症例詳細
Case detail
【モニター】前歯のデコボコを目立たないワイヤー装置で短期間矯正治療
治療症例の内容
- 診療科目
- 治療カテゴリ
- 担当医
- 藤巻太一朗(ドクタープロフィール)
- 患者様
- 20代女性
- 矯正装置
- 審美装置
- 治療期間
- 10ヶ月
- 治療回数
- 10-30回
- 治療計画
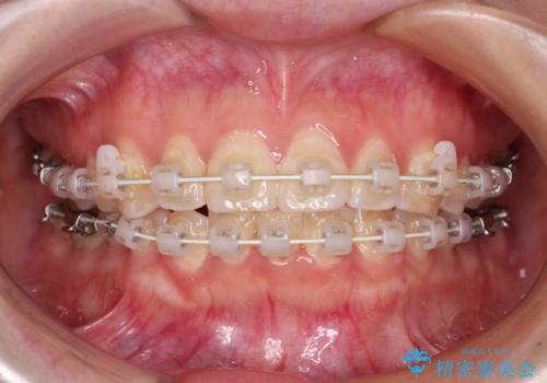
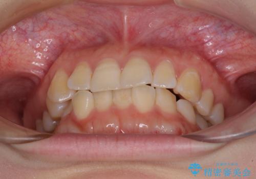
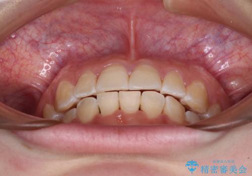
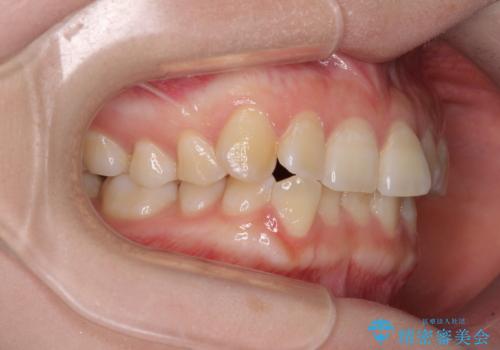
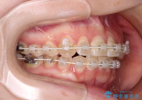
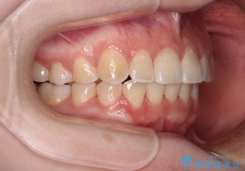
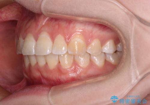
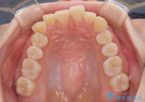
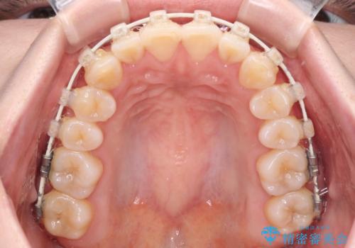
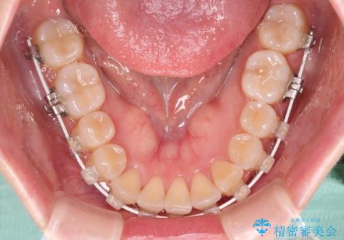
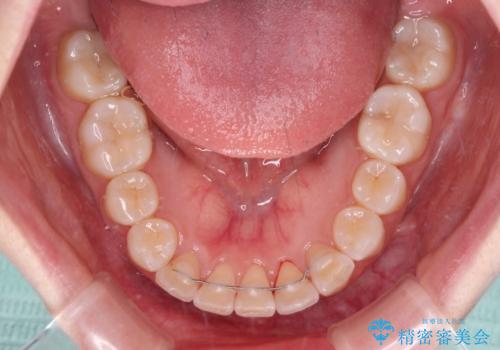
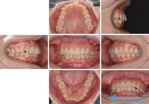
- 上下前歯のデコボコを気にして来院された患者様です。
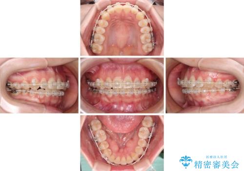
ワイヤー矯正でもインビザライン矯正でも対応可能でしたが、インビザラインでの自己管理の煩わしさを避けるため、ワイヤー装置にて矯正治療を行うこととしました。
- 費用(概算)
- 治療費の目安: 85万円(税込)費用は治療当時の料金となります
※顔写真掲載にあたり、患者様の了解を得ております
治療について
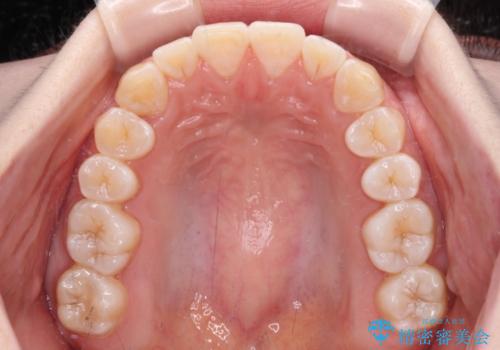
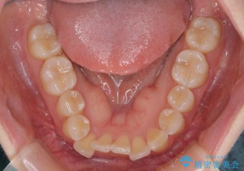
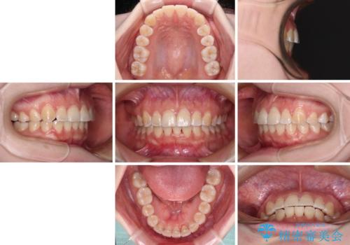
患者様も驚く、僅か10か月での治療終了となりました。
下顎前歯が1歯欠損しているため、上下正中は合わず、左右奥歯の咬み合わせは理想的とはならない仕上がりとなります。
ワイヤー矯正の注意事項(リスク・副作用など)
- 治療中は違和感や痛みが起こることがあります
- 症状により、抜歯が必要な場合があります
- 治療中は歯磨きがしにくくなるため、虫歯や歯周病になりやすくなります
- 矯正治療後の保定が不十分だと後戻り(元の位置に戻ろうとする動き)をします
- 自費診療(保険適用外)となります
当サイトの内容、テキスト、画像等の無断転載、複製、複写、盗用を固く禁じます。


























