症例詳細
Case detail
飛び出した前歯が気になる! 前歯のガタガタを抜歯をせずに治した症例
治療症例の内容
- 担当医
- 奥村高広(ドクタープロフィール)
- 患者様
- 30代女性
- 矯正装置
- 審美装置(ブラケット:白/ワイヤー:白)
- 治療期間
- 2年5ヶ月
- 治療回数
- 10-30回
- 治療計画
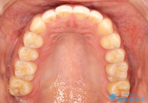
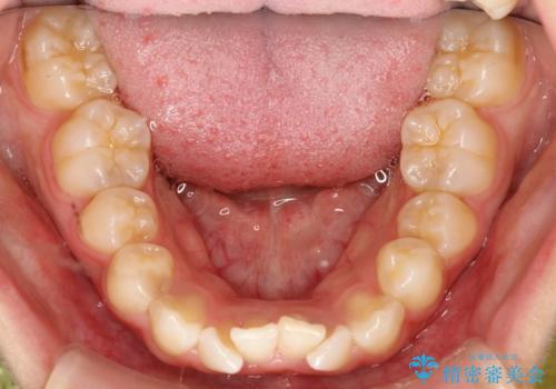
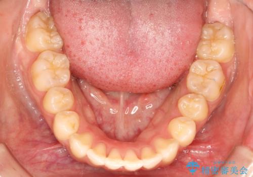
- 前歯の歯並びの改善を希望され来院された患者様です。
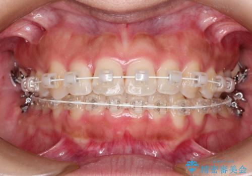
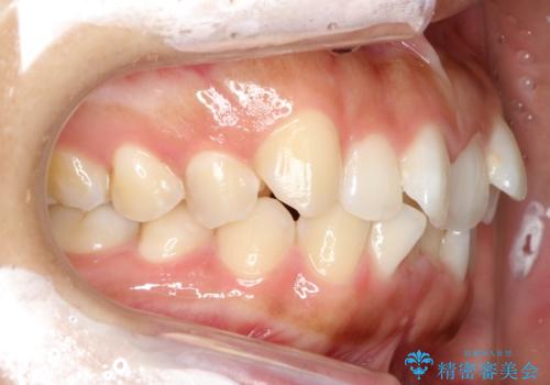
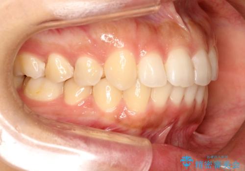
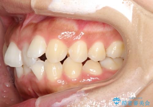
初診時の歯並びの状態としては、上下ともに前歯部の中等度のがたつきがあり、特に左上の前歯(2番目)が大きく外側に飛び出ている状態でした。
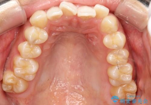
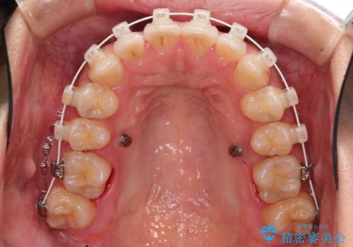
抜歯は行わず表側のワイヤー矯正にて治療を行いました。上顎は主に歯列弓の拡大及び奥歯の後ろのスペースを利用し、下顎は歯列弓の拡大と、歯のスライス(ディスキング)を行い、前歯の排列を行いました。
- 費用(概算)
- 91万6千円費用は治療当時の料金となります
治療について
当院では、模型分析やレントゲン分析のデータを基に治療方針を決めています。複数治療の選択肢がある場合は、すべての可能性ある治療方針を丁寧にご説明し、患者様のご意向に沿ったプランを選択するよう心がけております。
また、矯正治療を行うにあたり、虫歯や歯周病の検査も実施し、要治療部位は、矯正前に適切に処置いたします。
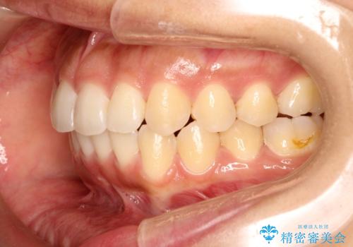
見た目、嚙み合わせ及び、治療期間や施術内容に大変ご満足いただきました。
ワイヤー矯正の注意事項(リスク・副作用など)
- 治療中は違和感や痛みが起こることがあります
- 症状により、抜歯が必要な場合があります
- 治療中は歯磨きがしにくくなるため、虫歯や歯周病になりやすくなります
- 矯正治療後の保定が不十分だと後戻り(元の位置に戻ろうとする動き)をします
- 自費診療(保険適用外)となります
当サイトの内容、テキスト、画像等の無断転載、複製、複写、盗用を固く禁じます。

















