症例詳細
Case detail
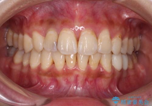
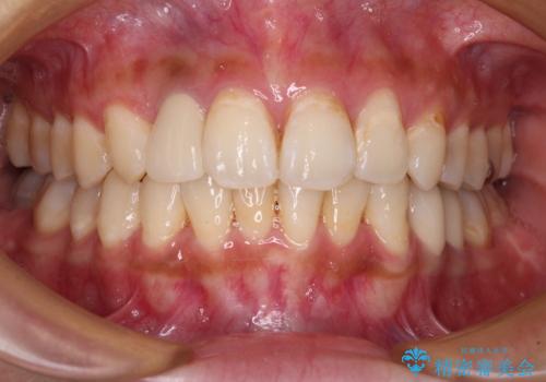
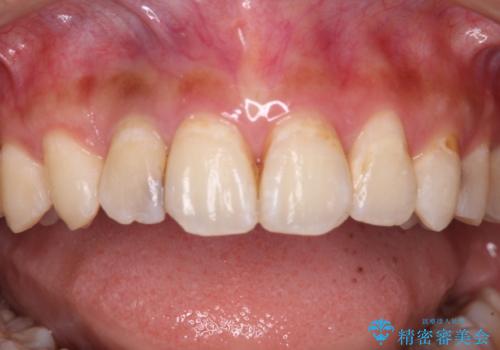
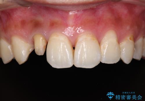
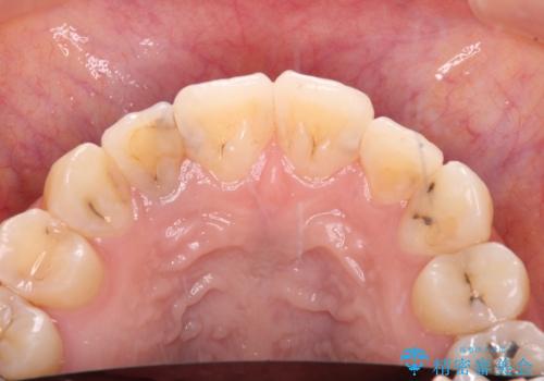
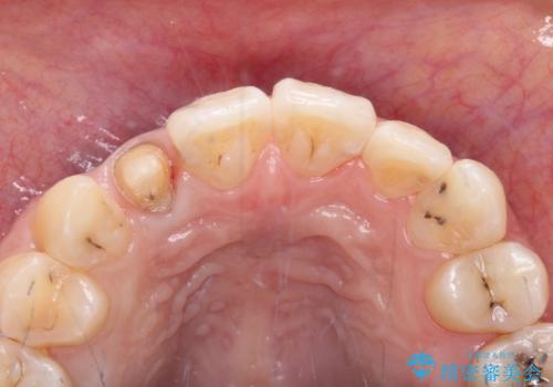
以前治療した前歯をきれいに治したい オールセラミッククラウン
治療症例の内容
- 診療科目
- 治療カテゴリ
- 担当医
- 齋藤佑磨(ドクタープロフィール)
- 患者様
- 20代女性
- 治療期間
- 1ヶ月
- 治療回数
- 2-5回
- 治療計画
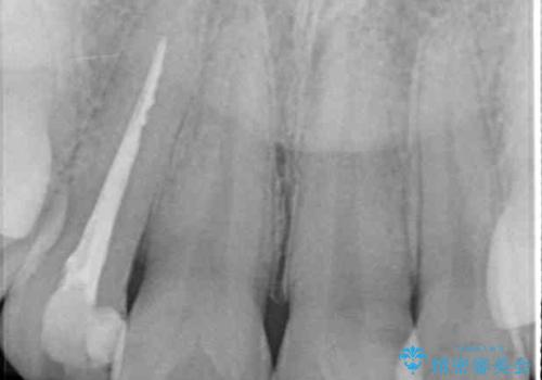
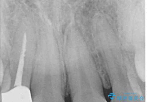
- 根管治療はやり直さずに、ファイバーポストを使用した土台を植立して、オールセラミッククラウンにて補綴することとしました。
- 費用(概算)
- 18万円(税込)費用は治療当時の料金となります
治療について
神経を取り除いた歯の変色は、クリーニングやホワイトニングでは改善できないため、オールセラミッククラウンなどによる補綴治療が必要となります。
セラミック治療の注意事項(リスク・副作用など)
- 天然歯を削ります
- 硬い素材は天然歯を傷つけてしまう場合があります
- かみ合わせや歯ぎしりが強すぎる方はセラミックが割れてしまう可能性があります
- 自費診療(保険適用外治療)となります
当サイトの内容、テキスト、画像等の無断転載、複製、複写、盗用を固く禁じます。










