症例詳細
Case detail
前歯の変色 セラミッククラウンによる審美性の回復
治療症例の内容
- 診療科目
- 治療カテゴリ
- 担当医
- 大元洋佑(ドクタープロフィール)
- 患者様
- 20代女性
- 治療期間
- 1ヶ月
- 治療回数
- 2-5回
- 治療計画
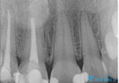
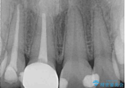
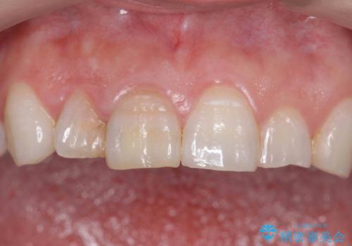
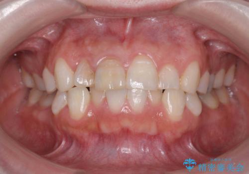
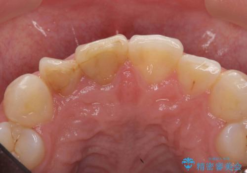
- 前歯が徐々に神経の治療を行ってから変色し、審美性の回復を求めて来院されました。
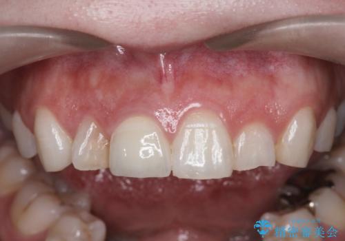
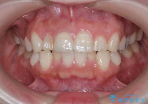
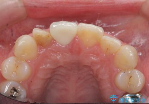
根尖に病変は見られず、根管治療は行わずに仮歯・ジルコニアクラウンを作製、装着することで審美性を回復しました。
- 費用(概算)
- 12.1万円 (仮歯・ジルコニアクラウン)費用は治療当時の料金となります
治療について
神経の治療を行った歯は、徐々に変色し審美障害をきたすことはから当院ではセラミッククラウンの装着をお勧めしております。
セラミック治療の注意事項(リスク・副作用など)
- 天然歯を削ります
- 硬い素材は天然歯を傷つけてしまう場合があります
- かみ合わせや歯ぎしりが強すぎる方はセラミックが割れてしまう可能性があります
- 自費診療(保険適用外治療)となります
当サイトの内容、テキスト、画像等の無断転載、複製、複写、盗用を固く禁じます。











