症例詳細
Case detail
結婚式までに前歯をきれいに オールセラミッククラウンの審美歯科治療
治療症例の内容
- 診療科目
- 治療カテゴリ
- 担当医
- 藤巻太一朗(ドクタープロフィール)
- 患者様
- 20代女性
- 治療期間
- 1ヶ月
- 治療回数
- 2-5回
- 治療計画
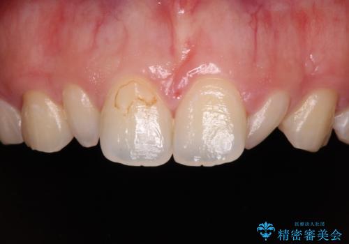
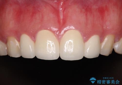
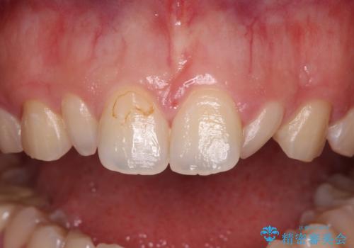
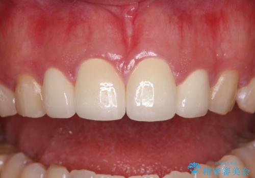
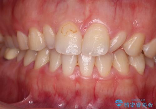
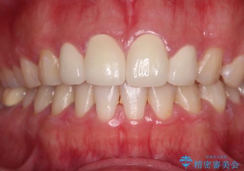
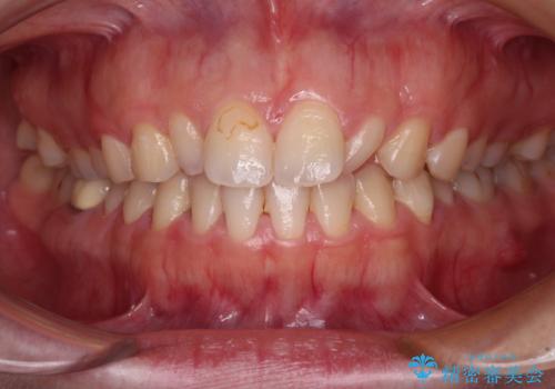
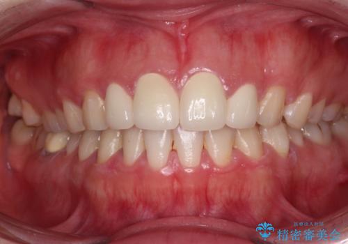
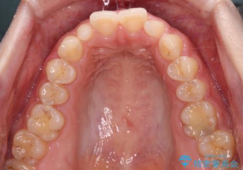
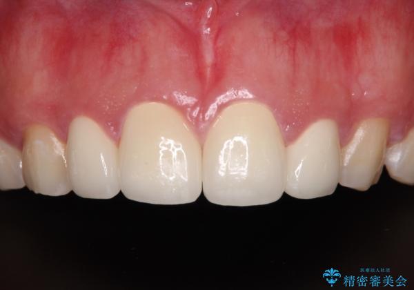
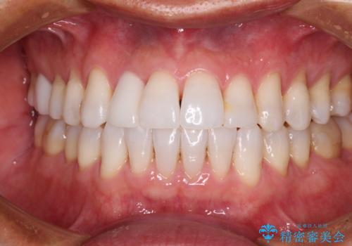
- 前歯の矮小歯と捻れや変色を気にして来院された患者様です。
結婚式が近いということもあり、前歯4本をオールセラミッククラウンにて補綴治療することとしました。
- 費用(概算)
- 治療費の目安: 50万円(税込)費用は治療当時の料金となります
治療について
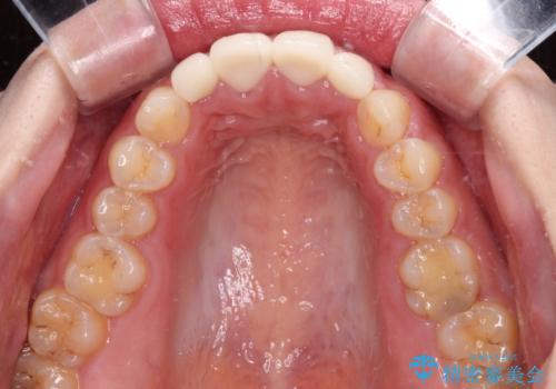
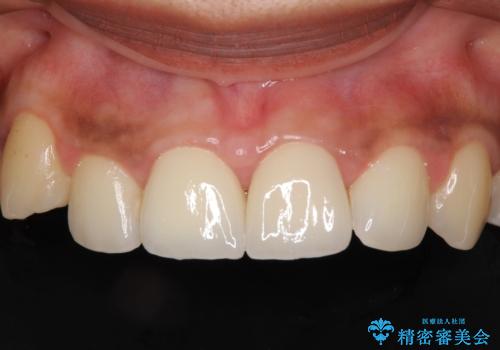
前歯の捻れは、オールセラミッククラウンよりも矯正治療による改善の方が、歯を削らなくて済むためお勧めとなります。
しかし、矮小歯の改善はオールセラミッククラウンでの補綴治療が必要であり、幅径のバランスを取る必要があるため、4前歯の補綴治療を選択しました。
セラミック治療の注意事項(リスク・副作用など)
- 天然歯を削ります
- 硬い素材は天然歯を傷つけてしまう場合があります
- かみ合わせや歯ぎしりが強すぎる方はセラミックが割れてしまう可能性があります
- 自費診療(保険適用外治療)となります
当サイトの内容、テキスト、画像等の無断転載、複製、複写、盗用を固く禁じます。












