症例詳細
Case detail
【モニター】ワイヤー矯正で手っ取り早く治療
治療症例の内容
- 診療科目
- 治療カテゴリ
- 担当医
- 藤巻太一朗(ドクタープロフィール)
- 患者様
- 20代女性
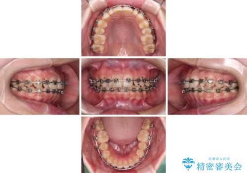
- 矯正装置
- メタルブラケット
- 治療期間
- 1年1ヶ月
- 治療回数
- 10-30回
- 治療計画
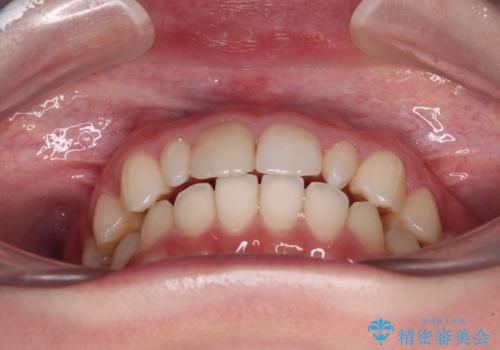
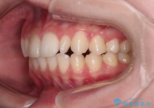
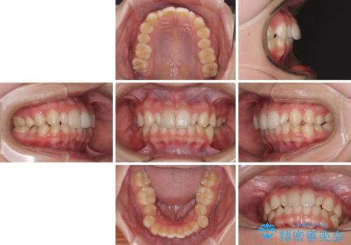
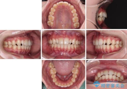
- 歯列のデコボコを気にして来院された患者様です。
安価に速やかに治療をしたいとのことで、メタルワイヤーにより矯正治療を行うこととしました。
- 費用(概算)
- 治療費の目安: 66万円(税込)費用は治療当時の料金となります
※顔写真掲載にあたり、患者様の了解を得ております
治療について
上顎左右側切歯は矮小歯であり、矯正治療開始前にオールセラミッククラウンによる形態修正を兼ねた補綴治療を提案しましたが、特に気にならないとのことで、歯冠形態はそのままとしました。
ワイヤー矯正の注意事項(リスク・副作用など)
- 治療中は違和感や痛みが起こることがあります
- 症状により、抜歯が必要な場合があります
- 治療中は歯磨きがしにくくなるため、虫歯や歯周病になりやすくなります
- 矯正治療後の保定が不十分だと後戻り(元の位置に戻ろうとする動き)をします
- 自費診療(保険適用外)となります
当サイトの内容、テキスト、画像等の無断転載、複製、複写、盗用を固く禁じます。


























