症例詳細
Case detail
上顎のみの抜歯矯正 前歯のデコボコを改善する
治療症例の内容
- 担当医
- 藤巻太一朗(ドクタープロフィール)
- 患者様
- 20代女性
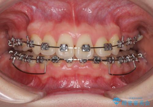
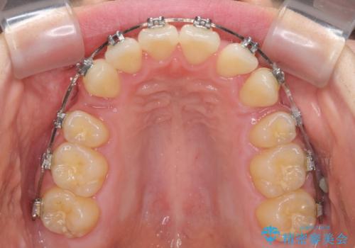
- 矯正装置
- メタルブラケット
- 治療期間
- 2年5ヶ月
- 治療回数
- 10-30回
- 治療計画
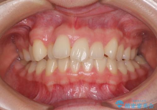
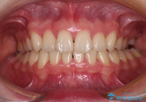
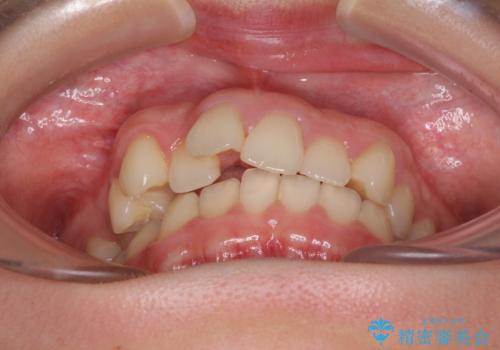
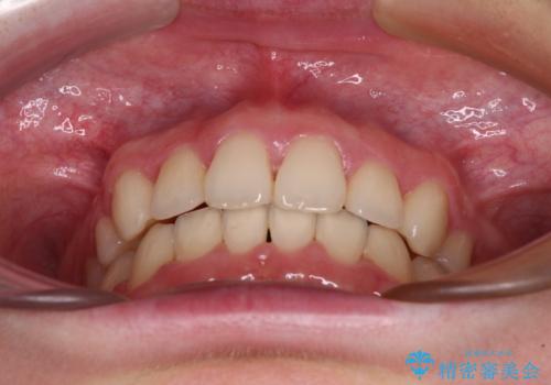
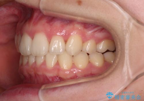
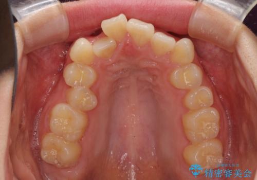
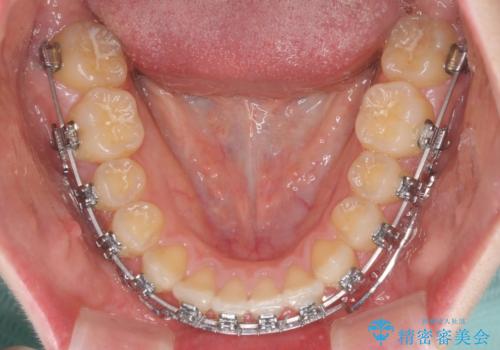
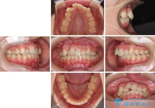
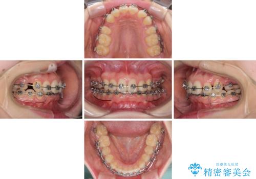
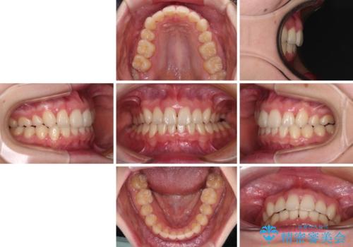
- 上顎前歯のデコボコを気にして来院された患者様です。
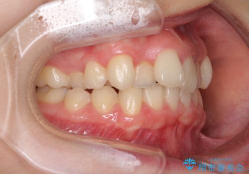
口元の突出感はなく、上顎のみに顕著な叢生が認められました。
上顎の左右第一小臼歯2本を抜歯し、ワイヤー装置にて歯列を整えることとしました。
- 費用(概算)
- 治療費の目安: 90万円(税込)費用は治療当時の料金となります
治療について
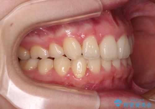
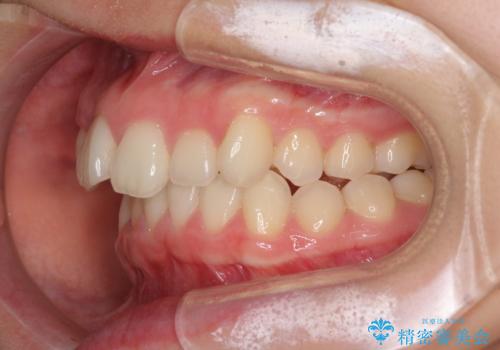
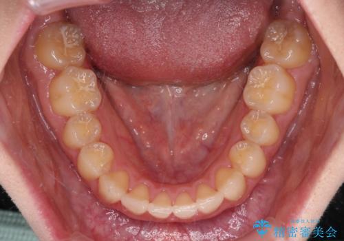
奥歯の咬み合わせがなかなか定まらず、スペースが閉じるまでに時間がかかりましたが、最終的には正中を合わせることもできました。
ワイヤー矯正の注意事項(リスク・副作用など)
- 治療中は違和感や痛みが起こることがあります
- 症状により、抜歯が必要な場合があります
- 治療中は歯磨きがしにくくなるため、虫歯や歯周病になりやすくなります
- 矯正治療後の保定が不十分だと後戻り(元の位置に戻ろうとする動き)をします
- 自費診療(保険適用外)となります
当サイトの内容、テキスト、画像等の無断転載、複製、複写、盗用を固く禁じます。


























