症例詳細
Case detail
インビザラインが続けられない ワイヤー矯正での抜歯矯正 その2
治療症例の内容
- 担当医
- 藤巻太一朗(ドクタープロフィール)
- 患者様
- 20代女性
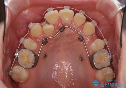
- 矯正装置
- インビザライン・審美装置
- 治療期間
- 5年1ヶ月
- 治療回数
- 30回以上
- 治療計画
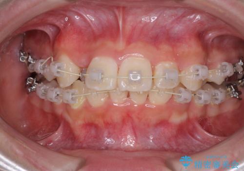
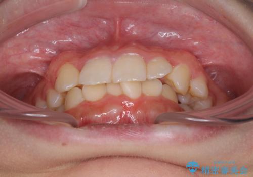
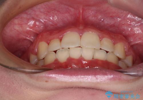
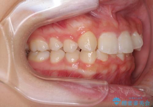
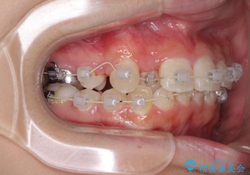
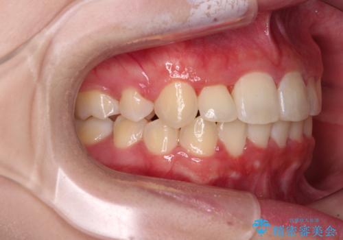
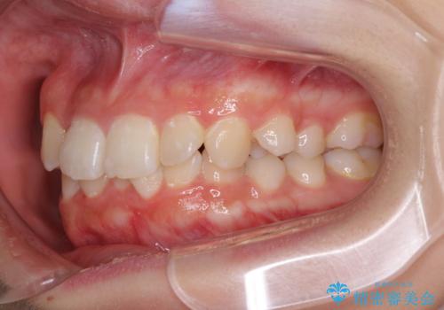
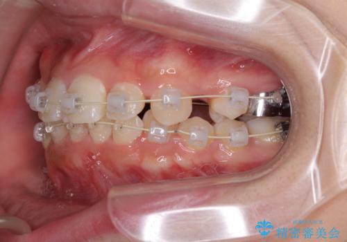
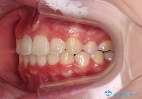
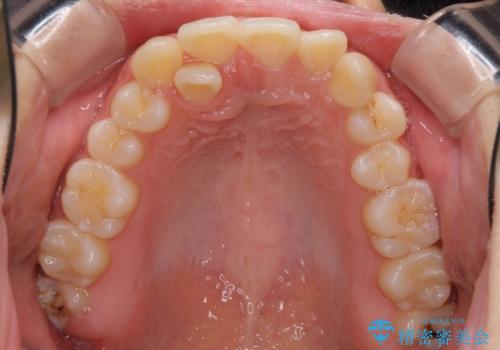
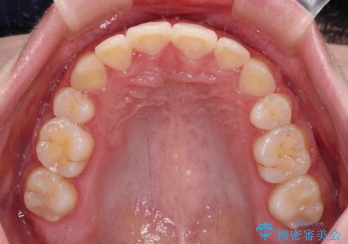
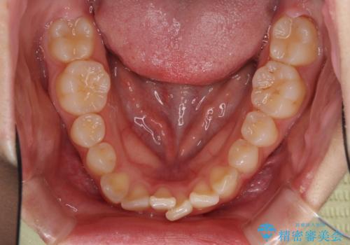
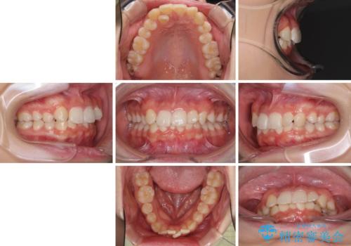
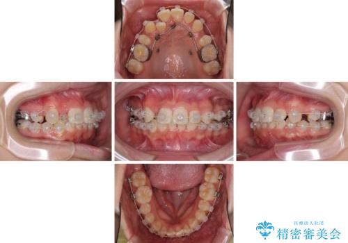
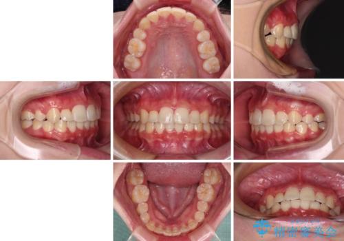
- 八重歯やデコボコをインビザラインで治療したいとのことで来院された患者様です。
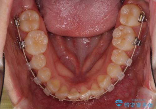
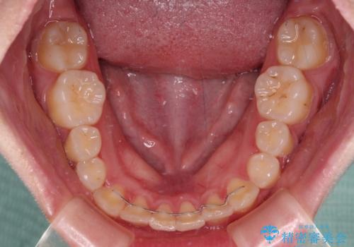
インビザライン単体で治療を行うには叢生が強いと判断されたため、事前にワイヤー装置で抜歯矯正を行い、ある程度改善してからインビザラインにて仕上げていくこととしました。
- 費用(概算)
- 治療費の目安: 145万円(税込)費用は治療当時の料金となります
治療について
インビザライン矯正は、患者様の協力が治療結果に最も影響する治療です。
1日22時間、毎日欠かさずにしっかりと装着することが必要条件であるため、自己管理に自信のない方にはお勧めできません。
再度ワイヤー矯正に治療を行うこととなりますと、期間が長くなることはもちろん、治療費用も当初の2倍近くになるため、事前によく検討することが大切です。
ワイヤー矯正の注意事項(リスク・副作用など)
- 治療中は違和感や痛みが起こることがあります
- 症状により、抜歯が必要な場合があります
- 治療中は歯磨きがしにくくなるため、虫歯や歯周病になりやすくなります
- 矯正治療後の保定が不十分だと後戻り(元の位置に戻ろうとする動き)をします
- 自費診療(保険適用外)となります
マウスピース矯正の注意事項(リスク・副作用など)
- 口腔内・歯並びの状態によっては対応できない場合があります
- マウスピース型矯正装置の長時間装着(1日20時間以上)が必須です
- 治療計画通りに進めるためには、患者様の意志が重要になります
- 矯正治療後の保定が不十分だと後戻り(元の位置に戻ろうとする動き)をします
- 薬機法対象外の矯正歯科装置のため医薬品副作用被害救済制度の対象外となる場合があります
- 自費診療(保険適用外)となります
当サイトの内容、テキスト、画像等の無断転載、複製、複写、盗用を固く禁じます。


























