- 治療計画
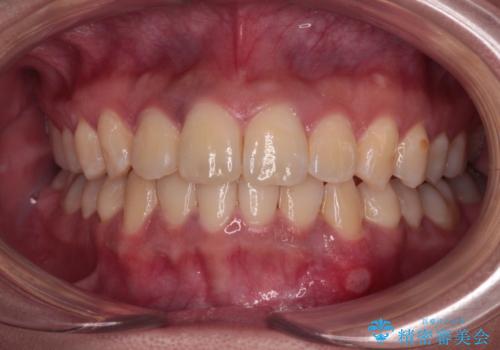
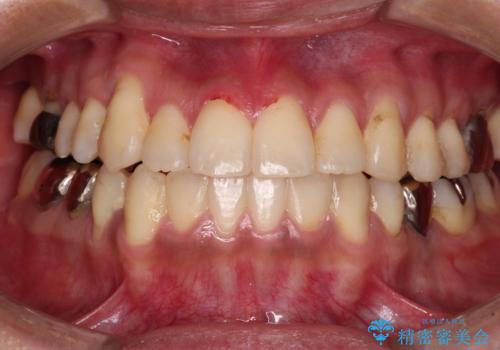
- 前歯のでこぼこと、やや口が閉じにくいことを気にして来院された患者様です。
上下左右の第一小臼歯4歯を抜歯し、歯列を整えながら第二大臼歯のクロスバイトを解除していくこととしました。
治療期間の目安:2.5~3年
- 費用(概算)
- 治療費の目安: 120万円費用は治療当時の料金となります
治療を終えて
抜歯矯正での裏側装置特有の歯の傾斜を改善するために1年以上を要し、結果として3年半もの期間がかかってしまいました。
就職活動中や就職後も辛抱強く通院していただいたおかげで、患者様に満足いただける仕上がりとすることができました。
リスクについて
矯正治療は後戻りのリスクがあります。
ワイヤー矯正の注意事項(リスク・副作用など)
- 治療中は違和感や痛みが起こることがあります
- 症状により、抜歯が必要な場合があります
- 治療中は歯磨きがしにくくなるため、虫歯や歯周病になりやすくなります
- 矯正治療後の保定が不十分だと後戻り(元の位置に戻ろうとする動き)をします
- 自費診療(保険適用外)となります
当サイトの内容、テキスト、画像等の無断転載、複製、複写、盗用を固く禁じます。








